Ukruszona lub uszkodzona jedynka to nie tylko problem estetyczny, ale często także funkcjonalny, który może wpływać na komfort życia. Rozumiem, że stoisz przed ważną decyzją, a jej kluczowym elementem jest zrozumienie dostępnych opcji leczenia i związanych z nimi kosztów. Ten artykuł ma na celu przeprowadzić Cię przez różnorodne metody odbudowy zęba jedynki, przedstawić ich orientacyjne ceny oraz wyjaśnić, co dokładnie wpływa na ostateczny rachunek, abyś mógł podjąć świadomą i najlepszą dla siebie decyzję finansową.
Odbudowa jedynki: Koszty zależą od metody, materiałów i stanu zęba
- Koszt odbudowy jedynki jest silnie uzależniony od wybranej metody leczenia od ekonomicznego bondingu po zaawansowany implant.
- Orientacyjne ceny zaczynają się od około 400 zł za odbudowę kompozytową, przez 800-3000 zł za licówki i 1500-3500 zł za korony, aż po ponad 7000 zł za implant.
- Dodatkowe zabiegi, takie jak leczenie kanałowe (900-1400 zł) czy wkład z włókna szklanego (450-900 zł), znacząco zwiększają całkowity koszt.
- Użyte materiały mają kluczowy wpływ na cenę, np. licówka kompozytowa jest tańsza niż porcelanowa, a korona pełnoceramiczna droższa od tej na podbudowie metalowej.
- Lokalizacja gabinetu stomatologicznego oraz jego renoma również wpływają na ostateczny cennik usług.

Co wpływa na koszt odbudowy jedynki? Kluczowe czynniki
Cena odbudowy zęba jedynki to złożona kwestia, która rzadko jest stała i z góry określona. Zależy od wielu zmiennych, które wspólnie kształtują ostateczny koszt leczenia. Z mojego doświadczenia wiem, że zrozumienie tych czynników jest kluczowe dla każdego pacjenta, który chce świadomie podejść do planowania budżetu na swój nowy uśmiech.
- Metoda odbudowy: Wybór technologii ma największy wpływ na cenę od prostego wypełnienia kompozytowego po zaawansowane leczenie implantologiczne.
- Użyte materiały: Koszt różni się w zależności od jakości kompozytu, rodzaju materiału na koronę (np. porcelana na metalu vs. pełnoceramiczna/cyrkonowa) czy producenta implantu.
- Konieczność dodatkowych zabiegów: Cena znacząco wzrasta, jeśli przed odbudową konieczne jest leczenie kanałowe, diagnostyka (RTG, tomografia komputerowa) czy wzmocnienie zęba wkładem koronowo-korzeniowym.
- Lokalizacja i renoma kliniki: Ceny w dużych miastach i w renomowanych klinikach są zazwyczaj wyższe.
Twoja sytuacja wyjściowa: Jak stopień uszkodzenia zęba wpływa na ostateczny rachunek?
Stopień uszkodzenia zęba jedynki jest pierwszym i jednym z najważniejszych czynników decydujących o wyborze metody leczenia, a co za tym idzie o jego koszcie. Niewielkie ukruszenie, które dotyczy tylko szkliwa, może zostać szybko i tanio naprawione kompozytem. Jeśli jednak uszkodzenie jest rozległe, obejmuje zębinę, a nawet miazgę, lub jeśli ząb jest całkowicie utracony, konieczne będą bardziej złożone i droższe procedury, takie jak korona protetyczna, a w skrajnych przypadkach nawet implant.
Leczenie kanałowe: kiedy jest konieczne i jak zmienia całkowity koszt?
Leczenie kanałowe, znane również jako endodontyczne, staje się konieczne, gdy uszkodzenie zęba jest na tyle głębokie, że doszło do zakażenia lub martwicy miazgi czyli żywej tkanki wewnątrz zęba. W przypadku jedynki, która jest zębem jednokorzeniowym, koszt takiego leczenia pod mikroskopem, zapewniającego najwyższą precyzję, to zazwyczaj od 900 do 1400 zł. Należy pamiętać, że jest to koszt dodatkowy, który trzeba doliczyć do ceny samej odbudowy korony zęba, co znacząco podnosi całkowity rachunek.
Lokalizacja ma znaczenie: Różnice w cennikach stomatologicznych w Polsce
Nie jest tajemnicą, że ceny usług stomatologicznych mogą się znacznie różnić w zależności od regionu Polski. Gabinety w dużych miastach, takich jak Warszawa, Kraków czy Wrocław, zazwyczaj mają wyższe cenniki niż te w mniejszych miejscowościach. Dodatkowo, renoma kliniki, doświadczenie stomatologa oraz wykorzystanie nowoczesnego sprzętu i technologii również wpływają na wyższe koszty. Warto mieć to na uwadze, planując leczenie i porównując oferty.

Wybór metody odbudowy jedynki: od prostych rozwiązań po implant
Gdy już wiemy, co wpływa na cenę, pora przyjrzeć się konkretnym metodom odbudowy jedynki. Każda z nich ma swoje wskazania, zalety, wady i oczywiście inny przedział cenowy. Przedstawię Ci je krok po kroku, abyś mógł lepiej zrozumieć, co oferuje współczesna stomatologia i ile to kosztuje.
Opcja 1: Odbudowa kompozytem (Bonding) szybkie i ekonomiczne rozwiązanie
Na czym polega estetyczna odbudowa kompozytowa?
Odbudowa kompozytowa, często nazywana bondingiem, to jedna z najpopularniejszych i najbardziej ekonomicznych metod naprawy zębów. Polega na bezpośrednim nakładaniu warstw światłoutwardzalnego materiału kompozytowego żywicy, która jest estetycznie dopasowywana do naturalnego koloru zęba. Stosuje się ją głównie przy niewielkich ukruszeniach, pęknięciach, do korekty kształtu zęba, zamykania niewielkich diastem (przerw między zębami) lub maskowania niewielkich przebarwień. To rozwiązanie jest szybkie i zazwyczaj wymaga tylko jednej wizyty.
Ile kosztuje bonding jedynki i dla kogo jest to najlepszy wybór?
Orientacyjne koszty odbudowy kompozytowej jedynki wahają się od około 400 zł za małe wypełnienie do 800-1500 zł za estetyczną odbudowę całej powierzchni licowej zęba. Jest to idealne rozwiązanie dla pacjentów z niewielkimi uszkodzeniami, którzy szukają szybkiego, bezbolesnego i stosunkowo ekonomicznego sposobu na poprawę wyglądu uśmiechu. Bonding pozwala na natychmiastową metamorfozę, bez konieczności szlifowania zdrowych tkanek zęba.
Trwałość i ograniczenia: co musisz wiedzieć o tej metodzie?
Trwałość odbudowy kompozytowej wynosi zazwyczaj od 5 do 10 lat, ale zależy od higieny, diety i nawyków pacjenta. Kompozyt jest mniej odporny na przebarwienia niż porcelana, dlatego wymaga regularnych polerowań i dbałości o dietę (unikanie kawy, herbaty, czerwonego wina). Jest też mniej odporny na ścieranie i większe obciążenia niż inne, trwalsze materiały protetyczne.
Opcja 2: Wzmocnienie na włóknie szklanym fundament dla osłabionego zęba
Kiedy sam kompozyt to za mało? Rola wkładu z włókna szklanego
Wkład z włókna szklanego staje się niezbędny, gdy ząb jedynka jest znacznie osłabiony, najczęściej po leczeniu kanałowym. Po usunięciu miazgi ząb traci swoje naturalne odżywienie i staje się bardziej kruchy. Wkład z włókna szklanego, cementowany w kanale korzeniowym, pełni funkcję wzmocnienia, stabilizując pozostałe tkanki zęba i stanowiąc solidny fundament pod dalszą odbudowę korony. Bez niego ryzyko złamania zęba jest znacznie większe.
Analiza kosztów: Cena wkładu a cena finalnej odbudowy korony
Koszt samego wkładu z włókna szklanego to zazwyczaj od 450 do 900 zł. Należy jednak pamiętać, że jest to tylko jeden z etapów. Do tej kwoty musisz doliczyć koszt ostatecznej odbudowy korony zęba materiałem kompozytowym, który wynosi około 450-650 zł. Łącznie, za odbudowę jedynki z wkładem z włókna szklanego i koroną kompozytową, zapłacisz orientacyjnie od 900 do 1550 zł.
Czy to rozwiązanie jest trwałe? Zalety i wady wzmacniania zęba
Rozwiązanie z wkładem z włókna szklanego jest znacznie trwalsze niż sama odbudowa kompozytowa w przypadku osłabionego zęba. Włókno szklane jest elastyczne i dobrze rozkłada siły żucia, zmniejszając ryzyko pęknięcia korzenia. Główną zaletą jest wzmocnienie struktury zęba, co przedłuża jego żywotność. Wadą jest oczywiście dodatkowy koszt i konieczność leczenia kanałowego. Mimo to, w wielu przypadkach jest to najlepszy sposób na uratowanie zęba przed ekstrakcją.
Opcja 3: Licówka Twoja nowa, idealna powierzchnia zęba
Czym różni się licówka kompozytowa od porcelanowej?
Licówki to cienkie płatki materiału, które są naklejane na przednią powierzchnię zęba, aby poprawić jego estetykę. Wyróżniamy dwa główne typy: licówki kompozytowe i porcelanowe. Licówki kompozytowe są wykonywane bezpośrednio w gabinecie stomatologicznym, warstwa po warstwie, z użyciem materiału kompozytowego. Są szybkie do wykonania i tańsze. Licówki porcelanowe (lub ceramiczne) są tworzone w laboratorium protetycznym na podstawie wycisków. Są znacznie trwalsze, bardziej odporne na przebarwienia i oferują niezrównaną estetykę, idealnie imitując naturalne szkliwo.Porównanie cenowe: Ile zapłacisz za perfekcyjny uśmiech z licówką?
Różnice w kosztach są znaczące. Za licówkę kompozytową zapłacisz orientacyjnie od 800 do 1200 zł za jeden ząb. Jest to atrakcyjna opcja dla osób z ograniczonym budżetem. Natomiast licówka porcelanowa, ze względu na precyzję wykonania, użyte materiały i pracę technika protetycznego, to koszt rzędu 2500-3000 zł za ząb. Wyższa cena przekłada się na dłuższą trwałość i wyższą estetykę.
Wskazania i przeciwwskazania: czy licówka jest dla Ciebie?
Licówki są doskonałym rozwiązaniem dla osób, które chcą skorygować przebarwienia, drobne wady kształtu, nierówności, niewielkie ukruszenia, a także zamknąć diastemy. Są idealne do uzyskania "hollywoodzkiego uśmiechu". Istnieją jednak przeciwwskazania, takie jak znaczne zniszczenie zęba, duże wypełnienia, bruksizm (zgrzytanie zębami), wady zgryzu czy niewystarczająca higiena jamy ustnej. Przed podjęciem decyzji zawsze konieczna jest konsultacja ze stomatologiem.Opcja 4: Korona protetyczna pełna rekonstrukcja dla mocno zniszczonej jedynki
Korona pełnoceramiczna czy na metalu? Która jest lepsza dla jedynki?
Korona protetyczna to rodzaj "czapeczki", która całkowicie pokrywa zniszczony i oszlifowany ząb, przywracając mu kształt, funkcję i estetykę. W przypadku jedynki, wybór materiału jest kluczowy dla naturalnego wyglądu. Korony porcelanowe na podbudowie metalowej są wytrzymałe, ale metalowy rdzeń może być widoczny jako ciemna linia przy dziąśle, co obniża estetykę. Dlatego dla zębów przednich, takich jak jedynka, korony pełnoceramiczne lub cyrkonowe są zdecydowanie rekomendowane. Są one całkowicie biokompatybilne, przepuszczają światło jak naturalne szkliwo i zapewniają najwyższą estetykę, eliminując ryzyko widoczności metalu.
Szczegółowy cennik: Ile kosztuje korona i co składa się na jej cenę?
Ceny koron protetycznych są zróżnicowane. Za koronę porcelanową na podbudowie metalowej zapłacisz orientacyjnie od 1500 do 2000 zł. Natomiast za koronę pełnoceramiczną lub cyrkonową, która oferuje znacznie lepszą estetykę, koszt wynosi od 2500 do nawet 3500 zł. W cenę korony zazwyczaj wliczone jest przygotowanie zęba (szlifowanie), pobranie odcisków, przymiarki oraz ostateczne zacementowanie. Czasem dodatkowo płatne są korony tymczasowe.
Jak przebiega proces zakładania korony i ile wizyt Cię czeka?
Proces zakładania korony protetycznej wymaga kilku wizyt w gabinecie:
- Pierwsza wizyta: Stomatolog przygotowuje ząb, szlifując go, aby stworzyć miejsce na koronę. Następnie pobiera precyzyjne wyciski, które są wysyłane do laboratorium protetycznego. Zakładana jest korona tymczasowa, chroniąca ząb i zapewniająca estetykę.
- Druga wizyta (przymiarka): Po kilku dniach lub tygodniu, gdy korona jest gotowa, odbywa się przymiarka. Stomatolog sprawdza dopasowanie, kolor i zgryz. W razie potrzeby, korona wraca do laboratorium na drobne korekty.
- Trzecia wizyta: Po akceptacji, korona jest trwale cementowana na zębie.
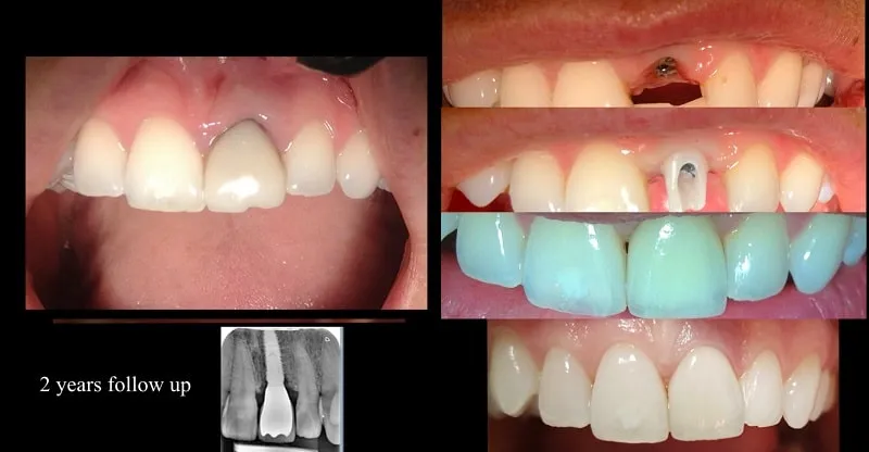
Opcja 5: Implant ostateczne rozwiązanie przy utracie całego zęba
Kiedy nie ma innej możliwości? Wskazania do leczenia implantologicznego
Implant zęba to najbardziej zaawansowane i kompleksowe rozwiązanie, które stosuje się w przypadku całkowitej utraty zęba zarówno korony, jak i korzenia. Jest to jedyna metoda, która pozwala na odtworzenie zęba od podstaw, eliminując konieczność szlifowania sąsiednich, zdrowych zębów, co jest wymagane przy mostach protetycznych. Wskazaniem do implantu jest brak jednego lub wielu zębów, a także sytuacje, gdy inne metody odbudowy są niemożliwe lub niezalecane.
Koszt implantu jedynki krok po kroku: od wszczepu po koronę
Leczenie implantologiczne jest inwestycją, a jego koszt składa się z kilku etapów:
- Część chirurgiczna (wszczepienie implantu): To koszt samego implantu (śruby tytanowej) i jego chirurgicznego wszczepienia w kość. Orientacyjnie wynosi to około 3000-4000 zł.
- Część protetyczna (korona na implancie): Po okresie osteointegracji (zrośnięcia implantu z kością), na implancie mocuje się łącznik, a następnie koronę protetyczną. Koszt korony na implancie to około 3000-3500 zł.
- Łączny orientacyjny koszt: Całkowity koszt zamknięcia luki po jedynce implantem często przekracza 7000 zł. Należy doliczyć również koszty diagnostyki (tomografia komputerowa, RTG) oraz ewentualne zabiegi towarzyszące, takie jak augmentacja kości czy podniesienie dna zatoki, jeśli jest to konieczne.
Dlaczego implant to inwestycja na lata? Przewaga nad innymi metodami
Mimo wysokiego kosztu, implant zęba to inwestycja na lata, która oferuje szereg niezaprzeczalnych korzyści. Przede wszystkim, jest to rozwiązanie najbardziej zbliżone do naturalnego zęba pod względem estetyki, funkcji i komfortu. Implanty są niezwykle trwałe, a przy odpowiedniej higienie mogą służyć do końca życia. Co ważne, zapobiegają zanikowi kości w miejscu po utraconym zębie i nie wymagają szlifowania sąsiednich, zdrowych zębów, co jest ich ogromną przewagą nad mostami protetycznymi. To rozwiązanie, które przywraca pełną pewność siebie i komfort.Jak wybrać najlepszą metodę odbudowy jedynki dla twojego budżetu?
Wybór najlepszej metody odbudowy jedynki to decyzja, która powinna uwzględniać zarówno Twoje oczekiwania estetyczne, stan zdrowia jamy ustnej, jak i oczywiście budżet. Z mojego doświadczenia wiem, że warto poświęcić czas na rozmowę ze stomatologiem i dokładne rozważenie wszystkich opcji. Poniżej przedstawiam tabelę porównawczą, która pomoże Ci uporządkować informacje.
Tabela porównawcza: Zestawienie cen, trwałości i estetyki wszystkich metod
| Metoda | Orientacyjny Koszt | Trwałość | Estetyka | Główne Wskazania |
|---|---|---|---|---|
| Odbudowa kompozytowa (Bonding) | 400 - 1500 zł | 5-10 lat | Dobra, wymaga polerowania | Niewielkie ukruszenia, korekta kształtu, małe diastemy |
| Odbudowa na włóknie szklanym + kompozyt | 900 - 1550 zł | 5-10 lat (wzmocnienie) | Dobra, jak kompozyt | Ząb po leczeniu kanałowym, osłabiony |
| Licówka kompozytowa | 800 - 1200 zł | 5-10 lat | Bardzo dobra, wymaga polerowania | Przebarwienia, drobne wady kształtu, diastemy |
| Licówka porcelanowa | 2500 - 3000 zł | 10-15+ lat | Doskonała, naturalna | Przebarwienia, wady kształtu, diastemy, trwałość |
| Korona porcelanowa na metalu | 1500 - 2000 zł | 10-15+ lat | Dobra (ryzyko widocznej podbudowy) | Znaczne zniszczenie zęba, po leczeniu kanałowym |
| Korona pełnoceramiczna/cyrkonowa | 2500 - 3500 zł | 10-15+ lat | Doskonała, naturalna | Znaczne zniszczenie zęba, po leczeniu kanałowym, wysokie wymagania estetyczne |
| Implant zęba (z koroną) | > 7000 zł | 20+ lat, często dożywotnio | Doskonała, naturalna | Całkowita utrata zęba (korzeń i korona) |
Jak uniknąć ukrytych kosztów? O co zapytać stomatologa przed rozpoczęciem leczenia?
Aby uniknąć nieprzyjemnych niespodzianek finansowych i w pełni zrozumieć plan leczenia, zawsze zadawaj swojemu stomatologowi konkretne pytania. Pamiętaj, że masz prawo do pełnej informacji. Oto lista, która pomoże Ci w rozmowie:
- Czy przedstawiona cena obejmuje wszystkie etapy leczenia, czy są jakieś dodatkowe opłaty?
- Jakie są dostępne opcje materiałowe dla wybranej metody i jak wpływają one na koszt oraz trwałość?
- Czy przed odbudową konieczne są dodatkowe zabiegi (np. leczenie kanałowe, usunięcie kamienia, diagnostyka RTG/CBCT)? Jeśli tak, jaki jest ich koszt?
- Czy otrzymam szczegółowy kosztorys na piśmie?
- Ile wizyt będzie wymagało leczenie i jaki jest przewidywany czas jego trwania?
- Jakie są zalecenia dotyczące pielęgnacji odbudowanego zęba i jak często będę musiał zgłaszać się na wizyty kontrolne?
- Jaka jest gwarancja na wykonany zabieg i w jakich warunkach obowiązuje?
Przeczytaj również: Dziura w zębie? Jak zabezpieczyć ubytek do wizyty u dentysty
Inwestycja w uśmiech: Dlaczego nie warto oszczędzać na odbudowie przedniego zęba?
Wiem, że koszty leczenia stomatologicznego, zwłaszcza odbudowy jedynki, mogą być wysokie. Jednak to inwestycja, której nie warto traktować po macoszemu. Przedni ząb to nie tylko wizytówka Twojego uśmiechu i element wpływający na samoocenę, ale także ważny element funkcji żucia i mowy. Wybór tańszych, ale mniej trwałych lub estetycznych rozwiązań, może w dłuższej perspektywie okazać się droższy. Niska jakość materiałów lub niedokładne wykonanie mogą prowadzić do powikłań, konieczności częstych poprawek lub nawet ponownej odbudowy. Pamiętaj, że zdrowy i piękny uśmiech to komfort, pewność siebie i inwestycja w Twoje ogólne samopoczucie na wiele lat.
