Wielu moich pacjentów zadaje mi pytanie: "Czy dziąsła się regenerują?". To bardzo ważne zagadnienie, ponieważ zdrowie dziąseł ma kluczowe znaczenie dla utrzymania zębów. W tym artykule rozwiejemy wszelkie wątpliwości dotyczące zdolności dziąseł do samoodbudowy, wyjaśnimy, kiedy naturalne gojenie jest możliwe, a kiedy konieczna jest interwencja specjalisty. Dowiesz się także, co możesz zrobić, aby skutecznie zapobiegać problemom z dziąsłami i dbać o piękny uśmiech.
Utracone dziąsła nie odrastają samoistnie kluczowe fakty o regeneracji tkanki dziąsłowej
- Utracona tkanka dziąsłowa, na przykład w wyniku recesji, nie odrasta samoistnie. To powszechny mit, który musimy rozwiać.
- Dziąsła mają zdolność do gojenia się po drobnych urazach, skaleczeniach czy ustąpieniu stanów zapalnych, ale nie do odbudowy utraconej objętości.
- Główne przyczyny problemów z dziąsłami to niewłaściwa higiena, agresywne szczotkowanie, paradontoza, czynniki genetyczne, bruksizm czy palenie tytoniu.
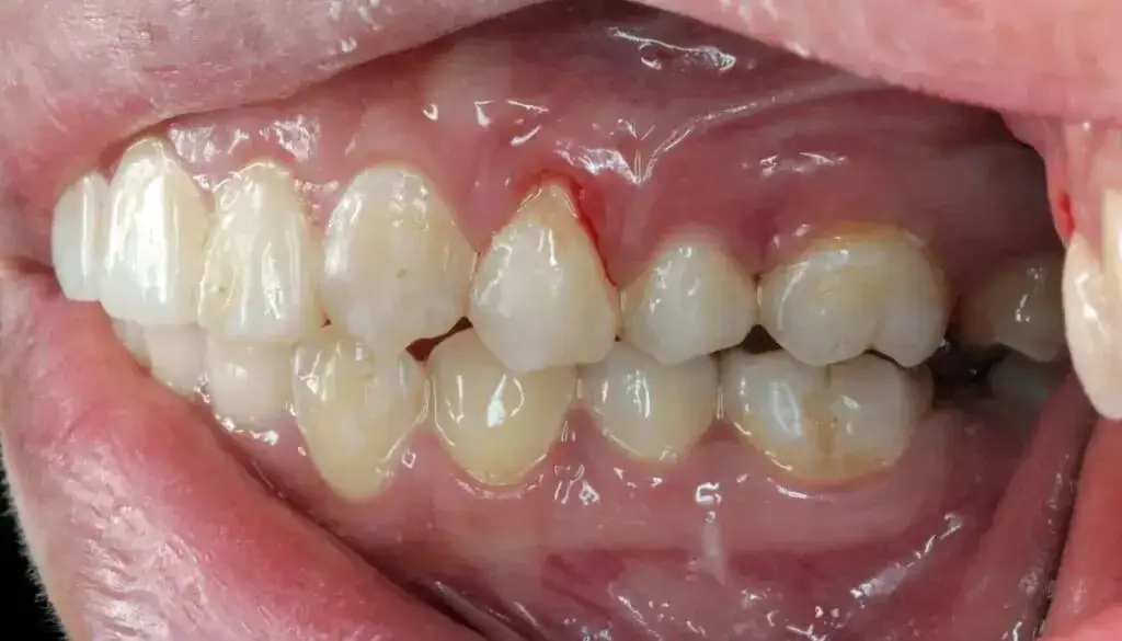
- Do niepokojących objawów należą krwawienie, obrzęk, nadwrażliwość oraz wrażenie "dłuższych" zębów.
- W leczeniu zaawansowanej recesji "złotym standardem" jest przeszczep dziąsła, a także zabiegi takie jak skaling, piaskowanie czy kiretaż.
- Kluczowa jest profilaktyka: prawidłowa higiena, zdrowa dieta i regularne wizyty u stomatologa.
Czy dziąsła odrastają? Rozwiewamy najczęstszy mit
Zacznijmy od najważniejszej kwestii, która często budzi nadzieję, ale niestety jest mitem: utracona tkanka dziąsłowa nie odrasta samoistnie. To bardzo ważne, aby to zrozumieć, ponieważ wiele osób wierzy, że dziąsła po prostu się zregenerują. Niestety, gdy dziąsło cofnie się, odsłaniając korzeń zęba, ta utracona objętość nie wróci bez interwencji.
Gojenie a regeneracja: kluczowa różnica dla zdrowia Twojej jamy ustnej
Musimy rozróżnić dwa pojęcia: gojenie i regenerację. Dziąsła mają imponującą zdolność do gojenia się. Oznacza to, że po drobnym skaleczeniu, otarciu czy ustąpieniu stanu zapalnego, tkanka dziąsłowa może się naprawić, a rana zamknąć. Jednak gojenie to nie to samo co regeneracja w sensie odbudowy utraconej objętości. Kiedy dziąsło zanika, na przykład w wyniku recesji, nie jest w stanie odtworzyć się do pierwotnego kształtu i poziomu. To kluczowa różnica, którą zawsze staram się wytłumaczyć moim pacjentom.
Kiedy dziąsła mogą się same odbudować? Drobne urazy i stany zapalne
W jakich sytuacjach zatem dziąsła mogą się "naprawić"? Przede wszystkim po drobnych urazach mechanicznych, takich jak skaleczenie szczoteczką czy otarcie twardym jedzeniem. Jeśli rana jest niewielka, dziąsło ma zdolność do szybkiego zasklepienia się i powrotu do zdrowia. Podobnie, w przypadku lekkiego stanu zapalnego, wywołanego na przykład nagromadzeniem płytki bakteryjnej, po usunięciu przyczyny (czyli po dokładnym wyczyszczeniu zębów i dziąseł) tkanka dziąsłowa może wrócić do swojego zdrowego, różowego wyglądu. To jednak wciąż gojenie, a nie odbudowa utraconej tkanki.

Dlaczego moje dziąsła znikają? Główne przyczyny recesji
Recesja dziąseł, czyli proces odsłaniania się korzeni zębów, to problem, który dotyka naprawdę wiele osób. Często pacjenci zauważają go dopiero, gdy zęby wydają się "dłuższe" lub pojawia się nadwrażliwość. Zrozumienie przyczyn jest kluczowe, aby skutecznie zapobiegać i leczyć ten stan.
Wróg numer jeden: płytka bakteryjna i kamień nazębny
Niewłaściwa higiena jamy ustnej to absolutny numer jeden na liście winowajców. Kiedy nie szczotkujemy zębów regularnie i dokładnie, na ich powierzchni gromadzi się płytka bakteryjna. Z czasem, pod wpływem minerałów ze śliny, płytka ta twardnieje, tworząc kamień nazębny. Kamień działa jak magnes na kolejne bakterie, a jego szorstka powierzchnia podrażnia dziąsła, prowadząc do stanu zapalnego, a w konsekwencji do ich cofania się.Zbyt mocne szczotkowanie czy troska o higienę może szkodzić?
Paradoksalnie, nadmierna troska o higienę, a raczej jej niewłaściwa technika, może również prowadzić do recesji. Zbyt agresywne szczotkowanie zębów, używanie twardej szczoteczki oraz nieprawidłowe ruchy szczotkujące (np. poziome, szorujące) mogą mechanicznie uszkadzać delikatną tkankę dziąseł, dosłownie "zmiatając" je z powierzchni zębów. Zawsze powtarzam, że liczy się jakość, nie siła.Cichy niszczyciel, czyli paradontoza i jej wpływ na dziąsła
Choroby przyzębia, a zwłaszcza paradontoza (zapalenie przyzębia), są poważnym zagrożeniem dla dziąseł i kości wspierającej zęby. Jest to przewlekła choroba zapalna, która nieleczona prowadzi do destrukcji tkanek otaczających ząb. W jej przebiegu dochodzi do powstawania kieszonek dziąsłowych, gromadzenia się w nich bakterii, a w efekcie do zaniku kości i, co za tym idzie, recesji dziąseł. To cichy niszczyciel, który często rozwija się bezboleśnie, aż do zaawansowanych stadiów.
Genetyka, wady zgryzu i styl życia ukryci winowajcy
- Czynniki genetyczne: Niektórzy z nas po prostu mają genetyczną predyspozycję do recesji dziąseł, na przykład ze względu na cienki biotyp dziąsła, czyli delikatną i cienką tkankę dziąsłową.
- Bruksizm: Zgrzytanie zębami, często nieświadome, wywiera nadmierne siły na zęby i dziąsła, co może przyczyniać się do ich cofania.
- Wady zgryzu i leczenie ortodontyczne: Nieprawidłowe ułożenie zębów może prowadzić do przeciążeń w niektórych obszarach, a leczenie ortodontyczne, choć konieczne, czasami wymaga szczególnej uwagi w kontekście dziąseł.
- Palenie tytoniu: Palenie znacząco osłabia odporność dziąseł, zaburza ich ukrwienie i utrudnia gojenie, co zwiększa ryzyko recesji i chorób przyzębia.
- Zmiany hormonalne: Wahania hormonalne, np. w ciąży czy menopauzie, mogą wpływać na wrażliwość i podatność dziąseł na stany zapalne.
Sygnały alarmowe, których nie wolno ignorować
Wczesne rozpoznanie problemów z dziąsłami jest absolutnie kluczowe dla skutecznego leczenia i zapobiegania dalszym uszkodzeniom. Wiele z tych objawów może wydawać się niegroźnych, ale to właśnie one są pierwszymi sygnałami, że coś jest nie tak i że powinniśmy skonsultować się ze specjalistą.
Krwawienie, obrzęk i zmiana koloru pierwsze objawy zapalenia
Kiedy moi pacjenci mówią, że ich dziąsła krwawią podczas szczotkowania, zawsze zapala mi się czerwona lampka. Krwawienie dziąseł nie jest normalne! To najczęściej pierwszy i najważniejszy objaw stanu zapalnego dziąseł (gingivitis). Towarzyszy mu często zaczerwienienie, obrzęk oraz tkliwość. Zdrowe dziąsła powinny być różowe, zwarte i nie krwawić nawet przy energicznym szczotkowaniu. Nie ignoruj tych sygnałów to wołanie o pomoc Twoich dziąseł.
Zęby nagle stały się dłuższe? To znak odsłoniętych szyjek zębowych
Jednym z najbardziej widocznych objawów recesji dziąseł jest wrażenie, że zęby nagle stały się dłuższe. Dzieje się tak, ponieważ dziąsło cofa się, odsłaniając szyjki zębowe, a czasem nawet fragmenty korzenia. To nie tylko kwestia estetyki, ale przede wszystkim zdrowia. Odsłonięte korzenie są bardziej narażone na próchnicę i nadwrażliwość, ponieważ nie są pokryte szkliwem.
Nadwrażliwość na zimno i ciepło dlaczego nie należy jej lekceważyć?
Czy odczuwasz ostry ból, gdy pijesz zimny napój lub jesz coś słodkiego? Nadwrażliwość zębów na ciepło, zimno, słodkie lub kwaśne pokarmy to bardzo częsty objaw problemów z dziąsłami i odsłoniętych szyjek zębowych. Korzenie zębów zawierają kanaliki z zakończeniami nerwowymi, które normalnie są chronione przez dziąsło i cement korzeniowy. Gdy dziąsło się cofa, te kanaliki stają się odsłonięte, a bodźce zewnętrzne docierają bezpośrednio do nerwu, wywołując ból. To sygnał, że Twoje dziąsła potrzebują uwagi.Gdy domowe sposoby to za mało kiedy potrzebna jest pomoc specjalisty?
Choć domowa profilaktyka jest niezwykle ważna, musimy być świadomi, że w wielu przypadkach, zwłaszcza gdy recesja dziąseł jest już zaawansowana, konieczna jest interwencja stomatologiczna. Nie ma co zwlekać, ponieważ im szybciej zareagujemy, tym lepsze efekty leczenia możemy osiągnąć.
Skaling, piaskowanie, kiretaż profesjonalne fundamenty leczenia
Podstawą leczenia większości problemów z dziąsłami jest profesjonalne oczyszczanie zębów. To fundament, na którym budujemy dalsze etapy terapii:
- Skaling: To zabieg usuwania kamienia nazębnego, zarówno naddziąsłowego, jak i poddziąsłowego, za pomocą ultradźwięków. Kamień jest główną przyczyną podrażnień i stanów zapalnych dziąseł.
- Piaskowanie: Uzupełnia skaling, usuwając osady i przebarwienia z powierzchni zębów za pomocą strumienia wody, powietrza i drobnego proszku. Pozostawia zęby gładkie, co utrudnia przyleganie płytki bakteryjnej.
- Kiretaż: W przypadku zaawansowanych stanów zapalnych i głębokich kieszonek dziąsłowych, konieczne może być wykonanie kiretażu. Polega on na głębokim oczyszczeniu kieszonek, usunięciu zmienionej zapalnie tkanki i wygładzeniu powierzchni korzenia zęba. Może być otwarty (z odchyleniem dziąsła) lub zamknięty.

Na czym polega przeszczep dziąsła i czy jest to rozwiązanie dla Ciebie?
Gdy recesja dziąseł jest znaczna i domowe metody oraz podstawowe zabiegi nie wystarczą, aby przywrócić zdrowie dziąseł, często rekomenduję zabieg pokrycia recesji, czyli przeszczep dziąsła. Jest to "złoty standard" w leczeniu zaawansowanej recesji. Zabieg polega na pobraniu niewielkiego fragmentu tkanki dziąsłowej (najczęściej z podniebienia pacjenta) i przeszczepieniu go w miejsce, gdzie dziąsło zanikło. Celem jest nie tylko pokrycie odsłoniętego korzenia, ale także wzmocnienie tkanki dziąsłowej w danym obszarze, aby zapobiec dalszej recesji. To procedura, która wymaga precyzji, ale daje bardzo dobre i trwałe efekty, poprawiając zarówno estetykę, jak i funkcję.
Ceny zabiegów periodontologicznych są zróżnicowane. Przykładowo, przeszczep dziąsła może kosztować od 1100-1500 zł wzwyż za jeden ząb, a pokrycie recesji z użyciem biomateriału od 3000 zł.
Sterowana regeneracja tkanek nowoczesna broń w walce o zdrowe dziąsła
Sterowana regeneracja tkanek (GTR - Guided Tissue Regeneration) to kolejna zaawansowana technika, którą wykorzystujemy w periodontologii. Polega ona na użyciu specjalnych membran (barier), które są umieszczane w obszarze ubytku dziąsła i kości. Membrany te tworzą przestrzeń, która chroni nowo powstające tkanki przed wrastaniem komórek nabłonka, jednocześnie stymulując odbudowę kości i więzadła ozębnej. To pozwala na bardziej kompleksową regenerację, zwłaszcza gdy problem dotyczy nie tylko dziąsła, ale i kości wspierającej ząb.
Twoja codzienna tarcza ochronna jak skutecznie zapobiegać problemom z dziąsłami?
Profilaktyka to podstawa! Choć medycyna stomatologiczna oferuje wiele zaawansowanych rozwiązań, nic nie zastąpi codziennej, starannej dbałości o higienę jamy ustnej. To Twoja osobista tarcza ochronna przed problemami z dziąsłami i zębami.
Złote zasady higieny jaką szczoteczkę i technikę wybrać?
Prawidłowa higiena to nie tylko regularność, ale przede wszystkim technika i odpowiednie narzędzia. Oto moje "złote zasady":
Po pierwsze, wybierz miękką szczoteczkę do zębów. Twarde włosie, jak już wspomniałam, może uszkadzać dziąsła. Szczoteczki soniczne lub elektryczne z czujnikiem nacisku są doskonałym wyborem, ponieważ pomagają uniknąć zbyt mocnego szczotkowania.
Po drugie, opanuj prawidłową technikę szczotkowania. Zamiast szorować zęby poziomo, wykonuj delikatne ruchy wymiatające od dziąsła do korony zęba. Pamiętaj, aby szczotkować zęby przez co najmniej dwie minuty, dwa razy dziennie.
Po trzecie, nie zapominaj o nici dentystycznej! Szczoteczka nie dotrze do wszystkich zakamarków między zębami. Nić dentystyczna jest niezbędna do usuwania płytki bakteryjnej i resztek jedzenia z tych trudno dostępnych miejsc.
Moc natury płukanki ziołowe i dieta wspierająca zdrowe dziąsła
- Płukanki ziołowe: Natura oferuje nam wiele sprzymierzeńców w walce o zdrowe dziąsła. Płukanki z naparów z szałwii, rumianku czy kory dębu mają działanie przeciwzapalne, ściągające i antybakteryjne. Mogą być świetnym uzupełnieniem codziennej higieny, zwłaszcza w przypadku łagodnych stanów zapalnych. Pamiętaj jednak, że nie zastąpią one mechanicznego usuwania płytki.
- Dieta: To, co jemy, ma ogromny wpływ na zdrowie całej jamy ustnej. Dieta bogata w witaminę C jest kluczowa, ponieważ witamina C wspomaga produkcję kolagenu, który jest ważnym składnikiem dziąseł. Witamina D i wapń są z kolei niezbędne dla mocnych kości, co pośrednio wpływa na stabilność zębów i zdrowie przyzębia. Ogranicz spożycie cukrów i przetworzonej żywności, które sprzyjają rozwojowi bakterii.
Przeczytaj również: Ropa na dziąśle: co robić? Szybka ulga i skuteczne leczenie
Rola regularnych wizyt kontrolnych w zapobieganiu recesji
Nawet jeśli sumiennie dbasz o higienę w domu, regularne wizyty u stomatologa są niezastąpione. Ja, jako Twój dentysta, jestem w stanie dostrzec wczesne objawy problemów z dziąsłami, zanim staną się one poważne. Profesjonalne czyszczenie zębów (skaling i piaskowanie) co 6-12 miesięcy usuwa kamień nazębny, którego nie jesteś w stanie usunąć samodzielnie. To klucz do wczesnego wykrywania i zapobiegania recesji oraz innym chorobom dziąseł.
