Ten artykuł odpowie na nurtujące pytanie, czy dziąsła mogą odrosnąć po recesji. Przedstawimy medyczne fakty dotyczące regeneracji tkanki dziąsłowej, wyjaśnimy główne przyczyny jej zaniku oraz omówimy skuteczne metody leczenia i profilaktyki, dostępne w Polsce, abyś mógł podjąć świadome decyzje dotyczące zdrowia swojego uśmiechu.
Utracone dziąsła nie odrastają samoistnie, ale stomatologia oferuje skuteczne metody ich odbudowy.
- Tkanka dziąsłowa nie ma zdolności do samoistnej, pełnej regeneracji po recesji raz utracona nie odbuduje się sama.
- Główne przyczyny zaniku dziąseł to paradontoza, nieprawidłowe szczotkowanie, wady zgryzu, bruksizm oraz uwarunkowania genetyczne.
- Leczenie recesji dziąseł skupia się na zatrzymaniu postępu choroby i chirurgicznej odbudowie, np. poprzez przeszczepy dziąsła.
- Koszty leczenia są zróżnicowane (od 1500-3000 zł za ząb) i nie są refundowane przez NFZ.
- Kluczem do zdrowych dziąseł jest profilaktyka: prawidłowa higiena, regularne wizyty u stomatologa i profesjonalne zabiegi.
Czy dziąsła mogą odrosnąć? Krótka odpowiedź na najważniejsze pytanie
To pytanie, które słyszę bardzo często w moim gabinecie. Odpowiedź jest niestety jednoznaczna: tkanka dziąsłowa, która uległa zanikowi w wyniku recesji, nie ma zdolności do samoistnej regeneracji i odrastania do pierwotnego stanu. Podobnie jak szkliwo zęba, raz utracona tkanka dziąsłowa nie odbuduje się sama. Oznacza to, że jeśli zauważasz cofanie się dziąseł, samoistnie problem nie zniknie, a wręcz może się pogłębiać.
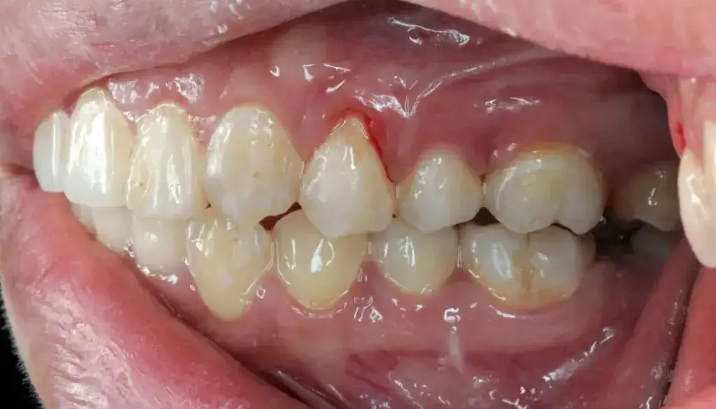
Recesja dziąseł cichy problem, który dotyka nie tylko seniorów
Recesja dziąseł to nic innego jak obniżenie się linii dziąseł, co prowadzi do odsłonięcia powierzchni korzenia zęba. Wiele osób myśli, że to problem, który dotyka głównie seniorów, ale to mit! Z moich obserwacji wynika, że coraz częściej spotykam się z recesjami u młodych dorosłych, a nawet nastolatków. Jest to problem postępujący jeśli nie zostanie podjęte leczenie, dziąsła będą cofać się dalej, prowadząc do szeregu nieprzyjemnych konsekwencji. Odsłonięte korzenie stają się nadwrażliwe na zimno, ciepło czy słodkie pokarmy, co znacząco obniża komfort życia. Poza tym, estetyka uśmiechu ulega pogorszeniu, a co najważniejsze, zwiększa się ryzyko rozwoju próchnicy korzenia i, w skrajnych przypadkach, nawet utraty zęba.Główne przyczyny zaniku dziąseł: czy popełniasz te błędy?
Zrozumienie przyczyn recesji dziąseł jest kluczowe, aby móc skutecznie jej zapobiegać i leczyć. Często pacjenci nie są świadomi, że ich codzienne nawyki lub nierozpoznane problemy stomatologiczne przyczyniają się do tego procesu. Poniżej przedstawiam najczęstsze czynniki, które prowadzą do zaniku dziąseł:
- Choroby przyzębia (paradontoza): To główny winowajca, prowadzący do stanu zapalnego, niszczenia kości i dziąseł.
- Nieprawidłowa technika szczotkowania: Zbyt mocne, agresywne szorowanie zębów może mechanicznie uszkadzać delikatną tkankę dziąseł.
- Wady zgryzu i bruksizm: Nieprawidłowe obciążenie zębów i zgrzytanie nimi generują mikrourazy, które sprzyjają recesjom.
- Nieprawidłowo wykonane uzupełnienia protetyczne: Korony, mosty czy wypełnienia, które są źle dopasowane, mogą drażnić dziąsła.
- Uwarunkowania genetyczne (tzw. cienki fenotyp dziąsła): Niektórzy z nas po prostu mają cieńsze, delikatniejsze dziąsła, co czyni je bardziej podatnymi na recesje.

Kto jest w grupie ryzyka? Najczęstsze przyczyny recesji dziąseł
Przyjrzyjmy się bliżej poszczególnym przyczynom, abyś mógł zidentyfikować, czy któryś z tych czynników dotyczy właśnie Ciebie. Wczesne rozpoznanie i eliminacja przyczyny to podstawa skutecznego leczenia i profilaktyki.
Paradontoza: wróg numer jeden zdrowych dziąseł
Paradontoza, czyli zaawansowane zapalenie przyzębia, jest bez wątpienia najgroźniejszym wrogiem naszych dziąseł i kości. Rozpoczyna się od gromadzenia się płytki bakteryjnej i kamienia nazębnego, które prowadzą do stanu zapalnego. Nieleczony stan zapalny powoduje, że dziąsła zaczynają się cofać, tworząc tzw. kieszonki dziąsłowe. W tych kieszonkach bakterie mają idealne warunki do namnażania się, co z kolei prowadzi do niszczenia kości otaczającej ząb. W efekcie dziąsła nie tylko się cofają, ale ząb traci swoje stabilne oparcie, staje się ruchomy i w ostateczności może wypaść. To proces, który wymaga natychmiastowej interwencji specjalisty.
Zła technika mycia zębów: kiedy troska zamienia się w agresję
Wielu pacjentów z recesjami dziąseł jest zaskoczonych, gdy dowiaduje się, że to właśnie ich codzienna higiena może być przyczyną problemu. Niestety, zbyt mocne, agresywne szorowanie zębów, zwłaszcza szczoteczką o twardym włosiu, działa jak papier ścierny na delikatne dziąsła. Zamiast wymiatać płytkę bakteryjną, mechanicznie "zdzieramy" tkankę dziąsłową, prowadząc do jej stopniowego cofania się. Często widzę to u osób, które z nadmierną gorliwością podchodzą do higieny, myśląc, że im mocniej, tym lepiej. Pamiętaj, że delikatność i prawidłowa technika są znacznie ważniejsze niż siła.Bruksizm i wady zgryzu: ukryte siły niszczące Twój uśmiech
Bruksizm, czyli nieświadome zgrzytanie zębami lub ich zaciskanie, często występujące w nocy, oraz wady zgryzu, to kolejne czynniki, które mogą przyczyniać się do recesji dziąseł. Nieprawidłowe obciążenie zębów, wynikające z wady zgryzu lub nadmiernych sił podczas bruksizmu, prowadzi do mikrourazów i przeciążeń w okolicy szyjek zębowych. Te ciągłe, powtarzające się obciążenia mogą powodować uszkodzenia tkanek przyzębia i w konsekwencji cofanie się dziąseł. W takich przypadkach leczenie recesji musi być połączone z terapią bruksizmu (np. szyna relaksacyjna) lub korektą wady zgryzu.
Genetyka i "cienki fenotyp" dziąsła: czy jesteś na to skazany?
Niestety, niektórzy z nas mają genetyczne predyspozycje do recesji dziąseł. Mówimy wtedy o tzw. "cienkich fenotypach dziąsła", co oznacza, że tkanka dziąsłowa jest naturalnie cieńsza i delikatniejsza, a kość pod nią jest mniej obfita. Takie dziąsła są po prostu bardziej podatne na urazy i stany zapalne, co zwiększa ryzyko recesji, nawet przy prawidłowej higienie. Czy to oznacza, że jesteś na to skazany? Absolutnie nie! Świadomość genetycznych predyspozycji powinna skłonić Cię do jeszcze większej dbałości o profilaktykę i regularne kontrole u stomatologa. Wczesne wykrycie problemu i odpowiednie działania mogą skutecznie zapobiec poważnym konsekwencjom.

Odbudowa dziąseł: nowoczesne metody leczenia w Polsce
Skoro wiemy już, że dziąsła same nie odrosną, a problem nieleczony będzie się pogłębiał, naturalne jest pytanie: co można zrobić? Na szczęście współczesna stomatologia, a w szczególności periodontologia, oferuje skuteczne metody leczenia i odbudowy utraconej tkanki dziąsłowej. Kluczem jest indywidualne podejście i wybór odpowiedniej metody do konkretnego przypadku.
Pierwszy krok: zatrzymanie postępu choroby poprzez leczenie przyczyny
Zanim pomyślimy o odbudowie, musimy bezwzględnie zatrzymać postęp choroby i wyeliminować jej przyczynę. Bez tego, nawet najlepiej wykonany zabieg chirurgiczny będzie skazany na niepowodzenie. Jeśli recesja jest wynikiem paradontozy, konieczne jest przeprowadzenie profesjonalnego leczenia periodontologicznego. Może ono obejmować kiretaż otwarty lub zamknięty, czyli głębokie czyszczenie kieszonek dziąsłowych. Celem jest usunięcie kamienia nazębnego i płytki bakteryjnej z powierzchni korzeni zębów, co pozwala na wyeliminowanie stanu zapalnego i zatrzymanie dalszego niszczenia tkanek. To fundament, na którym budujemy dalsze leczenie.
Chirurgiczna odbudowa dziąseł: na czym polega przeszczep?
Gdy przyczyna recesji zostanie opanowana, możemy przystąpić do chirurgicznej odbudowy dziąseł. Najpopularniejszą i najskuteczniejszą metodą jest przeszczep dziąsła. Zabieg polega na pobraniu niewielkiego fragmentu tkanki najczęściej z podniebienia pacjenta (jest to tkanka łączna lub nabłonkowo-łączna) i przeszczepieniu jej w miejsce, gdzie dziąsło się cofnęło. Przeszczepiona tkanka integruje się z otoczeniem, pokrywając odsłonięty korzeń zęba i wzmacniając dziąsło w tym obszarze. Jest to forma sterowanej regeneracji tkanek, która pozwala na odzyskanie estetyki i funkcji, a także chroni ząb przed dalszymi uszkodzeniami. Choć brzmi to poważnie, zabieg jest przeprowadzany w znieczuleniu miejscowym i jest dobrze tolerowany przez pacjentów.
Sterowana regeneracja tkanek (GTR): jak biomateriały pomagają w odbudowie?
W bardziej zaawansowanych przypadkach recesji, szczególnie gdy towarzyszy jej zanik kości wokół zęba, stosujemy techniki sterowanej regeneracji tkanek (GTR - Guided Tissue Regeneration). Polega to na zastosowaniu specjalnych biomateriałów, takich jak materiały kościozastępcze (pochodzenia zwierzęcego lub syntetyczne) oraz błony zaporowe. Błony te tworzą barierę, która uniemożliwia szybkorosnącym komórkom nabłonka dziąsła zajęcie miejsca, gdzie powinna zregenerować się kość i więzadło ozębnej. Dzięki temu, wolniej rosnące komórki kościotwórcze mają czas na odbudowę brakującej tkanki. Często wykorzystuje się również preparaty białkowe, takie jak Emdogain, które stymulują naturalne procesy regeneracyjne i wspierają gojenie się tkanek przyzębia. To zaawansowane metody, które pozwalają na kompleksową odbudowę struktur podtrzymujących ząb.
Czy leczenie recesji dziąseł boli i ile kosztuje?
Wielu pacjentów obawia się bólu związanego z zabiegami periodontologicznymi. Mogę Cię uspokoić: wszystkie zabiegi odbudowy dziąseł przeprowadzane są w znieczuleniu miejscowym, co minimalizuje dyskomfort. Po zabiegu może wystąpić pewna tkliwość lub niewielki obrzęk, ale zazwyczaj są one łatwe do opanowania za pomocą standardowych środków przeciwbólowych. Jeśli chodzi o koszty, są one zróżnicowane i zależą od rozległości problemu, wybranej metody oraz renomy kliniki. W Polsce, koszt pokrycia recesji przy jednym zębie, np. poprzez przeszczep dziąsła, waha się w granicach od 1500 do 3000 zł. Bardziej skomplikowane zabiegi z użyciem biomateriałów mogą być droższe. Należy pamiętać, że zabiegi te nie są standardowo refundowane przez Narodowy Fundusz Zdrowia, więc są to koszty, które pacjent musi pokryć samodzielnie.Skuteczna profilaktyka: jak chronić dziąsła na co dzień?
Najlepszym leczeniem jest zawsze profilaktyka. Nawet po udanym zabiegu odbudowy dziąseł, kluczowe jest utrzymanie prawidłowej higieny i regularne kontrole, aby zapobiec nawrotom problemu. Oto moje najważniejsze wskazówki, jak dbać o dziąsła na co dzień.
Jak prawidłowo myć zęby, by nie uszkadzać dziąseł? Kluczowe zasady
Prawidłowa technika mycia zębów to podstawa zdrowych dziąseł. Zapomnij o szorowaniu! Skup się na delikatności i precyzji:
- Metoda wymiatająca: Ustaw szczoteczkę pod kątem 45 stopni do powierzchni zęba, tak aby włosie częściowo znajdowało się na dziąśle, a częściowo na zębie. Wykonuj delikatne ruchy wymiatające od dziąsła w kierunku korony zęba.
- Delikatność: Nie używaj siły. Zbyt mocny nacisk może uszkodzić dziąsła.
- Regularność: Myj zęby co najmniej dwa razy dziennie, rano i wieczorem, a najlepiej po każdym głównym posiłku.
- Odpowiedni czas: Każde szczotkowanie powinno trwać minimum 2-3 minuty, aby dokładnie oczyścić wszystkie powierzchnie zębów.
- Użycie nici dentystycznej/szczoteczek międzyzębowych: To absolutny must-have! Usuwają płytkę bakteryjną i resztki jedzenia z przestrzeni międzyzębowych, gdzie szczoteczka nie dociera.
Wybór szczoteczki i pasty: co naprawdę ma znaczenie?
Odpowiedni sprzęt to połowa sukcesu. Zwróć uwagę na te aspekty:
- Szczoteczka: Zawsze wybieraj miękką lub ultra-miękką szczoteczkę. Twarde włosie jest wrogiem dziąseł. Jeśli używasz szczoteczki elektrycznej, upewnij się, że ma czujnik nacisku, który ostrzeże Cię, gdy szczotkujesz zbyt mocno.
- Pasta do zębów: Postaw na pasty o niskim współczynniku ścieralności (RDA), szczególnie jeśli masz wrażliwe zęby lub już występują u Ciebie recesje. Unikaj past wybielających, które często mają wysokie RDA.
- Płukanki i pasty dedykowane dziąsłom: Mogą być pomocne w łagodzeniu stanów zapalnych i nadwrażliwości, ale pamiętaj, że nie leczą one recesji ani nie powodują odrastania dziąseł. Są jedynie wsparciem w codziennej higienie.
Rola profesjonalnej higienizacji w gabinecie stomatologicznym
Nawet przy najlepszej domowej higienie, nie jesteśmy w stanie usunąć wszystkich złogów kamienia nazębnego. Dlatego tak ważne są regularne, profesjonalne zabiegi higienizacyjne w gabinecie stomatologicznym. Skaling (usunięcie kamienia nazębnego ultradźwiękami) i piaskowanie (usunięcie osadów i przebarwień) powinny być wykonywane co najmniej raz na 6-12 miesięcy. Te zabiegi są kluczowe w profilaktyce chorób przyzębia i recesji, ponieważ eliminują główne źródło bakterii i stanów zapalnych. To inwestycja w długoterminowe zdrowie Twoich dziąseł i zębów.
Kiedy należy odwiedzić periodontologa?
Zawsze powtarzam moim pacjentom, że wczesna interwencja jest kluczem do sukcesu. Nie czekaj, aż problem stanie się poważny. Jeśli zauważysz którekolwiek z poniższych objawów, umów się na wizytę u periodontologa.
Niepokojące objawy, których nie wolno ignorować
Twoje dziąsła często wysyłają sygnały ostrzegawcze, których nie należy lekceważyć:
- Widoczne cofanie się dziąseł: Zauważasz, że zęby wydają się dłuższe niż kiedyś.
- Nadwrażliwość na zimno/ciepło: Odsłonięte korzenie są bardzo wrażliwe na zmiany temperatury.
- Krwawienie dziąseł: Podczas szczotkowania lub jedzenia.
- Ból lub tkliwość dziąseł: Może świadczyć o stanie zapalnym.
- Zmiana koloru dziąseł: Zamiast zdrowego różu, dziąsła są czerwone lub sine.
- Obrzęk dziąseł: Dziąsła są spuchnięte i opuchnięte.
- Nieświeży oddech: Często towarzyszy chorobom przyzębia.
- Ruchomość zębów: W zaawansowanych stadiach paradontozy.
Przeczytaj również: Ropa na dziąśle: co robić? Szybka ulga i skuteczne leczenie
Jak wygląda pierwsza konsultacja i czego możesz się spodziewać?
Podczas pierwszej konsultacji u periodontologa możesz spodziewać się szczegółowego wywiadu na temat Twojego stanu zdrowia, nawyków higienicznych i ewentualnych dolegliwości. Następnie przeprowadzę dokładne badanie kliniczne jamy ustnej, ocenię stan dziąseł, zmierzę głębokość kieszonek dziąsłowych i sprawdzę obecność recesji. Często konieczna jest również diagnostyka radiologiczna (zdjęcia rentgenowskie), aby ocenić stan kości wokół zębów. Na podstawie zebranych informacji przedstawię Ci kompleksowy plan leczenia, omówię dostępne opcje, ich koszty oraz przewidywane rezultaty. Pamiętaj, im wcześniej zgłosisz się do specjalisty, tym większe szanse na skuteczne i mniej inwazyjne leczenie.
