Czy zastanawiałeś się kiedykolwiek, czy Twój dentysta jest w stanie rozpoznać Twój nałóg palenia podczas rutynowego badania? Ten artykuł dostarczy Ci jednoznacznej odpowiedzi, szczegółowo opisując widoczne oznaki i objawy w jamie ustnej, które zdradzają zarówno palaczy tradycyjnych papierosów, jak i użytkowników e-papierosów. Dowiedz się, jakie długofalowe konsekwencje niesie ze sobą palenie dla zdrowia Twojej jamy ustnej i dlaczego szczerość z dentystą jest kluczowa.
Twój dentysta widzi więcej niż myślisz jak rozpoznaje palenie papierosów i e-papierosów?
- Dentysta bez trudu rozpozna palenie tradycyjnych papierosów po charakterystycznych przebarwieniach, szybciej narastającym ciemnym kamieniu nazębnym oraz zmianach na dziąsłach i błonie śluzowej.
- Nikotyna zawarta w papierosach i e-papierosach maskuje objawy chorób dziąseł, takie jak krwawienie, co sprawia, że proces zapalny postępuje niezauważony.
- E-papierosy, choć bez substancji smolistych, również pozostawiają ślady, takie jak suchość w ustach, podrażnienia błony śluzowej i stany zapalne dziąseł, które dentysta może zauważyć.
- Palenie znacząco utrudnia gojenie się ran po zabiegach stomatologicznych i zwiększa ryzyko powikłań.
- Długofalowo, palenie jest głównym czynnikiem ryzyka paradontozy, odrzucenia implantów oraz rozwoju raka jamy ustnej.
- Szczera rozmowa z dentystą o nałogu pozwala na lepsze dopasowanie planu leczenia i wczesne wykrycie potencjalnych zagrożeń.
Co dentysta widzi w Twoich ustach? Jak rozpoznaje palenie
Jako stomatolog z wieloletnim doświadczeniem, mogę z całą pewnością stwierdzić: tak, dentysta jest w stanie rozpoznać nałóg palenia podczas rutynowego badania stomatologicznego. Niezależnie od tego, czy używasz tradycyjnych papierosów, czy e-papierosów, Twoja jama ustna zdradza pewne specyficzne, widoczne zmiany. Są one dla nas, specjalistów, łatwo identyfikowalne i stanowią kluczowe sygnały, które pomagają nam ocenić stan zdrowia jamy ustnej i dobrać odpowiednie leczenie. To nie jest kwestia zgadywania, lecz obserwacji konkretnych objawów, które jednoznacznie wskazują na obecność nałogu.

7 dowodów, po których dentysta poznaje palacza
Podczas każdego badania stomatologicznego szczegółowo oceniam stan zębów, dziąseł, języka i błony śluzowej. Istnieje siedem kluczowych oznak, które dla mnie, jako dentysty, są niemal natychmiastowym sygnałem, że mam do czynienia z osobą palącą. Przyjrzyjmy się im bliżej.
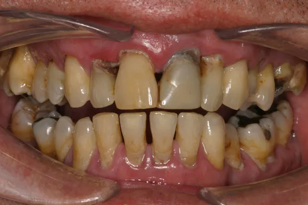
Dowód nr 1: Charakterystyczne przebarwienia i osady, których nie ukryjesz
Nikotyna i substancje smoliste zawarte w dymie papierosowym są bezlitosne dla szkliwa. Prowadzą do powstawania żółtych, brązowych, a nawet czarnych osadów na powierzchni zębów, szczególnie widocznych od strony językowej i podniebiennej. Te przebarwienia są niezwykle trudne do usunięcia podczas standardowego szczotkowania, a ich intensywność często koreluje z długością i intensywnością nałogu. To jeden z pierwszych i najbardziej oczywistych sygnałów, które zauważam.
Dowód nr 2: Szybciej narastający kamień nazębny o ciemnym zabarwieniu
U palaczy obserwujemy znacznie szybsze odkładanie się płytki nazębnej, która następnie mineralizuje się do postaci kamienia nazębnego. Co więcej, kamień ten często ma ciemniejsze, niemal czarne zabarwienie, co jest efektem wchłaniania barwników z dymu tytoniowego. To sprawia, że konieczność regularnych profesjonalnych zabiegów higienizacyjnych jest u palaczy znacznie większa.
Dowód nr 3: "Oszukane" dziąsła: dlaczego brak krwawienia u palacza to zły znak?
To jeden z najbardziej podstępnych efektów palenia. Nikotyna ma działanie obkurczające naczynia krwionośne. W rezultacie, u palaczy często obserwujemy blade, niedokrwione dziąsła, które... nie krwawią, nawet jeśli toczy się w nich zaawansowany proces zapalny. Brak krwawienia, które u osób niepalących jest kluczowym sygnałem zapalenia dziąseł, maskuje prawdziwy stan rzeczy. Choroba postępuje w utajeniu, często prowadząc do znacznie poważniejszych problemów, zanim pacjent zauważy jakiekolwiek objawy.
Dowód nr 4: Zmiany na podniebieniu i języku: co to jest "niebo palacza"?
Palenie wpływa nie tylko na zęby i dziąsła, ale także na błonę śluzową. Często spotykam się z tzw. "niebem palacza" (leukoplakia nikotynowa). Są to białe lub szarawe plamy z czerwonymi punktami na podniebieniu twardym, które niestety są zmianami przednowotworowymi. Innym charakterystycznym objawem jest melanoza palaczy, czyli brunatne przebarwienia na dziąsłach, będące reakcją obronną organizmu na toksyny.
Dowód nr 5: Uporczywa suchość w ustach i jej konsekwencje dla zdrowia
Problem kserostomii, czyli suchości w ustach, jest bardzo powszechny wśród palaczy. Substancje zawarte w dymie papierosowym ograniczają produkcję śliny, która jest naturalną ochroną jamy ustnej. Mniejsza ilość śliny oznacza większe ryzyko rozwoju próchnicy, infekcji grzybiczych oraz ogólny dyskomfort. To sygnał, który zawsze zwraca moją uwagę.
Dowód nr 6: Specyficzny zapach, którego nie da się zignorować
Nieświeży oddech, czyli halitoza, to kolejny charakterystyczny i trudny do zatuszowania sygnał. Dym tytoniowy i produkty jego spalania osadzają się w całej jamie ustnej, tworząc specyficzny, nieprzyjemny zapach. Jest to jeden z pierwszych objawów, który dostrzega otoczenie, ale również dla mnie, jako dentysty, stanowi jasny wskaźnik nałogu.
Dowód nr 7: Problemy z gojeniem po zabiegach: dlaczego rany gorzej się leczą?
Palenie ma ogromny wpływ na zdolność organizmu do regeneracji. U palaczy procesy gojenia po zabiegach chirurgicznych, takich jak ekstrakcja zęba czy wszczepienie implantów, są znacznie wolniejsze i obarczone większym ryzykiem powikłań, na przykład wystąpienia suchego zębodołu. To dla mnie bardzo ważna informacja, którą muszę wziąć pod uwagę, planując leczenie.E-papierosy a wizyta u dentysty: czy jest różnica?
Wielu pacjentów uważa, że e-papierosy są bezpieczniejszą alternatywą i nie pozostawiają śladów w jamie ustnej. Niestety, to mit. Chociaż mechanizm działania jest inny niż w przypadku tradycyjnych papierosów, e-papierosy również mają negatywny wpływ na zdrowie jamy ustnej, a my, dentyści, potrafimy rozpoznać ich użytkowników.
Mity i fakty na temat wpływu e-papierosów na zęby i dziąsła
Rozprawmy się z mitem o nieszkodliwości e-papierosów. To prawda, że nie zawierają one substancji smolistych, które są głównym winowajcą przebarwień i wielu chorób nowotworowych. Jednak płyny do e-papierosów, tzw. liquidy, zawierają nikotynę, glikol propylenowy, glicerynę i substancje smakowe. Każda z tych substancji, choć w inny sposób, negatywnie wpływa na zdrowie jamy ustnej. Glikol propylenowy i gliceryna mogą prowadzić do suchości w ustach, a nikotyna, niezależnie od formy, jest szkodliwa dla dziąseł i naczyń krwionośnych.
Jakie subtelne sygnały zdradzają użytkownika e-papierosów podczas wizyty?
Użytkownicy e-papierosów mogą prezentować nieco inne, ale równie rozpoznawalne sygnały:
- Suchość w ustach: Glikol propylenowy i gliceryna w liquidach mogą prowadzić do zmniejszenia produkcji śliny.
- Zwiększone ryzyko próchnicy: Suchość w ustach w połączeniu z często słodkimi aromatami liquidów sprzyja rozwojowi bakterii próchnicotwórczych.
- Stany zapalne dziąseł: Nikotyna nadal obkurcza naczynia krwionośne, co może maskować krwawienie, ale proces zapalny w dziąsłach jest często widoczny.
- Podrażnienia błony śluzowej: Niektóre składniki liquidów mogą powodować podrażnienia i zaczerwienienia.
- Charakterystyczny słodki zapach: Czasami wyczuwalny jest specyficzny, słodkawy zapach z ust, pochodzący z aromatów liquidów.
- Mniejsza ilość kamienia nazębnego: W porównaniu do palaczy tradycyjnych papierosów, osady i kamień mogą być mniej intensywne, ale objawy stanu zapalnego dziąseł są wciąż obecne.
Nikotyna to nikotyna: dlaczego jej forma ma drugorzędne znaczenie dla zdrowia dziąseł?
Muszę to jasno podkreślić: nikotyna, niezależnie od tego, czy jest dostarczana w tradycyjnym papierosie, czy e-papierosie, jest szkodliwa dla zdrowia jamy ustnej. Jej głównym problemem jest działanie obkurczające naczynia krwionośne. To oznacza gorsze ukrwienie dziąseł, co utrudnia dostarczanie składników odżywczych i tlenu, a także spowalnia procesy gojenia. To właśnie nikotyna w dużej mierze odpowiada za "maskowanie" objawów chorób dziąseł i przyspieszanie ich rozwoju.

Długofalowe skutki palenia: co dentysta widzi na horyzoncie
Poza widocznymi na pierwszy rzut oka objawami, jako dentysta zawsze patrzę szerzej, przewidując długofalowe konsekwencje palenia dla zdrowia moich pacjentów. Niestety, lista tych zagrożeń jest długa i poważna.
Paradontoza: cicha choroba, która prowadzi do utraty zębów
Palenie jest jednym z głównych czynników ryzyka rozwoju paradontozy, czyli zaawansowanej choroby przyzębia, która prowadzi do utraty zębów. Jak już wspomniałam, nikotyna maskuje objawy, sprawiając, że choroba postępuje w utajeniu. Palacze są nawet sześciokrotnie bardziej narażeni na paradontozę niż osoby niepalące, a jej przebieg jest u nich znacznie agresywniejszy i trudniejszy do leczenia. To cicha choroba, która niestety często kończy się tragicznie dla uzębienia.
Ryzyko odrzucenia implantów: dlaczego palenie niweczy drogie leczenie?
Dla pacjentów planujących leczenie implantologiczne, palenie jest ogromnym problemem. Znacząco zwiększa ono ryzyko niepowodzenia leczenia. Nikotyna zaburza proces osteointegracji, czyli zrastania się implantu z kością, a także utrudnia gojenie się tkanek miękkich wokół implantu. W efekcie, odrzucenie implantu u palaczy jest znacznie częstsze, co może niweczyć kosztowne i czasochłonne leczenie.
Najpoważniejsze zagrożenie: palenie jako główny czynnik ryzyka raka jamy ustnej
To jest najpoważniejsze ostrzeżenie, jakie mogę przekazać. Palenie tytoniu, w każdej formie, jest głównym czynnikiem ryzyka rozwoju nowotworów w obrębie jamy ustnej, gardła i krtani. Podczas każdego badania stomatologicznego dokładnie oglądam błonę śluzową, szukając wszelkich niepokojących zmian, które mogłyby wskazywać na wczesne stadium raka. Wczesne wykrycie jest kluczowe dla skuteczności leczenia, dlatego tak ważna jest regularność wizyt.
Szczerość z dentystą: klucz do skutecznego leczenia
Wiem, że czasem trudno jest przyznać się do nałogu, ale dla dobra Twojego zdrowia, szczerość z dentystą jest absolutnie kluczowa. My jesteśmy tu, aby Ci pomóc, a nie oceniać.
Jak szczera rozmowa o nałogu wpływa na plan leczenia i jego skuteczność?
Gdy wiem, że pacjent pali, mogę znacznie lepiej dopasować plan leczenia. Mogę przewidzieć potencjalne powikłania, np. gorsze gojenie po ekstrakcji, i wdrożyć odpowiednie działania profilaktyczne. Wiem, że muszę zwrócić szczególną uwagę na stan dziąseł i błony śluzowej, częściej wykonywać skaling i piaskowanie. Szczera rozmowa pozwala mi zapewnić Ci najlepszą możliwą opiekę i wczesne wykrycie ewentualnych zagrożeń.
Profesjonalne zabiegi higienizacyjne: Twoja pierwsza linia obrony
Dla palaczy regularne, profesjonalne zabiegi higienizacyjne są absolutną podstawą. Skaling (usuwanie kamienia nazębnego) i piaskowanie (usuwanie osadów) są kluczowe dla zarządzania skutkami palenia w jamie ustnej. Pomagają usunąć szkodliwe osady i przebarwienia, zmniejszając ryzyko rozwoju chorób dziąseł i próchnicy. To Twoja pierwsza linia obrony przed negatywnymi skutkami nałogu.
Przeczytaj również: Dentysta to lekarz? Poznaj prawdę o jego statusie!
Twój stomatolog może być wsparciem w rzucaniu palenia: zapytaj o to!
Pamiętaj, że jako Twój dentysta, jestem częścią zespołu medycznego, który dba o Twoje ogólne zdrowie. Jeśli myślisz o rzuceniu palenia, nie wahaj się o tym porozmawiać. Mogę zaoferować Ci porady, wskazać dostępne zasoby, programy pomocowe lub skierować do odpowiednich specjalistów. Rzucenie palenia to jedna z najlepszych decyzji, jaką możesz podjąć dla swojego zdrowia, a ja chętnie Ci w tym pomogę.
