Ciąża to wyjątkowy czas, pełen radości i oczekiwania, ale także okres intensywnych zmian w Twoim organizmie. Jednym z mniej przyjemnych, lecz bardzo powszechnych zjawisk, z którymi mierzy się wiele przyszłych mam, są problemy z dziąsłami. Nagle stają się one wrażliwe, obrzęknięte, a nawet krwawiące. Wiem, że w tym szczególnym okresie każda dolegliwość budzi dodatkowe obawy, zwłaszcza jeśli chodzi o bezpieczeństwo Twoje i Twojego maluszka. Dlatego przygotowałam ten artykuł, aby rozwiać Twoje wątpliwości i dostarczyć Ci sprawdzonych, bezpiecznych i skutecznych rozwiązań. Pokażę Ci, jakich płukanek możesz używać, a czego unikać, abyś mogła poczuć ulgę i mieć poczucie pełnej kontroli nad zdrowiem swojej jamy ustnej.
Bezpieczne płukanki i domowe sposoby skuteczna ulga dla wrażliwych dziąseł w ciąży
- Problemy z dziąsłami w ciąży (ciążowe zapalenie dziąseł) są bardzo powszechne i wynikają głównie ze zmian hormonalnych, dotykając 60-75% przyszłych mam.
- Najbezpieczniejszą i najprostszą płukanką jest roztwór soli kuchennej, działający odkażająco i ściągająco.
- Ziołowe napary z rumianku i kory dębu są dozwolone i wspierają łagodzenie stanów zapalnych.
- Należy bezwzględnie unikać płukanek z szałwii ze względu na ryzyko wywołania skurczów macicy oraz wody utlenionej.
- Gotowe płyny do płukania ust powinny być bezalkoholowe; warto szukać tych z chlorheksydyną (krótkoterminowo, po konsultacji) lub naturalnymi ekstraktami.
- Zaniedbanie dziąseł może zwiększać ryzyko przedwczesnego porodu i niskiej masy urodzeniowej dziecka, dlatego profilaktyka jest kluczowa.
Hormonalna burza w jamie ustnej: poznaj przyczynę problemu
Zastanawiasz się, dlaczego Twoje dziąsła nagle stały się tak problematyczne? Główną przyczyną ciążowego zapalenia dziąseł są intensywne zmiany hormonalne, które zachodzą w Twoim organizmie. Przede wszystkim chodzi o gwałtowny wzrost poziomu progesteronu. Ten hormon, choć kluczowy dla utrzymania ciąży, ma również znaczący wpływ na tkanki dziąseł. Powoduje on zwiększony przepływ krwi przez naczynia krwionośne w dziąsłach, co prowadzi do ich obrzęku, rozpulchnienia i zwiększonej podatności na krwawienie. Co więcej, dziąsła stają się bardziej wrażliwe na działanie bakterii z płytki nazębnej, co ułatwia rozwój stanu zapalnego. To naprawdę powszechna dolegliwość szacuje się, że dotyka ona od 60% do nawet 75% kobiet w ciąży, a objawy często nasilają się w drugim trymestrze.
Ciążowe zapalenie dziąseł: czy to powód do niepokoju?
Wiem, że sama myśl o zapaleniu może brzmieć niepokojąco, ale chcę Cię uspokoić: ciążowe zapalenie dziąseł jest bardzo powszechne i w większości przypadków nie stanowi bezpośredniego zagrożenia. To naturalna reakcja organizmu na burzę hormonalną. Nie oznacza to jednak, że możesz je ignorować. Wręcz przeciwnie! Choć to częsta dolegliwość, wymaga Twojej uwagi i odpowiedniej pielęgnacji. Nieleczone zapalenie dziąseł może bowiem prowadzić do poważniejszych problemów, takich jak zapalenie przyzębia, które już może mieć konsekwencje dla zdrowia Twojego i Twojego dziecka. Dlatego tak ważne jest, abyś wiedziała, jak sobie z nim radzić.Jakie objawy powinny zwrócić Twoją uwagę?
Zwróć uwagę na następujące sygnały, które mogą świadczyć o ciążowym zapaleniu dziąseł. Im szybciej je rozpoznasz, tym szybciej będziesz mogła podjąć odpowiednie kroki:
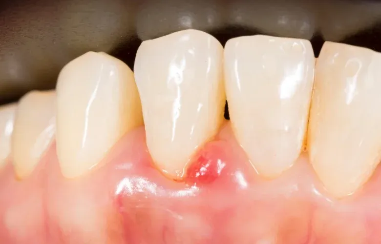
- Obrzęk i zaczerwienienie dziąseł: Zauważasz, że Twoje dziąsła są bardziej spuchnięte i mają intensywniejszy, ciemniejszy kolor niż zwykle.
- Krwawienie dziąseł podczas szczotkowania lub nitkowania: To jeden z najbardziej charakterystycznych objawów. Nawet delikatne mycie zębów może wywołać krwawienie.
- Nadwrażliwość dziąseł: Odczuwasz dyskomfort lub ból podczas jedzenia, picia, a nawet dotykania dziąseł.
- Rozpulchnienie dziąseł: Dziąsła wydają się miękkie i mniej zwarte, co jest efektem zwiększonego przepływu krwi.

Bezpieczne płukanki, które przyniosą ulgę Twoim dziąsłom
Skoro już wiesz, dlaczego Twoje dziąsła sprawiają kłopoty, przejdźmy do konkretów jak im ulżyć w bezpieczny sposób. Istnieje kilka sprawdzonych metod, które możesz stosować bez obaw o zdrowie swoje i maluszka.
Roztwór soli: najprostszy i najbezpieczniejszy sojusznik Twoich dziąseł
Jeśli szukasz najprostszego i w pełni bezpiecznego rozwiązania, roztwór soli kuchennej jest Twoim najlepszym przyjacielem. To metoda polecana przez stomatologów i ginekologów, która przynosi realną ulgę. Sól ma naturalne właściwości odkażające i ściągające, co pomaga zmniejszyć obrzęk i zwalczać bakterie w jamie ustnej. Aby przygotować taką płukankę, wystarczy rozpuścić pół łyżeczki soli w szklance ciepłej, przegotowanej wody. Płucz jamę ustną delikatnie przez około 30 sekund, 2-3 razy dziennie. To naprawdę działa!
Ziołowe napary dozwolone w ciąży: postaw na rumianek i korę dębu
Natura oferuje nam wiele dobrodziejstw, a niektóre zioła są w pełni bezpieczne i skuteczne w łagodzeniu stanów zapalnych dziąseł w ciąży. Zdecydowanie polecam dwa z nich:
- Rumianek: Znany ze swoich właściwości łagodzących i przeciwzapalnych. Napar z rumianku pomoże ukoić podrażnione dziąsła i zmniejszyć zaczerwienienie.
- Kora dębu: Posiada silne właściwości ściągające, co pomaga w redukcji krwawienia i wzmacnianiu dziąseł.
Pamiętaj, aby napary przygotowywać zgodnie z instrukcją na opakowaniu i stosować je z umiarem, nie przesadzając z częstotliwością.
Gotowe płyny z apteki: jak czytać skład, by wybrać mądrze?
Rynek oferuje mnóstwo gotowych płynów do płukania ust, ale w ciąży musisz być szczególnie ostrożna przy wyborze. Kluczowe jest świadome czytanie składu. Nie wszystkie produkty są dla Ciebie odpowiednie.
Czego szukać w składzie: chlorheksydyna i naturalne ekstrakty
Szukając gotowych płynów, zwróć uwagę na te składniki:
- Chlorheksydyna: To silny środek antybakteryjny. Może być stosowana, ale wyłącznie krótkoterminowo i po konsultacji ze stomatologiem. Nie jest przeznaczona do codziennego, długotrwałego użytku w ciąży.
- Ziołowe ekstrakty: Płyny zawierające ekstrakty z rumianku, siemienia lnianego czy aloesu mogą działać łagodząco i wspierająco. Są zazwyczaj bezpieczne.
- Płyny przeznaczone specjalnie dla kobiet w ciąży: Niektóre marki oferują produkty dedykowane przyszłym mamom. Warto je rozważyć, ponieważ ich skład jest zazwyczaj dostosowany do potrzeb tego okresu.
Składnik, którego musisz unikać: dlaczego płyny z alkoholem są zakazane?
To bardzo ważna zasada: bezwzględnie unikaj płynów do płukania ust zawierających alkohol (etanol). Alkohol może przenikać do krwiobiegu, a w ciąży każda ilość jest niewskazana. Dodatkowo, silne olejki eteryczne w niektórych płynach, choć nie są alkoholem, mogą podrażniać wrażliwe dziąsła, dlatego lepiej ich unikać.
Domowe sposoby pod lupą: co jest mitem, a co faktem?
Wokół domowych sposobów na dolegliwości krąży wiele mitów. W ciąży musimy być szczególnie ostrożne i stawiać tylko na sprawdzone rozwiązania. Przyjrzyjmy się kilku popularnym metodom.
Szałwia: dlaczego popularny lek na dziąsła nie jest dla przyszłych mam?
Szałwia jest powszechnie znana ze swoich właściwości przeciwzapalnych i ściągających, często stosowana w problemach z jamą ustną. Jednak w ciąży jest ona niewskazana! Dlaczego? Szałwia, zwłaszcza w większych stężeniach i przy regularnym stosowaniu, może wpływać na skurcze macicy, a także hamować laktację. Z tego powodu radzę Ci unikać jej całkowicie w tym szczególnym okresie.
Woda utleniona: czy na pewno warto ryzykować podrażnienie?
Woda utleniona bywa używana jako środek antyseptyczny, ale jej stosowanie do płukania jamy ustnej w ciąży jest kontrowersyjne. Większość stomatologów odradza jej regularne, domowe użycie, zwłaszcza w przypadku wrażliwych dziąseł. Może ona powodować podrażnienia delikatnych tkanek, a także zaburzać naturalną florę bakteryjną jamy ustnej, co w efekcie może przynieść więcej szkody niż pożytku. Lepiej pozostać przy bezpieczniejszych i łagodniejszych metodach.
Inne popularne metody: co z sodą oczyszczoną i olejem kokosowym?
W internecie można znaleźć wiele porad dotyczących stosowania sody oczyszczonej czy oleju kokosowego (tzw. oil pulling) na problemy z dziąsłami. Chociaż te metody są popularne, muszę podkreślić, że brakuje wiarygodnych danych naukowych potwierdzających ich bezpieczeństwo i skuteczność w kontekście problemów z dziąsłami w ciąży. W tym okresie zawsze zalecam ostrożność i trzymanie się sprawdzonych, rekomendowanych przez specjalistów metod. Nie eksperymentujmy, gdy stawką jest zdrowie Twoje i Twojego dziecka.

Kompleksowy plan: jak dbać o zdrowe dziąsła w ciąży?
Płukanki to tylko jeden z elementów dbania o dziąsła. Aby zapewnić im kompleksową ochronę i ulgę, potrzebujesz szerszego planu działania. Pamiętaj, że regularna i prawidłowa higiena to podstawa.
Delikatne, ale skuteczne: technika mycia zębów, która ma znaczenie
W ciąży Twoje dziąsła są bardziej wrażliwe, dlatego kluczowe jest, abyś myła zęby delikatnie, ale jednocześnie skutecznie. Używaj miękkiej szczoteczki elektrycznej lub manualnej. Myj zęby co najmniej dwa razy dziennie, a najlepiej po każdym posiłku, przez około dwie minuty. Skup się na dokładnym usuwaniu płytki nazębnej z powierzchni zębów i linii dziąseł, ale unikaj szorowania, które mogłoby dodatkowo podrażnić tkanki.
Nić dentystyczna: Twój niezbędnik w walce z płytką bakteryjną
Szczoteczka, nawet ta najlepsza, nie dotrze do wszystkich zakamarków. Dlatego nić dentystyczna jest absolutnie niezbędna w codziennej higienie jamy ustnej, zwłaszcza w ciąży. Pomaga ona usunąć płytkę bakteryjną i resztki jedzenia z przestrzeni międzyzębowych, gdzie najczęściej rozwijają się stany zapalne. Używaj jej przynajmniej raz dziennie, delikatnie, aby nie uszkodzić dziąseł.
Dieta dla zdrowych dziąseł: jakie produkty włączyć do jadłospisu?
Zbilansowana dieta to podstawa zdrowia całego organizmu, w tym także jamy ustnej. Unikaj nadmiernej ilości cukrów i przetworzonej żywności, które sprzyjają rozwojowi bakterii i powstawaniu płytki nazębnej. Zamiast tego, włącz do jadłospisu dużo świeżych warzyw i owoców, które dostarczą Ci niezbędnych witamin i minerałów, wspierając zdrowie dziąseł i całego organizmu.
Znaczenie wizyty u dentysty: kiedy i dlaczego nie można jej odkładać?
Nawet jeśli czujesz, że radzisz sobie z dolegliwościami, regularne wizyty kontrolne u stomatologa w ciąży są absolutnie kluczowe. Idealny czas na taką wizytę to drugi trymestr. Dentysta nie tylko oceni stan Twoich dziąseł i zębów, ale także może wykonać profesjonalne czyszczenie (skaling i piaskowanie), które usunie kamień nazębny, będący główną przyczyną stanów zapalnych. Otrzymasz również indywidualne porady dotyczące higieny. Pamiętaj, że dbanie o zdrowie jamy ustnej w ciąży to dbanie o zdrowie zarówno Twoje, jak i Twojego maluszka.
Kiedy domowe metody nie wystarczą? Poznaj sygnały alarmowe
Chociaż domowe sposoby i staranna higiena często przynoszą ulgę, są sytuacje, w których konieczna jest natychmiastowa interwencja stomatologa. Wiem, że w ciąży każda wizyta u lekarza może budzić dodatkowy stres, ale w pewnych przypadkach jest ona niezbędna.
Uporczywe krwawienie i silny ból: czas na pilną konsultację
Jeśli zauważysz, że krwawienie dziąseł jest uporczywe i nie ustępuje pomimo stosowania domowych płukanek i starannej higieny, a do tego towarzyszy mu silny, nieustępujący ból, ropna wydzielina lub trudności w jedzeniu, nie zwlekaj. To są sygnały alarmowe, które wymagają pilnej konsultacji ze stomatologiem. Mogą świadczyć o zaawansowanym stanie zapalnym, który wymaga profesjonalnego leczenia.
Ruchomość zębów: objaw, którego nie wolno ignorować
To jeden z najpoważniejszych sygnałów, którego absolutnie nie wolno ignorować. Jeśli odczuwasz, że jeden lub więcej zębów stało się ruchome, natychmiast umów się na wizytę u stomatologa. Ruchomość zębów może świadczyć o zaawansowanym zapaleniu przyzębia, które, jeśli nieleczone, może prowadzić do utraty zęba. W ciąży takie objawy wymagają szczególnie szybkiej reakcji.
Przeczytaj również: Przeszczep dziąsła: Cena, skuteczność, rekonwalescencja czy warto?
