Przeszczep dziąsła to skuteczna i trwała metoda leczenia recesji, która poprawia estetykę i zdrowie
- Recesja dziąseł, czyli cofanie się linii dziąseł, prowadzi do nadwrażliwości zębów, problemów estetycznych i ryzyka utraty zębów.
- Przeszczep dziąsła jest podstawową metodą chirurgicznego leczenia zaawansowanych recesji, zalecaną przy postępującym problemie lub znacznym dyskomforcie.
- Zabieg jest wysoce skuteczny (ponad 90% pokrycia recesji) i zapewnia trwałe efekty, pod warunkiem wyeliminowania przyczyn i dbałości o higienę.
- Koszty przeszczepu dziąsła w Polsce wahają się od 1500 zł do 3500 zł za ząb i nie są refundowane przez NFZ.
- Rekonwalescencja po zabiegu trwa kilka tygodni i wymaga przestrzegania zaleceń dotyczących diety i higieny.
- Istnieją alternatywne metody leczenia, szczególnie dla niewielkich recesji, takie jak leczenie zachowawcze czy regeneracja z fibryny bogatopłytkowej.
Co to jest recesja dziąseł i dlaczego nie wolno jej ignorować?
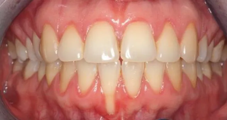
Recesja dziąseł to stan, w którym brzeg dziąsła cofa się, odsłaniając powierzchnię korzenia zęba. To nie tylko kwestia estetyki, choć dla wielu pacjentów jest to główny powód do niepokoju. Odsłonięte szyjki zębowe stają się bardziej podatne na szereg problemów zdrowotnych, które mogą mieć poważne konsekwencje dla całej jamy ustnej. Ignorowanie tego problemu to prosta droga do pogłębiania się dolegliwości i coraz trudniejszego leczenia w przyszłości.
Odsłonięte szyjki zębowe: od nadwrażliwości po ryzyko utraty zębów
Kiedy dziąsło się cofa, odsłania się cement korzeniowy, który jest znacznie bardziej porowaty niż szkliwo i zawiera kanaliki zębinowe prowadzące bezpośrednio do miazgi zęba. To właśnie dlatego tak często pojawia się nadwrażliwość na zimno, ciepło, słodkie pokarmy czy nawet dotyk. Poza dyskomfortem, odsłonięte korzenie są bardziej narażone na próchnicę korzenia, która postępuje znacznie szybciej niż próchnica szkliwa. Ponadto, brak ochrony dziąsłowej sprawia, że korzenie są podatne na abrazję (ścieranie mechaniczne), a w skrajnych przypadkach, gdy recesja jest bardzo zaawansowana i obejmuje dużą część korzenia, może dojść do rozchwiania zęba, a nawet jego utraty. Właśnie dlatego tak ważne jest, aby nie bagatelizować tego problemu.
Skąd bierze się ten problem? Najczęstsze przyczyny cofania się dziąseł w Polsce
- Niewłaściwa technika szczotkowania: Zbyt mocne szorowanie zębów, używanie twardej szczoteczki lub nieprawidłowe ruchy to jedna z najczęstszych przyczyn mechanicznych recesji.
- Choroby przyzębia (paradontoza): Stany zapalne dziąseł, wywołane przez bakterie płytki nazębnej, prowadzą do niszczenia tkanek podporowych zęba, w tym kości i dziąseł.
- Wady zgryzu: Nieprawidłowe ustawienie zębów może prowadzić do nadmiernego obciążenia niektórych z nich, co sprzyja cofaniu się dziąseł w tych miejscach.
- Bruksizm (zgrzytanie zębami): Chroniczne zgrzytanie lub zaciskanie zębów wywiera ogromne siły na zęby i przyzębie, co może skutkować recesjami.
- Uwarunkowania genetyczne: Niektórzy ludzie mają naturalnie cieńszy biotyp dziąsła, co czyni ich bardziej podatnymi na recesje, nawet przy prawidłowej higienie.

Przeszczep dziąsła: kiedy jest ostatecznością, a kiedy najlepszym rozwiązaniem?
Kwalifikacja do zabiegu: Jakie objawy powinny skłonić Cię do wizyty u periodontologa?
Zastanawiasz się, czy przeszczep dziąsła jest dla Ciebie? Oto objawy, które powinny zapalić czerwoną lampkę i skłonić do konsultacji ze specjalistą periodontologiem:
- Nadwrażliwość zębów: Uporczywa reakcja na zimno, ciepło, słodycze, która utrudnia codzienne funkcjonowanie.
- Pogorszenie estetyki uśmiechu: Zęby wydają się dłuższe, a ich korzenie są widoczne, co wpływa na Twoje samopoczucie i pewność siebie.
- Utrudniona higiena: Odsłonięte korzenie mają nieregularną powierzchnię, co sprzyja gromadzeniu się płytki nazębnej i utrudnia skuteczne czyszczenie.
- Postępująca recesja: Jeśli zauważasz, że linia dziąseł stale się cofa, a problem się pogłębia, istnieje ryzyko utraty zębów.
- Ryzyko utraty zębów: W zaawansowanych stadiach recesji, gdy odsłonięcie korzenia jest znaczne, ząb może stać się niestabilny.
W mojej praktyce widzę, że przeszczep dziąsła jest często najlepszym rozwiązaniem, gdy recesja jest już zaawansowana i metody zachowawcze nie przynoszą oczekiwanych rezultatów. To inwestycja w długoterminowe zdrowie i komfort.
Analiza korzyści: Co realnie zyskujesz dzięki rekonstrukcji dziąseł?
Decyzja o przeszczepie dziąsła to krok w stronę znaczącej poprawy jakości życia i zdrowia jamy ustnej. Przede wszystkim, pacjenci doświadczają znaczącego zmniejszenia, a często całkowitej eliminacji nadwrażliwości zębów, co pozwala cieszyć się jedzeniem i piciem bez bólu. Po drugie, przeszczep dziąsła to poprawa estetyki uśmiechu zęby odzyskują swoją naturalną proporcję, a uśmiech staje się pełniejszy i bardziej harmonijny. Co więcej, nowa tkanka dziąsłowa chroni odsłonięte korzenie przed próchnicą i abrazją, co jest kluczowe dla długowieczności zębów. Wreszcie, zabieg ten przyczynia się do długoterminowej stabilizacji zdrowia przyzębia, zapobiegając dalszemu cofaniu się dziąseł i minimalizując ryzyko poważniejszych problemów w przyszłości.
Jak w praktyce wygląda przeszczep dziąsła? Przewodnik krok po kroku
Od konsultacji do zabiegu: przygotowanie, którego nie możesz pominąć
Proces przygotowania do przeszczepu dziąsła rozpoczyna się od szczegółowej konsultacji z periodontologiem. To kluczowy etap, podczas którego lekarz ocenia stan Twoich dziąseł, identyfikuje przyczynę recesji i omawia z Tobą możliwe opcje leczenia. Niezbędna jest diagnostyka, często obejmująca zdjęcia rentgenowskie, a czasem nawet tomografię komputerową, aby dokładnie zaplanować zabieg. Przed przystąpieniem do przeszczepu, upewniamy się, że wszelkie stany zapalne w jamie ustnej są wyleczone, a higiena jest na najwyższym poziomie. To gwarantuje najlepsze warunki do przyjęcia przeszczepu i prawidłowego gojenia.
Skąd pobierany jest przeszczep? Porównanie kluczowych metod (przeszczep z podniebienia vs. biomateriały)
W Polsce najczęściej stosujemy dwie główne metody przeszczepu dziąsła. Pierwsza to przeszczep tkanki łącznej z podniebienia, gdzie niewielki fragment tkanki jest pobierany z podniebienia pacjenta i przeszczepiany w miejsce recesji. Może to być wykonane metodą tunelową (minimalnie inwazyjną) lub z płatem przesuniętym dokoronowo. Drugą opcją jest przeszczep dziąsła wolnego, również z podniebienia, ale obejmujący całą grubość tkanki. Coraz większą popularność zdobywają jednak biomateriały, takie jak Geistlich Mucograft. Ich główną zaletą jest to, że eliminują konieczność pobierania tkanki z podniebienia, co skraca czas zabiegu i zmniejsza dyskomfort pacjenta w okresie pooperacyjnym. Wybór metody zawsze zależy od indywidualnej sytuacji klinicznej i preferencji pacjenta, a ja zawsze staram się przedstawić wszystkie dostępne opcje.
| Metoda | Charakterystyka i zalety |
|---|---|
| Przeszczep tkanki łącznej z podniebienia | Pobranie cienkiego fragmentu tkanki spod powierzchni podniebienia. Zaletą jest wykorzystanie własnych tkanek pacjenta, co zapewnia wysoką biokompatybilność i naturalny wygląd. Może być stosowany metodą tunelową (mniej inwazyjną). |
| Przeszczep dziąsła wolnego z podniebienia | Pobranie pełnej grubości tkanki dziąsłowej z podniebienia. Skuteczny w przypadkach, gdy potrzebna jest większa objętość tkanki i zwiększenie grubości dziąsła. |
| Biomateriały (np. Geistlich Mucograft) | Wykorzystanie syntetycznych lub naturalnych, ale nie pochodzących od pacjenta, materiałów. Główną zaletą jest brak konieczności pobierania tkanki z podniebienia, co eliminuje drugą ranę i związany z nią dyskomfort. |
Czy przeszczep dziąsła boli? Wszystko o znieczuleniu i komforcie podczas zabiegu
Jedno z najczęstszych pytań, jakie słyszę od pacjentów, brzmi: "Czy to boli?". Odpowiadam z pełnym przekonaniem: sam zabieg przeszczepu dziąsła jest całkowicie bezbolesny. Przeprowadzamy go w znieczuleniu miejscowym, które skutecznie blokuje wszelkie odczucia bólowe. Pacjent może odczuwać jedynie lekki ucisk lub wibracje, ale nie ból. Typowy czas trwania zabiegu to zazwyczaj od 1 do 2 godzin, w zależności od liczby zębów objętych recesją i wybranej metody. Po zabiegu, gdy znieczulenie przestanie działać, może pojawić się dyskomfort, szczególnie w miejscu pobrania przeszczepu (czyli na podniebieniu, jeśli była to tkanka własna). Jest to jednak ból, który można skutecznie kontrolować za pomocą standardowych leków przeciwbólowych, a jego intensywność zazwyczaj maleje w ciągu kilku dni.
Koszty leczenia: ile naprawdę kosztuje przeszczep dziąsła i od czego zależy cena?
Analiza cenników w polskich miastach: widełki cenowe za jeden i więcej zębów
Koszty przeszczepu dziąsła w Polsce mogą być zróżnicowane i zależą od wielu czynników. Z moich obserwacji wynika, że za pokrycie recesji jednego zęba ceny wahają się zazwyczaj od 1500 zł do 3500 zł. Warto pamiętać, że są to widełki orientacyjne. Ceny mogą być nieco wyższe w dużych miastach, takich jak Warszawa, Kraków czy Wrocław, a niższe w mniejszych miejscowościach. Jeśli zabieg obejmuje więcej niż jeden ząb, niektóre kliniki oferują pakietowe ceny, które mogą być korzystniejsze niż sumowanie kosztów pojedynczych recesji.
Co wpływa na ostateczny koszt? Metoda, materiały i renoma kliniki
Na ostateczny koszt zabiegu przeszczepu dziąsła wpływa kilka kluczowych czynników:
- Miasto i lokalizacja kliniki: Ceny są często wyższe w dużych aglomeracjach.
- Renoma i doświadczenie kliniki/specjalisty: Wysoko wykwalifikowani periodontolodzy z dużym doświadczeniem mogą mieć wyższe stawki.
- Użyta metoda: Przeszczep z podniebienia może mieć inną cenę niż przeszczep z wykorzystaniem biomateriałów (np. Geistlich Mucograft), które często są droższe ze względu na koszt samego materiału.
- Liczba zębów objętych zabiegiem: Im więcej recesji do pokrycia, tym wyższy będzie całkowity koszt.
- Dodatkowe procedury: Czasem przed przeszczepem konieczne są inne zabiegi, np. leczenie chorób przyzębia, co również wpływa na ostateczny rachunek.
Czy można liczyć na refundację z NFZ? Realia leczenia periodontologicznego w Polsce
Niestety, muszę jasno zaznaczyć, że zabieg przeszczepu dziąsła nie jest refundowany przez Narodowy Fundusz Zdrowia. Jest to procedura kwalifikowana jako zabieg z zakresu chirurgii plastycznej dziąseł, a tego typu świadczenia nie znajdują się w koszyku gwarantowanych usług medycznych. Oznacza to, że pacjent musi pokryć pełny koszt zabiegu z własnej kieszeni. Warto jednak pamiętać, że jest to inwestycja w zdrowie i estetykę, która przynosi długoterminowe korzyści.

Życie po zabiegu: kluczowe etapy rekonwalescencji i gojenia
Pierwsze 48 godzin: jak radzić sobie z bólem i opuchlizną?
Pierwsze 48 godzin po przeszczepie dziąsła to kluczowy czas dla prawidłowego gojenia. Oto, co możesz zrobić, aby zminimalizować dyskomfort:
- Leki przeciwbólowe: Stosuj zalecone przez lekarza leki przeciwbólowe zgodnie z instrukcją. Zazwyczaj są to środki dostępne bez recepty, ale w razie potrzeby lekarz może przepisać silniejsze.
- Zimne okłady: Przykładaj zimne okłady (np. lód zawinięty w ściereczkę) na zewnątrz policzka w okolicy operowanej. Robienie tego przez 15-20 minut co godzinę przez pierwsze 24 godziny pomoże zmniejszyć opuchliznę.
- Unikanie wysiłku fizycznego: Wstrzymaj się od intensywnych ćwiczeń i ciężkiej pracy. Zwiększony przepływ krwi może nasilić krwawienie i opuchliznę.
- Utrzymywanie głowy wyżej: Podczas snu postaraj się spać z głową lekko uniesioną, co również może pomóc w redukcji obrzęku.
Dieta, higiena, zalecenia: co musisz wiedzieć, by zapewnić prawidłowe gojenie?
Prawidłowa rekonwalescencja to podstawa sukcesu przeszczepu. Oto szczegółowe zalecenia:
- Dieta: Przez pierwsze dni po zabiegu konieczna jest dieta płynna lub papkowata. Unikaj gorących, twardych, ostrych i kwaśnych potraw, które mogłyby podrażnić ranę. Stopniowo możesz wprowadzać miękkie pokarmy, ale przez kilka tygodni unikaj gryzienia w miejscu przeszczepu.
- Higiena jamy ustnej: W miejscu przeszczepu nie wolno szczotkować zębów przez około 2 tygodnie. Zamiast tego, stosuj specjalne płukanki antyseptyczne (np. z chlorheksydyną) zalecone przez lekarza. Pozostałe zęby szczotkuj bardzo delikatnie, unikając okolicy operowanej.
- Unikanie dotykania: Nie dotykaj rany językiem ani palcami. To może naruszyć przeszczep i utrudnić gojenie.
- Zakaz palenia i alkoholu: Palenie tytoniu i spożywanie alkoholu znacząco opóźnia proces gojenia i zwiększa ryzyko powikłań. Należy ich bezwzględnie unikać przez cały okres rekonwalescencji.
- Wizyty kontrolne: Regularne wizyty kontrolne u periodontologa są niezbędne, aby monitorować proces gojenia i usunąć szwy w odpowiednim czasie.
Jak długo trzeba czekać na ostateczny efekt i kiedy wrócisz do pełnej sprawności?
Okres gojenia po przeszczepie dziąsła trwa zazwyczaj kilka tygodni. Szwy są usuwane po 1-2 tygodniach. W tym czasie powinieneś unikać obciążania miejsca operowanego. Pełne wygojenie tkanki i stabilizacja przeszczepu zajmuje nieco więcej czasu zazwyczaj od 4 do 6 tygodni. Natomiast na ostateczny efekt estetyczny, czyli pełne zintegrowanie się przeszczepu z otaczającymi tkankami i uzyskanie naturalnego koloru oraz kształtu dziąsła, trzeba poczekać kilka miesięcy, często od 3 do 6. Po tym czasie możesz wrócić do pełnej sprawności i normalnych nawyków higienicznych, oczywiście z zachowaniem odpowiedniej, delikatnej techniki szczotkowania.
Efekty przeszczepu dziąseł: czy warto było? Długoterminowe rezultaty i opinie pacjentów
Estetyka i zdrowie: jak zmienia się uśmiech i komfort życia po zabiegu?
Z mojego doświadczenia wynika, że efekty przeszczepu dziąseł są niezwykle satysfakcjonujące dla pacjentów. Skuteczność zabiegu w kontekście pokrycia recesji często przekracza 90%, co oznacza, że większość odsłoniętych korzeni zostaje skutecznie pokryta nową tkanką dziąsłową. To przekłada się na znaczną poprawę estetyki uśmiechu zęby wyglądają krócej, bardziej proporcjonalnie, a linia dziąseł staje się równa i harmonijna. Co najważniejsze, pacjenci odczuwają eliminację nadwrażliwości, co znacząco zwiększa komfort życia. Mogą swobodnie jeść, pić i uśmiechać się bez obaw o ból czy nieestetyczny wygląd. To naprawdę zmienia jakość życia na lepsze.
Jak trwałe są efekty? Kluczowe zasady, by cieszyć się zdrowymi dziąsłami przez lata
Efekty przeszczepu dziąsła są trwałe, ale pod jednym kluczowym warunkiem: musimy wyeliminować pierwotne przyczyny recesji. Jeśli problemem było zbyt agresywne szczotkowanie, konieczna jest zmiana techniki na delikatniejszą. Jeśli przyczyną była paradontoza, należy ją wyleczyć i regularnie kontrolować. Bez tego, nawet najlepiej wykonany przeszczep może z czasem ulec ponownej recesji. Aby cieszyć się zdrowymi dziąsłami przez lata, pamiętaj o tych zasadach:
- Prawidłowa higiena jamy ustnej: Regularne i delikatne szczotkowanie zębów miękką szczoteczką, używanie nici dentystycznej lub irygatora.
- Regularne wizyty u stomatologa i higienistki: Profesjonalne czyszczenie zębów i kontrola stanu dziąseł co najmniej raz na 6 miesięcy.
- Eliminacja złych nawyków: Unikanie zbyt mocnego szczotkowania, zgrzytania zębami (bruksizmu w razie potrzeby stosowanie szyny relaksacyjnej).
- Zdrowa dieta: Ograniczenie cukrów i kwasów, które sprzyjają próchnicy i erozji szkliwa.
Czy istnieją alternatywy? Krótkie spojrzenie na inne metody leczenia recesji
Choć przeszczep dziąsła jest złotym standardem w leczeniu zaawansowanych recesji, istnieją sytuacje, w których można rozważyć inne metody:
- Leczenie zachowawcze: W przypadku niewielkich recesji, które nie powodują dużego dyskomfortu ani problemów estetycznych, można zastosować lakierowanie zębów specjalnymi preparatami fluorowymi w celu zmniejszenia nadwrażliwości. Pomocne są również specjalistyczne pasty do zębów na nadwrażliwość.
- Regeneracja dziąseł przy użyciu fibryny bogatopłytkowej (PRF): To nowsza metoda, która wykorzystuje koncentrat fibryny bogatopłytkowej pozyskiwany z krwi pacjenta. PRF zawiera czynniki wzrostu, które stymulują regenerację tkanek. Może być stosowana samodzielnie w niewielkich recesjach lub jako uzupełnienie przeszczepu, aby poprawić gojenie i zwiększyć szanse na sukces.
- Leczenie ortodontyczne: W niektórych przypadkach, gdy recesja jest spowodowana wadami zgryzu lub nieprawidłowym ustawieniem zębów, leczenie ortodontyczne może pomóc w korekcie problemu i zmniejszeniu ryzyka dalszego cofania się dziąseł.
Podsumowanie: świadoma decyzja to klucz do sukcesu
Bilans "za i przeciw": kiedy inwestycja w przeszczep dziąsła jest najbardziej opłacalna?
Przeszczep dziąsła to poważna decyzja, ale z mojego punktu widzenia, jako periodontologa, jest to często najbardziej skuteczna i trwała inwestycja w zdrowie i estetykę Twojego uśmiechu. Argumenty "za" są mocne: eliminacja nadwrażliwości, ochrona korzeni przed próchnicą i abrazją, znacząca poprawa estetyki oraz długoterminowa stabilizacja zdrowia dziąseł. Argumenty "przeciw" to głównie koszt i konieczność rekonwalescencji. Jednak bilans korzyści jest zdecydowanie na plus, zwłaszcza w przypadku zaawansowanych recesji, silnej nadwrażliwości, wyraźnych problemów estetycznych oraz realnego ryzyka utraty zębów. W takich sytuacjach przeszczep dziąsła nie jest jedynie zabiegiem kosmetycznym, ale kluczową procedurą chroniącą Twoje zęby i poprawiającą jakość życia.
Przeczytaj również: Ból po wyrwaniu zęba: Kiedy mija i co powinno niepokoić?
Jak wybrać dobrego specjalistę i klinikę do przeprowadzenia zabiegu?
Wybór odpowiedniego periodontologa i kliniki to jeden z najważniejszych kroków do sukcesu. Oto, na co warto zwrócić uwagę:
- Doświadczenie specjalisty: Szukaj periodontologa z udokumentowanym doświadczeniem w wykonywaniu przeszczepów dziąseł. Nie bój się pytać o liczbę przeprowadzonych zabiegów i ich wyniki.
- Renoma kliniki: Sprawdź opinie o klinice w internecie oraz wśród znajomych. Dobre kliniki często inwestują w nowoczesny sprzęt i szkolenia personelu.
- Opinie innych pacjentów: Poszukaj recenzji i świadectw pacjentów, którzy przeszli podobne zabiegi. Mogą one dostarczyć cennych informacji.
- Szczegółowa konsultacja: Dobry specjalista poświęci czas na dokładną diagnostykę, wyjaśni wszystkie aspekty zabiegu, omówi ryzyko i możliwe powikłania oraz odpowie na wszystkie Twoje pytania. Powinien przedstawić Ci plan leczenia i kosztorys.
- Przejrzystość cen: Upewnij się, że otrzymujesz jasny i szczegółowy kosztorys, który obejmuje wszystkie etapy leczenia.
