Recesja dziąseł to problem, który dotyka zaskakująco wielu z nas, często pozostając niezauważonym aż do momentu pojawienia się nieprzyjemnych objawów. To stopniowe cofanie się brzegu dziąsła, odsłaniające wrażliwe korzenie zębów, może prowadzić do nadwrażliwości, estetycznych defektów, a w skrajnych przypadkach nawet do utraty zęba. W tym artykule, jako Blanka Malinowska, pragnę szczegółowo wyjaśnić, czym jest to schorzenie, jakie są jego przyczyny i objawy, a także przedstawić skuteczne metody leczenia zarówno te zachowawcze, jak i chirurgiczne. Poruszymy również kwestię kosztów w Polsce i, co najważniejsze, podpowiem, jak skutecznie zapobiegać recesji dziąseł, by cieszyć się zdrowym i pięknym uśmiechem przez długie lata.
Recesja dziąseł: zrozum, jak powstaje, jakie ma objawy i jak skutecznie ją leczyć
- Recesja dziąseł to cofanie się brzegu dziąsła, prowadzące do odsłonięcia korzenia zęba, co dotyka nawet co drugiej osoby dorosłej w Polsce.
- Główne objawy to wizualne wydłużenie zębów, nadwrażliwość na zimno/ciepło oraz widoczne odsłonięcie żółtawego korzenia.
- Przyczynami są najczęściej niewłaściwa higiena, paradontoza, uwarunkowania genetyczne, bruksizm oraz czynniki jatrogenne (np. źle dopasowane korony).
- Leczenie obejmuje metody zachowawcze (profesjonalna higienizacja, zmiana nawyków) oraz chirurgiczne (przeszczepy dziąsła, biomateriały).
- Leczenie chirurgiczne recesji dziąseł nie jest refundowane przez NFZ, a jego koszt w Polsce waha się od 1800 do 3500 zł za jeden ząb.
- Kluczowa jest profilaktyka: prawidłowa technika szczotkowania, miękka szczoteczka, regularne wizyty kontrolne i higienizacja.
Co to jest recesja dziąseł i dlaczego nie wolno jej ignorować?
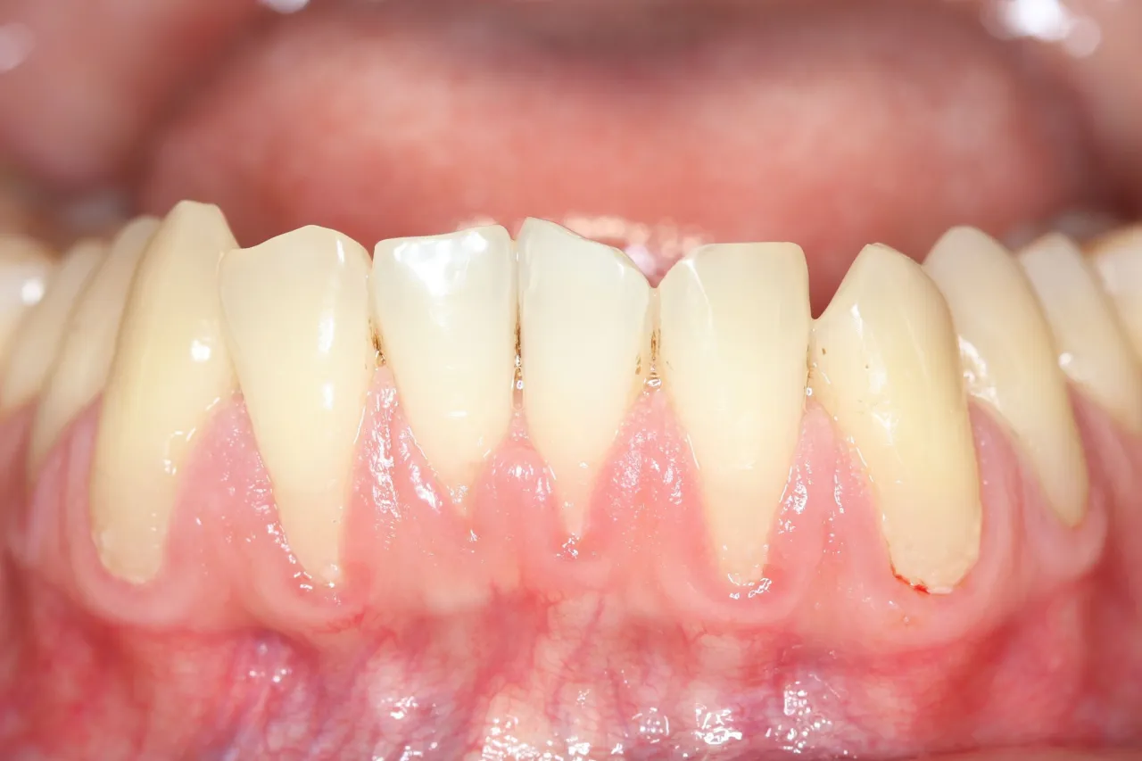
Recesja dziąseł to proces chorobowy, który polega na stopniowym przemieszczaniu się brzegu dziąsła w kierunku wierzchołka korzenia zęba, co w efekcie prowadzi do odsłonięcia jego powierzchni. To niestety bardzo powszechne schorzenie szacuje się, że w Polsce dotyka ono nawet co drugiej osoby dorosłej, niezależnie od wieku, choć z wiekiem ryzyko znacząco wzrasta. Ignorowanie recesji dziąseł to duży błąd, ponieważ odsłonięte korzenie są znacznie bardziej podatne na próchnicę, ścieranie i urazy, a także mogą prowadzić do poważniejszych problemów z przyzębiem, a w konsekwencji nawet do utraty zęba. Wczesna diagnoza i interwencja są kluczowe, aby zatrzymać ten proces i uchronić się przed poważniejszymi konsekwencjami.
Odsłonięte szyjki zębowe a nadwrażliwość: poznaj pierwsze sygnały ostrzegawcze
Objawy recesji dziąseł mogą być początkowo subtelne, ale z czasem stają się coraz bardziej dokuczliwe. Warto zwrócić uwagę na następujące sygnały:
- Wizualne wydłużenie się zębów: To jeden z najbardziej oczywistych objawów. Zęby wydają się dłuższe, ponieważ więcej ich powierzchni jest widoczne.
- Nadwrażliwość zębów: Odsłonięte korzenie są pozbawione ochronnej warstwy szkliwa, przez co stają się niezwykle wrażliwe na bodźce termiczne (zimne napoje, gorące jedzenie), chemiczne (słodkie, kwaśne pokarmy) oraz dotykowe (szczotkowanie, dotyk języka).
- Widoczne odsłonięcie żółtawego korzenia: Korzeń zęba ma naturalnie ciemniejszy, żółtawy odcień niż korona, więc jego odsłonięcie jest łatwo zauważalne.
- Krwawienie, zaczerwienienie lub obrzęk dziąseł: Chociaż te objawy częściej wskazują na zapalenie dziąseł, mogą towarzyszyć recesji, zwłaszcza gdy jest ona powiązana z chorobami przyzębia.
- Ruchomość zębów: W bardzo zaawansowanych stadiach recesji, gdy dochodzi do znacznej utraty kości i tkanek podtrzymujących ząb, może pojawić się jego ruchomość.
Jeśli zauważysz u siebie którykolwiek z tych objawów, nie zwlekaj z wizytą u stomatologa. Im wcześniej zdiagnozujemy problem, tym łatwiej będzie go opanować i zapobiec dalszemu postępowi.
Jak wygląda postępująca recesja? Od subtelnej zmiany do poważnego zagrożenia
Recesja dziąseł to proces, który rzadko pojawia się nagle. Zazwyczaj zaczyna się od subtelnych zmian niewielkiego cofnięcia brzegu dziąsła, które może być niezauważone przez pacjenta. Z czasem jednak, pod wpływem utrzymujących się czynników przyczynowych, recesja pogłębia się, odsłaniając coraz większą część korzenia. Początkowa nadwrażliwość może przerodzić się w stały dyskomfort, a estetyczny problem w poważne zagrożenie dla stabilności i zdrowia zęba. To dlatego tak ważne jest, aby nie bagatelizować nawet najmniejszych sygnałów i podjąć interwencję na wczesnym etapie, zanim recesja stanie się trudna do opanowania.

Skąd bierze się recesja dziąseł? Poznaj najczęstsze przyczyny
Z mojego doświadczenia wynika, że recesja dziąseł rzadko ma jedną, izolowaną przyczynę. Zazwyczaj jest to wynik współdziałania kilku czynników, które stopniowo osłabiają tkanki dziąsła i kości. Zrozumienie ich jest kluczowe dla skutecznej profilaktyki i leczenia.
Błąd, który popełniasz każdego dnia: czy Twoja szczoteczka niszczy Twoje dziąsła?
Niestety, jedną z najczęstszych przyczyn recesji dziąseł jest... niewłaściwa higiena jamy ustnej. Paradoksalnie, zamiast chronić zęby, możemy im szkodzić. Zbyt agresywne, szorujące szczotkowanie zębów, zwłaszcza przy użyciu twardej szczoteczki i nieprawidłowej techniki (np. ruchy poziome), prowadzi do mechanicznego uszkadzania delikatnych tkanek dziąsła. Wyobraź sobie, że codziennie szorujesz delikatną skórę efekt będzie podobny. Dziąsła po prostu się cofają, ustępując miejsca zbyt intensywnemu naciskowi.
Paradontoza: cichy winowajca cofania się dziąseł
Innym, bardzo poważnym czynnikiem jest paradontoza, czyli zaawansowane zapalenie przyzębia. Wszystko zaczyna się od nagromadzenia płytki bakteryjnej i kamienia nazębnego, które prowadzą do zapalenia dziąseł. Jeśli ten stan nie jest leczony, infekcja rozprzestrzenia się głębiej, niszcząc kość i więzadła utrzymujące ząb w zębodole. W efekcie dziąsła cofają się, a zęby mogą stać się ruchome. To cichy, podstępny proces, który często postępuje bezboleśnie, aż do momentu, gdy problem staje się bardzo poważny.Genetyka i anatomia: czy jesteś w grupie podwyższonego ryzyka?
Niektóre osoby są po prostu bardziej predysponowane do recesji dziąseł ze względu na swoje uwarunkowania genetyczne i anatomiczne. Oto kilka czynników, na które warto zwrócić uwagę:- Cienki biotyp dziąsła: To genetycznie uwarunkowana, cieńsza i delikatniejsza tkanka dziąsłowa, która jest bardziej podatna na urazy i recesje.
- Nieprawidłowe ustawienie zębów w łuku: Zęby stłoczone, wychylone lub obrócone mogą sprawiać, że dziąsło w ich okolicy jest cieńsze i bardziej narażone na cofanie.
- Zbyt cienka blaszka kostna pokrywająca korzeń: Jeśli kość otaczająca korzeń zęba jest cienka, dziąsło ma mniejsze wsparcie i łatwiej ulega recesji.
- Nieprawidłowe przyczepy wędzidełek warg: Zbyt wysoko lub zbyt nisko położone wędzidełka mogą "ciągnąć" dziąsło, powodując jego cofanie, zwłaszcza w okolicy siekaczy.
Bruksizm i wady zgryzu: jak nieświadome nawyki wpływają na zdrowie dziąseł
Parafunkcje, takie jak bruksizm (nieświadome zgrzytanie zębami) czy silne zaciskanie zębów, wywierają nadmierne siły na zęby i otaczające je tkanki. Te chroniczne przeciążenia mogą prowadzić do mikrourazów przyzębia i w konsekwencji do recesji dziąseł. Podobnie, nieleczone wady zgryzu, które powodują nieprawidłowe rozłożenie sił żucia, również mogą przyczyniać się do cofania się dziąseł w miejscach nadmiernego obciążenia.
Aparat ortodontyczny, kolczyki, źle dopasowane korony: kiedy leczenie i styl życia szkodzą?
Niestety, czasami czynniki, które mają poprawić nasz wygląd lub zdrowie, mogą paradoksalnie przyczynić się do recesji. Mam tu na myśli czynniki jatrogenne (wynikające z leczenia) oraz urazy:
- Niewłaściwie wykonane wypełnienia lub niedopasowane korony protetyczne: Mogą drażnić dziąsło, prowadząc do jego stanu zapalnego i cofania.
- Piercing w jamie ustnej: Kolczyki w wardze lub języku mogą mechanicznie ocierać o dziąsła, powodując ich uszkodzenie i recesję.
- Leczenie ortodontyczne: W niektórych przypadkach, zwłaszcza przy nieprawidłowym planowaniu lub zbyt szybkim przesuwaniu zębów, aparaty ortodontyczne mogą być czynnikiem ryzyka. Dlatego tak ważny jest wybór doświadczonego ortodonty.
Jak zatrzymać recesję dziąseł? Przewodnik po skutecznych metodach leczenia
Kiedy już zdiagnozujemy recesję dziąseł, kluczowe jest podjęcie odpowiednich kroków. Na szczęście współczesna stomatologia oferuje wiele skutecznych metod leczenia, które mogą zatrzymać postęp choroby, a nawet przywrócić utracone tkanki.
Pierwszy krok: leczenie zachowawcze, czyli co dentysta może zrobić bez skalpela
Zawsze zaczynamy od eliminacji przyczyny recesji. To podstawa i bez tego żadne dalsze leczenie nie przyniesie trwałych rezultatów. Leczenie niechirurgiczne, czyli zachowawcze, obejmuje:
- Profesjonalna higienizacja jamy ustnej: To podstawa. Skaling (usunięcie kamienia nazębnego), piaskowanie (usunięcie osadów i przebarwień) oraz polishing (polerowanie zębów) mają na celu usunięcie płytki bakteryjnej i kamienia, które są głównymi przyczynami stanów zapalnych.
- Kiretaż (skaling głęboki / root planing): Jeśli kamień nazębny i płytka bakteryjna zalegają pod dziąsłem, konieczne jest wykonanie kiretażu. To zabieg polegający na dokładnym oczyszczeniu powierzchni korzeni zębów z toksyn i bakterii, co sprzyja regeneracji tkanek.
- Instruktaż prawidłowej higieny jamy ustnej: Niezwykle ważny element! Stomatolog lub higienistka stomatologiczna pokaże Ci, jak prawidłowo szczotkować zęby (np. techniką wymiatającą), jak używać nici dentystycznej, irygatora i szczoteczek międzyzębowych. Często konieczna jest zmiana szczoteczki na miękką.
- Zmiana nawyków pacjenta: Obejmuje to eliminację agresywnego szczotkowania, leczenie bruksizmu (np. szyną relaksacyjną) oraz korektę innych czynników ryzyka, takich jak piercing.
Leczenie chirurgiczne: kiedy jest konieczne i na czym polega?
Gdy recesja jest zaawansowana, a leczenie zachowawcze nie wystarcza, aby pokryć odsłonięte korzenie i poprawić estetykę, konieczne staje się leczenie chirurgiczne. Nazywamy je plastyką śluzówkowo-dziąsłową. Jego głównym celem jest pokrycie odsłoniętych powierzchni korzeni, co nie tylko poprawia estetykę, ale przede wszystkim zmniejsza nadwrażliwość i chroni ząb przed dalszymi uszkodzeniami.
Przeszczep dziąsła z podniebienia: złoty standard w odbudowie tkanki
Jedną z najskuteczniejszych i najczęściej stosowanych metod chirurgicznych jest przeszczep łącznotkankowy z podniebienia. To, co nazywamy "złotym standardem", polega na pobraniu niewielkiego fragmentu tkanki łącznej (podnabłonkowej) z podniebienia pacjenta, a następnie przeszczepieniu go w miejsce recesji. Tkanka ta integruje się z istniejącym dziąsłem, tworząc nową, stabilną warstwę, która pokrywa odsłonięty korzeń. Zabieg jest wykonywany w znieczuleniu miejscowym i choć brzmi inwazyjnie, zazwyczaj jest dobrze tolerowany przez pacjentów.
Nowoczesne alternatywy: biomateriały i sterowana regeneracja tkanek
W ostatnich latach pojawiły się również nowoczesne alternatywy dla przeszczepu z podniebienia, które eliminują konieczność pobierania tkanki z innego miejsca w jamie ustnej. Należą do nich:
- Zastosowanie błon kolagenowych: Specjalne membrany kolagenowe są umieszczane nad odsłoniętym korzeniem, tworząc barierę, która sprzyja regeneracji własnych tkanek dziąsła.
- Białka matrycy szkliwnej (Emdogain): Preparaty zawierające białka matrycy szkliwnej, które naturalnie występują podczas rozwoju zęba, są aplikowane na powierzchnię korzenia. Stymulują one komórki do naturalnej regeneracji tkanek przyzębia, w tym kości i dziąsła.
Wybór metody zawsze zależy od indywidualnej sytuacji pacjenta, stopnia zaawansowania recesji oraz oceny specjalisty periodontologa.

Ile kosztuje leczenie recesji dziąseł w Polsce? Koszty i refundacja NFZ
Zawsze rozumiem, że kwestia kosztów jest dla pacjentów bardzo ważna. Leczenie recesji dziąseł, zwłaszcza to chirurgiczne, może być inwestycją, dlatego warto poznać orientacyjne ceny i możliwości.
Cennik zabiegów: od konsultacji po chirurgiczne pokrycie recesji
Poniżej przedstawiam szacunkowe koszty poszczególnych zabiegów w Polsce. Pamiętaj, że są to ceny orientacyjne i mogą różnić się w zależności od kliniki, miasta oraz doświadczenia specjalisty:
| Usługa | Szacunkowy koszt |
|---|---|
| Konsultacja periodontologiczna | 200 - 350 zł |
| Pokrycie recesji jednego zęba (z przeszczepem) | 1800 - 3500 zł |
| Pokrycie każdego kolejnego zęba podczas jednego zabiegu | 800 - 1500 zł |
| Dodatkowy koszt zastosowania biomateriału (np. błony kolagenowej) | 800 - 2000 zł |
| Profesjonalna higienizacja (skaling, piaskowanie) | 250 - 450 zł |
Czy można liczyć na wsparcie NFZ? Fakty i mity o refundacji
Niestety, muszę rozwiać wszelkie wątpliwości: leczenie chirurgiczne recesji dziąseł nie jest refundowane przez Narodowy Fundusz Zdrowia (NFZ). Procedury te są traktowane jako zabiegi o wysokiej estetyce i nie znajdują się w koszyku świadczeń gwarantowanych. Oznacza to, że pacjent musi pokryć koszty leczenia z własnej kieszeni. Warto jednak pamiętać, że profesjonalna higienizacja, która jest kluczowa w profilaktyce i początkowym leczeniu, bywa częściowo refundowana w ramach podstawowej opieki stomatologicznej.
Od czego zależy ostateczny koszt leczenia? Analiza kluczowych czynników
Ostateczny koszt leczenia recesji dziąseł może być zróżnicowany i zależy od kilku kluczowych czynników:
- Liczba zębów wymagających leczenia: Im więcej zębów dotkniętych recesją, tym wyższy będzie całkowity koszt.
- Wybrana metoda leczenia: Przeszczep dziąsła z podniebienia może mieć inną cenę niż zastosowanie biomateriałów.
- Renoma kliniki i lokalizacja: Ceny w dużych miastach i renomowanych klinikach specjalistycznych mogą być wyższe.
- Doświadczenie specjalisty: Wysoko wykwalifikowani periodontolodzy z dużym doświadczeniem mogą mieć wyższe stawki.
- Konieczność dodatkowych zabiegów: Niekiedy przed leczeniem recesji konieczne jest wyleczenie stanów zapalnych, korekta wad zgryzu czy usunięcie kamienia, co również generuje dodatkowe koszty.
Lepiej zapobiegać niż leczyć: Twoja strategia ochrony dziąseł
Jako specjalista zawsze powtarzam, że profilaktyka jest najlepszym i najtańszym sposobem na utrzymanie zdrowych dziąseł. Wiele zależy od naszych codziennych nawyków i świadomości.
Wybór idealnej szczoteczki i pasty: co naprawdę ma znaczenie?
Podstawą profilaktyki recesji dziąseł jest odpowiedni dobór szczoteczki i pasty do zębów. Zapomnij o twardych szczoteczkach! Zawsze rekomenduję wybór szczoteczki z miękkim włosiem (soft lub ultra soft), która skutecznie usunie płytkę nazębną, nie podrażniając przy tym delikatnych dziąseł. Jeśli chodzi o pastę, postaw na te o delikatnym składzie, najlepiej z fluorem, ale bez agresywnych składników ściernych. Unikaj past wybielających o wysokim współczynniku ścieralności (RDA), jeśli masz skłonność do recesji, ponieważ mogą one dodatkowo uszkadzać odsłonięte szyjki zębowe.
Krok po kroku: poprawna technika mycia zębów, która chroni dziąsła
Nawet najlepsza szczoteczka nie pomoże, jeśli technika mycia jest nieprawidłowa. Oto, jak prawidłowo szczotkować zęby, aby chronić dziąsła:
- Technika wymiatająca (roll): To najczęściej rekomendowana technika. Ustaw szczoteczkę pod kątem 45 stopni do powierzchni zęba, tak aby włosie częściowo znajdowało się na dziąśle, a częściowo na zębie. Wykonuj delikatne ruchy wymiatające od dziąsła w kierunku korony zęba.
- Delikatność przede wszystkim: Nie szoruj zębów zbyt mocno! Wyobraź sobie, że masujesz dziąsła, a nie zdzierasz z nich tkankę.
- Dokładne czyszczenie przestrzeni międzyzębowych: To absolutny must-have. Używaj nici dentystycznej, irygatora lub szczoteczek międzyzębowych codziennie, aby usunąć resztki jedzenia i płytkę bakteryjną z miejsc, do których szczoteczka nie dociera. To właśnie tam najczęściej zaczynają się problemy z dziąsłami.
- Czas mycia: Myj zęby przez co najmniej dwie minuty, dwa razy dziennie.
Rola diety i nawyków w utrzymaniu zdrowego uśmiechu
Zdrowa dieta, bogata w witaminy i minerały, wspiera ogólny stan zdrowia, w tym zdrowie dziąseł. Unikaj nadmiernego spożycia cukrów i kwasów, które sprzyjają rozwojowi próchnicy i erozji szkliwa. Rzucenie palenia tytoniu jest jedną z najważniejszych rzeczy, jakie możesz zrobić dla swoich dziąseł palenie znacząco zwiększa ryzyko chorób przyzębia i utrudnia gojenie. Niezwykle ważne jest również leczenie wad zgryzu oraz bruksizmu. Jeśli zgrzytasz zębami, rozważ stosowanie szyny relaksacyjnej na noc, która ochroni Twoje zęby i dziąsła przed nadmiernymi przeciążeniami.
Recesja dziąseł pod kontrolą: kluczowe informacje
Zrozumienie recesji dziąseł i podjęcie odpowiednich działań to klucz do zachowania zdrowego i pięknego uśmiechu. Pamiętaj, że nie jesteś sam z tym problemem współczesna stomatologia oferuje wiele skutecznych rozwiązań.
Kluczowe wnioski: jak żyć z recesją i nie dopuścić do jej rozwoju
- Wczesna diagnoza to podstawa: Nie ignoruj pierwszych sygnałów, takich jak nadwrażliwość czy wizualne wydłużenie zębów. Im wcześniej zareagujesz, tym lepsze będą rokowania.
- Prawidłowa higiena jest najważniejsza: Używaj miękkiej szczoteczki, stosuj delikatną technikę wymiatającą i nie zapominaj o czyszczeniu przestrzeni międzyzębowych. To Twoja codzienna tarcza ochronna.
- Eliminacja przyczyn: Niezależnie od metody leczenia, kluczowe jest usunięcie czynników, które doprowadziły do recesji czy to agresywnego szczotkowania, bruksizmu, czy zaniedbań higienicznych.
- Specjalistyczna pomoc: Nie bój się szukać pomocy u periodontologa. To specjalista, który dobierze najlepszą dla Ciebie metodę leczenia, od zachowawczej po chirurgiczną, i pomoże Ci odzyskać zdrowie dziąseł.
Przeczytaj również: Ząbkowanie: Dziąsła, objawy, ulga. Ekspert radzi, jak pomóc maluchowi
