Spuchnięte dziąsło to problem, z którym wielu z nas boryka się od czasu do czasu, a jego nagłe pojawienie się może być nie tylko bolesne, ale i niepokojące. Często jest to sygnał, że w jamie ustnej dzieje się coś niedobrego od drobnego podrażnienia po poważniejszą infekcję. W tym artykule, jako Blanka Malinowska, postaram się przybliżyć Ci najczęstsze przyczyny opuchlizny, podpowiem, jak szybko znaleźć ulgę w domowym zaciszu, a przede wszystkim kiedy bezwzględnie należy udać się do stomatologa, aby uniknąć poważniejszych konsekwencji.
Spuchnięte dziąsło? Szybka ulga i sygnały, kiedy musisz iść do dentysty
- Najczęstsze przyczyny to zapalenie dziąseł, ropień lub wyrzynające się zęby.
- W domu pomogą płukanki z soli, ziół (szałwia, rumianek) oraz zimne okłady.
- Pilna wizyta u dentysty jest konieczna, gdy ból jest silny, pojawia się gorączka, ropa lub opuchlizna utrzymuje się dłużej niż 3-4 dni.
- Unikaj drażniących pokarmów i zbyt mocnego szczotkowania, aby nie nasilać problemu.
- Pamiętaj, że domowe metody to wsparcie, nie zastępują profesjonalnej diagnozy i leczenia stomatologicznego.
Dlaczego nagle czujesz ból i widzisz obrzęk? Poznaj 7 najczęstszych winowajców
Kiedy dziąsło nagle puchnie i boli, naturalnie zastanawiamy się, co jest tego przyczyną. Z mojego doświadczenia wynika, że najczęściej winowajcą jest jeden z poniższych problemów. Zrozumienie ich pomoże Ci lepiej ocenić sytuację i podjąć odpowiednie kroki.
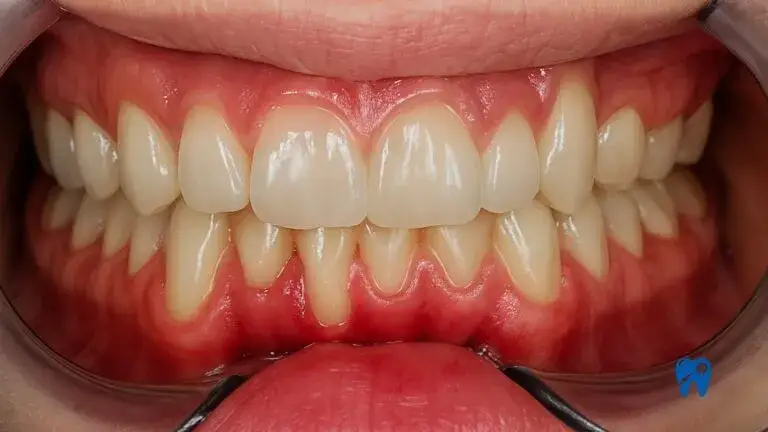
- Zapalenie dziąseł (gingivitis): To zdecydowanie najpowszechniejsza przyczyna. Wynika zazwyczaj z niedostatecznej higieny jamy ustnej, co prowadzi do nagromadzenia płytki bakteryjnej. Dziąsła stają się wtedy czerwone, opuchnięte i często krwawią podczas szczotkowania.
- Ropień zęba lub dziąsła: To ostra infekcja bakteryjna, która tworzy bolesną kieszeń ropną. Może pojawić się na dziąśle (ropień dziąsłowy) lub u podstawy zęba (ropień okołowierzchołkowy). Charakteryzuje się silnym, pulsującym bólem i wyraźnym obrzękiem. To stan wymagający pilnej interwencji stomatologicznej.
- Wyrzynanie się zębów: Ten problem dotyczy nie tylko niemowląt! U dorosłych najczęściej związane jest z wyrzynaniem się zębów mądrości, czyli ósemek. Dziąsło w tylnej części jamy ustnej może być wtedy bardzo opuchnięte i bolesne.
- Urazy mechaniczne: Czasem wystarczy zbyt mocne szczotkowanie, użycie twardej szczoteczki, nieprawidłowe nitkowanie, a nawet podrażnienie od aparatu ortodontycznego czy ostrego jedzenia. Takie urazy mogą prowadzić do miejscowego obrzęku i bólu.
- Niedobory witaminowe: Choć rzadsze, niedobory niektórych witamin, zwłaszcza witaminy C (szkorbut) i witamin z grupy B, mogą osłabiać dziąsła i czynić je bardziej podatnymi na stany zapalne i obrzęki.
- Zmiany hormonalne: Kobiety są szczególnie narażone na ten typ problemów. Ciąża, menopauza, a nawet okres dojrzewania mogą zwiększać wrażliwość dziąseł i ich skłonność do obrzęków i krwawień.
- Efekty uboczne leków: Niektóre leki, na przykład te stosowane w leczeniu nadciśnienia, padaczki czy leki immunosupresyjne, mogą powodować przerost i opuchliznę dziąseł jako efekt uboczny. Warto zawsze sprawdzić ulotkę przyjmowanych leków.
Czy to tylko podrażnienie, czy już poważny problem? Jak odróżnić błahostkę od alarmu
Rozumiem, że trudno jest samemu ocenić powagę sytuacji, gdy dziąsło jest spuchnięte. Kluczem jest obserwacja objawów. Łagodne podrażnienie, na przykład po zbyt energicznym szczotkowaniu, zazwyczaj ustępuje samoistnie w ciągu jednego, maksymalnie dwóch dni. Ból jest wtedy umiarkowany, a obrzęk niewielki. Jeśli jednak zauważysz, że opuchlizna utrzymuje się dłużej niż 3-4 dni, a do tego pojawia się silny, pulsujący ból, gorączka, ropna wydzielina z dziąsła, ruchomość zęba w okolicy obrzęku, czy nawet trudności w przełykaniu, to są to bezwzględne sygnały alarmowe. W takich przypadkach nie ma co zwlekać konieczna jest natychmiastowa wizyta u stomatologa. Pamiętaj, że w przypadku jakichkolwiek wątpliwości zawsze lepiej skonsultować się ze specjalistą.
Pierwsza pomoc w domu: sprawdzone i bezpieczne metody na opuchnięte dziąsło
Kiedy dziąsło zaczyna puchnąć, pierwszą myślą jest często "jak sobie pomóc tu i teraz?". Na szczęście istnieje kilka skutecznych i bezpiecznych domowych sposobów, które mogą przynieść ulgę, zanim dotrzesz do dentysty. Pamiętaj jednak, że są to metody wspomagające, a nie zastępujące profesjonalne leczenie.
Płukanki, które naprawdę działają: jak przygotować roztwór z soli, szałwii i rumianku?
Płukanki to moi ulubieni sprzymierzeńcy w walce z początkowymi stanami zapalnymi. Działają antyseptycznie i przeciwzapalnie, co jest kluczowe przy opuchliźnie.
-
Płukanka z soli fizjologicznej:
- Jak przygotować: W szklance ciepłej, przegotowanej wody rozpuść jedną płaską łyżeczkę soli kuchennej. Woda powinna być ciepła, ale nie gorąca, aby nie podrażnić dodatkowo dziąsła.
- Jak stosować: Płucz jamę ustną roztworem przez około 30 sekund, skupiając się na opuchniętym miejscu.
- Częstotliwość: Powtarzaj 3-4 razy dziennie. Sól działa odkażająco i pomaga zmniejszyć obrzęk.
-
Płukanka z szałwii:
- Jak przygotować: Zaparz torebkę szałwii (lub łyżeczkę suszonych liści) w szklance wrzącej wody. Pozostaw pod przykryciem na około 10-15 minut, a następnie ostudź do temperatury pokojowej.
- Jak stosować: Płucz jamę ustną naparem przez około minutę.
- Częstotliwość: Stosuj 2-3 razy dziennie. Szałwia ma silne właściwości ściągające i przeciwzapalne.
-
Płukanka z rumianku:
- Jak przygotować: Podobnie jak szałwię, zaparz torebkę rumianku (lub łyżeczkę suszonych kwiatów) w szklance wrzącej wody. Ostudź przed użyciem.
- Jak stosować: Płucz jamę ustną przez około minutę.
- Częstotliwość: Stosuj 2-3 razy dziennie. Rumianek znany jest ze swoich właściwości łagodzących i przeciwzapalnych.
Zimno Twój sprzymierzeniec: Jak prawidłowo stosować okłady, by zmniejszyć obrzęk?
Zimne okłady to prosta, ale bardzo skuteczna metoda na zmniejszenie obrzęku i złagodzenie bólu. Pamiętaj, aby stosować je prawidłowo:
- Nigdy bezpośrednio na dziąsło: Okład powinien być zawsze zewnętrzny, przykładany na policzek w miejscu, gdzie odczuwasz opuchliznę.
- Użyj lodu zawiniętego w ściereczkę: Nigdy nie przykładaj lodu bezpośrednio do skóry, aby uniknąć odmrożeń. Woreczek z lodem, żelowy kompres chłodzący lub nawet mrożonka z lodówki owinięta w cienką bawełnianą szmatkę będą idealne.
- Stosuj interwałowo: Przykładaj okład na 10-15 minut, a następnie zrób 15-20 minut przerwy. Powtarzaj cykl przez około godzinę lub do momentu, gdy poczujesz ulgę.
- Częstotliwość: Możesz powtarzać tę metodę kilka razy dziennie, szczególnie w pierwszej dobie po pojawieniu się obrzęku.
Apteka bez recepty: Jakie żele i preparaty miejscowe warto mieć pod ręką?
W aptece znajdziesz wiele preparatów bez recepty, które mogą przynieść ulgę. Zawsze jednak czytaj ulotkę i stosuj zgodnie z zaleceniami producenta.
- Żele stomatologiczne z chlorheksydyną: Chlorheksydyna to substancja o silnym działaniu antyseptycznym, która pomaga zwalczać bakterie odpowiedzialne za stany zapalne. Żele z nią są świetne do miejscowego odkażania.
- Żele z lidokainą lub benzokainą: Te substancje działają miejscowo znieczulająco, co szybko przynosi ulgę w bólu. Są szczególnie pomocne, gdy ból jest intensywny.
- Olejek goździkowy: To naturalny środek, który od wieków jest używany w stomatologii. Ma właściwości znieczulające i antybakteryjne. Możesz nanieść bardzo małą kroplę olejku na wacik i delikatnie przyłożyć do bolącego miejsca. Uważaj, aby nie połknąć zbyt dużej ilości.
Czego absolutnie unikać, gdy dziąsło jest spuchnięte? Błędy, które nasilają problem
Tak samo ważne, jak wiedzieć, co robić, jest wiedzieć, czego unikać. Niektóre działania mogą tylko pogorszyć sytuację.
- Zbyt mocne szczotkowanie i twarda szczoteczka: Choć intuicyjnie chcemy "doczyścić" bolące miejsce, zbyt agresywne szczotkowanie twardą szczoteczką tylko podrażni dziąsło i nasili stan zapalny. Użyj miękkiej szczoteczki i szczotkuj bardzo delikatnie.
- Spożywanie gorących, ostrych lub kwaśnych pokarmów: Takie jedzenie i napoje mogą dodatkowo podrażnić i nasilić ból oraz obrzęk. Wybieraj miękkie, letnie i neutralne w smaku potrawy.
- Samodzielne "przebijanie" ropnia: To absolutnie niedopuszczalne! Próba samodzielnego usunięcia ropy może doprowadzić do rozprzestrzenienia się infekcji, poważnych powikłań, a nawet zagrożenia życia. Zawsze zostaw to zadanie dentyście.
- Palenie papierosów: Dym tytoniowy podrażnia dziąsła i utrudnia proces gojenia. Jeśli palisz, spróbuj ograniczyć palenie lub całkowicie zrezygnować na czas leczenia.
Kiedy domowe sposoby to za mało? Czerwone flagi, które muszą Cię zaprowadzić do dentysty
Jako specjalista zawsze podkreślam, że domowe metody są świetne jako pierwsza pomoc, ale nie zastąpią profesjonalnej diagnozy i leczenia. Istnieją konkretne sygnały, które bezwzględnie powinny skłonić Cię do natychmiastowej wizyty u stomatologa. Ignorowanie ich może prowadzić do bardzo poważnych konsekwencji zdrowotnych.
Ból, który nie daje spać i gorączka: dlaczego nie możesz tego zignorować?
Jeśli doświadczasz silnego, pulsującego bólu, który nie ustępuje po lekach przeciwbólowych i utrudnia Ci sen, a do tego towarzyszy mu gorączka lub ogólne złe samopoczucie, to jest to bardzo poważny sygnał alarmowy. Może to wskazywać na zaawansowaną infekcję bakteryjną, taką jak ropień zęba lub dziąsła, która może rozprzestrzenić się na inne części ciała. W takich sytuacjach liczy się każda godzina, a zwlekanie z wizytą u dentysty może mieć bardzo poważne konsekwencje.Ruszający się ząb lub ropna wydzielina: objawy świadczące o ropniu
Kiedy zauważysz, że ząb w okolicy opuchlizny stał się ruchomy, lub co gorsza, pojawia się ropna wydzielina z dziąsła, to niemal pewne, że masz do czynienia z ropniem. Ropa to nic innego jak nagromadzenie martwych bakterii, komórek odpornościowych i tkanek świadczy o toczącej się, ostrej infekcji. Ropień jest stanem nagłym i wymaga natychmiastowego drenażu przez stomatologa, aby usunąć źródło infekcji i zapobiec jej dalszemu rozprzestrzenianiu się. Nie próbuj go samodzielnie wyciskać ani przebijać!Opuchlizna narasta i utrudnia przełykanie? Nie czekaj, działaj natychmiast!
Jeśli zauważysz, że opuchlizna w jamie ustnej lub na twarzy szybko narasta i zaczyna utrudniać Ci przełykanie, mówienie, a nawet oddychanie, to jest to sytuacja zagrożenia życia. Taki stan może świadczyć o rozprzestrzenianiu się infekcji na okoliczne tkanki, co może prowadzić do obrzęku dróg oddechowych. W takim przypadku nie ma miejsca na wahanie natychmiast udaj się na pogotowie stomatologiczne lub do najbliższego szpitala. To nie jest moment na domowe sposoby ani czekanie na wizytę u swojego dentysty.
Spuchnięte dziąsło a konkretne sytuacje: co robić, gdy...
Czasem opuchnięte dziąsło pojawia się w specyficznych okolicznościach, które wymagają nieco innego podejścia. Przyjrzyjmy się kilku takim sytuacjom.
... Wyrzyna Ci się ósemka? Sposoby na ból przy zębie mądrości
Wyrzynające się zęby mądrości, czyli ósemki, to częsta przyczyna opuchlizny i bólu w tylnej części jamy ustnej. Dziąsło wokół nich często puchnie, staje się tkliwe, a czasem nawet pojawia się stan zapalny (pericoronitis). Oto, co możesz zrobić:
- Ciepłe płukanki z soli lub szałwii: Pomogą oczyścić okolicę i zmniejszyć stan zapalny. Stosuj je regularnie, kilka razy dziennie.
- Zimne okłady: Przykładane na policzek, w okolicy bolącej ósemki, mogą przynieść ulgę w bólu i zmniejszyć obrzęk.
- Żele znieczulające: Dostępne bez recepty żele z lidokainą lub benzokainą mogą miejscowo złagodzić ból.
- Leki przeciwbólowe: Standardowe leki przeciwbólowe dostępne bez recepty, np. ibuprofen, mogą pomóc w opanowaniu bólu.
- Kiedy do dentysty: Jeśli ból jest bardzo silny, pojawia się gorączka, trudności z otwieraniem ust lub opuchlizna jest duża, koniecznie skonsultuj się ze stomatologiem. Może być konieczne oczyszczenie kieszonki dziąsłowej lub nawet usunięcie zęba.
... Opuchlizna pojawiła się przy implancie lub koronie?
Opuchlizna dziąsła w okolicy implantu lub korony to sygnał, którego absolutnie nie wolno ignorować. Może to świadczyć o poważnych problemach, takich jak:
- Periimplantitis: To stan zapalny tkanek wokół implantu, który może prowadzić do utraty kości i w konsekwencji do utraty implantu.
- Niedopasowanie korony: Jeśli korona nie jest idealnie dopasowana, może drażnić dziąsło lub sprzyjać zaleganiu resztek pokarmowych i rozwojowi bakterii.
- Zaleganie resztek pokarmowych: Podobnie jak w przypadku niedopasowanej korony, resztki jedzenia mogą utknąć wokół implantu lub korony, powodując stan zapalny.
- Infekcja: Może to być również infekcja bakteryjna, która wymaga natychmiastowej interwencji.
W każdej z tych sytuacji konieczna jest natychmiastowa wizyta u stomatologa. Tylko specjalista jest w stanie prawidłowo zdiagnozować przyczynę i podjąć odpowiednie leczenie, aby zapobiec poważnym komplikacjom, takim jak utrata implantu czy zęba.
... Jesteś w ciąży i Twoje dziąsła są wyjątkowo wrażliwe?
Ciąża to wyjątkowy czas, a zmiany hormonalne, które zachodzą w organizmie kobiety, mają ogromny wpływ na cały organizm, w tym na jamę ustną. Dziąsła stają się wtedy bardziej wrażliwe, skłonne do obrzęków i krwawień to tzw. ciążowe zapalenie dziąseł.
- Delikatna, ale dokładna higiena: Używaj miękkiej szczoteczki i delikatnie, ale dokładnie szczotkuj zęby dwa razy dziennie. Nie zapominaj o nitkowaniu!
- Płukanki z soli lub rumianku: Są bezpieczne w ciąży i mogą pomóc złagodzić objawy. Unikaj płukanek z alkoholem.
- Regularne wizyty u stomatologa: To absolutny priorytet. Poinformuj dentystę o ciąży. Regularne kontrole i profesjonalne czyszczenie zębów są kluczowe, aby zapobiec rozwojowi poważniejszych problemów.
- Zdrowa dieta: Zadbaj o dietę bogatą w witaminy (szczególnie C i B) i minerały, co wspiera zdrowie dziąseł.
Pamiętaj, że zdrowie jamy ustnej w ciąży ma wpływ nie tylko na Ciebie, ale i na rozwijające się dziecko.
Jak dentysta leczy spuchnięte dziąsło? Czego możesz się spodziewać w gabinecie
Kiedy domowe sposoby nie wystarczają lub pojawiają się sygnały alarmowe, wizyta u stomatologa jest niezbędna. Dentysta, po dokładnym zbadaniu, dobierze odpowiednie leczenie, które ma na celu wyeliminowanie przyczyny obrzęku i przywrócenie zdrowia Twoim dziąsłom.
Profesjonalne czyszczenie zębów (skaling i piaskowanie): fundament zdrowych dziąseł
W większości przypadków spuchniętych dziąseł, zwłaszcza tych spowodowanych zapaleniem dziąseł (gingivitis), pierwszym krokiem jest profesjonalne czyszczenie zębów. To absolutny fundament zdrowia jamy ustnej. Zabiegi takie jak skaling i piaskowanie są kluczowe:
- Skaling: Polega na usunięciu twardego kamienia nazębnego, który gromadzi się na zębach i pod dziąsłami. Kamień jest siedliskiem bakterii, które wywołują stan zapalny i obrzęk.
- Piaskowanie: Uzupełnia skaling, usuwając osady i przebarwienia z powierzchni zębów za pomocą strumienia wody, powietrza i drobnego piasku stomatologicznego. Dzięki temu zęby są gładkie, co utrudnia ponowne osadzanie się płytki bakteryjnej.
Usunięcie kamienia i płytki bakteryjnej to często jedyny sposób na zahamowanie stanu zapalnego i cofnięcie obrzęku dziąseł.
Leczenie kanałowe lub drenaż ropnia: gdy infekcja sięgnęła głębiej
Jeśli infekcja jest bardziej zaawansowana i sięgnęła głębiej, stomatolog może podjąć bardziej inwazywne działania:
- Leczenie kanałowe: Jeśli przyczyną opuchlizny jest infekcja miazgi zęba (np. z powodu nieleczonej próchnicy), konieczne może być leczenie kanałowe. Polega ono na usunięciu zainfekowanej miazgi z wnętrza zęba, dokładnym oczyszczeniu i wypełnieniu kanałów korzeniowych. To ratuje ząb przed usunięciem i eliminuje źródło infekcji.
- Drenaż ropnia: W przypadku ropnia zęba lub dziąsła, stomatolog musi wykonać drenaż, czyli nacięcie i odprowadzenie nagromadzonej ropy. To natychmiastowo przynosi ulgę w bólu i zapobiega rozprzestrzenianiu się infekcji. Często po drenażu konieczne jest również leczenie kanałowe lub usunięcie zęba, jeśli jest on źródłem ropnia.
Jakie leki (antybiotyki, leki przeciwzapalne) może zalecić specjalista?
W zależności od przyczyny i nasilenia stanu zapalnego, dentysta może zalecić również farmakoterapię:
- Antybiotyki: W przypadku poważnych infekcji bakteryjnych, zwłaszcza ropni lub rozległych stanów zapalnych, stomatolog może przepisać antybiotyki. Ważne jest, aby przyjmować je dokładnie według zaleceń lekarza, nawet jeśli objawy ustąpią wcześniej.
- Leki przeciwzapalne i przeciwbólowe: Mogą być przepisane w celu złagodzenia bólu i zmniejszenia obrzęku. Są to zazwyczaj silniejsze preparaty niż te dostępne bez recepty.
- Płyny do płukania ust z chlorheksydyną: W niektórych przypadkach, jako uzupełnienie leczenia, dentysta może zalecić specjalne płyny do płukania ust o działaniu antyseptycznym.
Pamiętaj, że wszystkie te leki są wydawane na receptę i ich stosowanie powinno odbywać się pod ścisłą kontrolą lekarza.
Zapobieganie jest lepsze niż leczenie: Twoja strategia na zdrowe dziąsła bez opuchlizny
Jako Blanka Malinowska zawsze powtarzam moim pacjentom: najlepszym sposobem na uniknięcie problemów ze spuchniętymi dziąsłami jest zapobieganie. Proste, codzienne nawyki i świadomość tego, co dzieje się w naszej jamie ustnej, mogą zdziałać cuda.
Technika mycia zębów, która zmienia wszystko: czy na pewno robisz to dobrze?
Prawidłowa technika szczotkowania to podstawa. Niestety, wiele osób szczotkuje zęby zbyt mocno lub nieefektywnie, co może prowadzić do podrażnień lub niedostatecznego usuwania płytki bakteryjnej. Oto kilka wskazówek:
- Miękka szczoteczka: Zawsze używaj szczoteczki z miękkim włosiem. Twarde włosie może uszkadzać dziąsła i szkliwo.
- Kąt 45 stopni: Ustaw szczoteczkę pod kątem 45 stopni do linii dziąseł. Włosie powinno delikatnie wchodzić pod dziąsło.
- Delikatne, wymiatające ruchy: Wykonuj krótkie, delikatne ruchy wymiatające od dziąsła w stronę korony zęba. Unikaj szorowania w poprzek.
- Szczotkuj przez 2 minuty: Poświęć na szczotkowanie co najmniej dwie minuty, dwa razy dziennie. Możesz użyć stopera lub elektrycznej szczoteczki z timerem.
- Nie zapominaj o języku: Szczotkuj również język, aby usunąć bakterie i odświeżyć oddech.
Nitkowanie i irygacja: dlaczego to nie jest opcja, a obowiązek?
Szczotkowanie zębów to tylko połowa sukcesu. Szczoteczka nie jest w stanie dotrzeć do wszystkich zakamarków, zwłaszcza do przestrzeni międzyzębowych. Właśnie dlatego nitkowanie i irygacja są tak kluczowe:
- Nitkowanie zębów: Codzienne nitkowanie usuwa resztki jedzenia i płytkę bakteryjną z przestrzeni międzyzębowych i spod linii dziąseł, gdzie najczęściej zaczynają się stany zapalne. To absolutny obowiązek!
- Irygator do zębów: Irygator to urządzenie, które za pomocą strumienia wody pod ciśnieniem wypłukuje resztki jedzenia i bakterie z trudno dostępnych miejsc, w tym z kieszonek dziąsłowych. Jest to doskonałe uzupełnienie nitkowania, szczególnie dla osób z aparatami ortodontycznymi, implantami czy mostami.
Włączenie tych metod do codziennej rutyny znacząco zmniejsza ryzyko zapalenia dziąseł i innych problemów.
Przeczytaj również: Co jest dobre na dziąsła? Skuteczne sposoby na ból i krwawienie
Dieta dla zdrowych dziąseł: co włączyć, a co ograniczyć, by uniknąć problemów?
To, co jemy, ma ogromny wpływ na zdrowie całej jamy ustnej, w tym dziąseł. Coraz więcej badań potwierdza, że dieta odgrywa kluczową rolę w zapobieganiu stanom zapalnym.
Co włączyć do diety?
- Witamina C: Jest niezbędna do produkcji kolagenu, który buduje dziąsła. Znajdziesz ją w cytrusach, papryce, kiwi, truskawkach.
- Witaminy z grupy B: Wspierają zdrowie błon śluzowych. Bogate w nie są pełnoziarniste produkty, rośliny strączkowe, orzechy.
- Twarde warzywa i owoce: Chrupanie surowych marchewek, jabłek czy selera działa jak naturalny "czyścik" dla zębów i dziąseł, stymulując produkcję śliny.
- Produkty bogate w wapń i witaminę D: Wzmacniają kości, w tym kości szczęki, co jest ważne dla stabilności zębów.
- Woda: Pij dużo wody, aby utrzymać odpowiednie nawilżenie jamy ustnej i spłukiwać resztki jedzenia.
Czego unikać lub ograniczyć?
- Cukier i przetworzona żywność: Cukier jest pożywką dla bakterii w jamie ustnej, które produkują kwasy niszczące szkliwo i wywołujące stany zapalne dziąseł.
- Kwaśne napoje i pokarmy: Napoje gazowane, soki owocowe (szczególnie te z kartonu), cytrusy w nadmiarze mogą osłabiać szkliwo i podrażniać dziąsła.
- Alkohol: Wysusza jamę ustną i może podrażniać dziąsła.
- Twarde i klejące się jedzenie: Może utknąć między zębami i podrażnić dziąsła, a także sprzyjać rozwojowi próchnicy.
