Ile zębów ma człowiek? To zależy od wieku i obecności ósemek.
- Dzieci posiadają 20 zębów mlecznych.
- Dorośli mają zazwyczaj od 28 do 32 zębów stałych.
- Liczba zębów stałych zależy od wyrznięcia się zębów mądrości (ósemek).
- Zęby mleczne, choć tymczasowe, są kluczowe dla rozwoju mowy i prawidłowego zgryzu.
- Wymiana zębów mlecznych na stałe rozpoczyna się około 6. roku życia.
- Każdy typ zęba (siekacze, kły, przedtrzonowce, trzonowce) pełni inną funkcję w procesie trawienia.

Ile zębów ma człowiek? To bardziej złożone niż myślisz
Liczba zębów w ludzkiej jamie ustnej nie jest stała i zmienia się w zależności od wieku, a także od indywidualnych uwarunkowań genetycznych. To sprawia, że odpowiedź na pytanie o dokładną liczbę zębów jest bardziej złożona, niż mogłoby się wydawać, i wymaga rozróżnienia między uzębieniem dziecięcym a dorosłym, a także uwzględnienia obecności zębów mądrości.
Uśmiech dziecka, czyli świat zębów mlecznych
Małe dzieci posiadają komplet 20 zębów mlecznych 10 w szczęce i 10 w żuchwie. W ich skład wchodzi 8 siekaczy, 4 kły oraz 8 zębów trzonowych. Co ciekawe, w uzębieniu mlecznym nie występują zęby przedtrzonowe, co jest jedną z kluczowych różnic w porównaniu do uzębienia stałego.
Dorosłość w jamie ustnej uzębienie stałe
U dorosłego człowieka liczba zębów stałych waha się zazwyczaj od 28 do 32. Pełny zestaw 32 zębów stałych obejmuje wszystkie zęby mądrości (ósemki). Jednakże, jeśli zęby mądrości nie wyrzynają się lub zostają usunięte, standardem dla wielu osób jest posiadanie 28 zębów stałych.
Zęby mądrości: dlaczego liczba 32 nie jest standardem?
Zęby mądrości, potocznie nazywane ósemkami, są główną przyczyną zmienności w liczbie zębów stałych u dorosłych. Wiele osób nigdy ich nie ma, u innych wyrzynają się tylko częściowo, a u jeszcze innych są usuwane ze względów ortodontycznych lub chirurgicznych. Z tego powodu posiadanie 28 zębów stałych jest bardzo powszechne i w pełni funkcjonalne.
Pierwszy uśmiech: wszystko o zębach mlecznych
Pierwsze zęby to prawdziwy kamień milowy w rozwoju każdego dziecka. Są one niezwykle ważne, choć często niedoceniane. Przyjrzyjmy się bliżej ich roli i specyfice.
Kiedy pojawia się pierwszy ząbek? Kalendarz ząbkowania
Proces ząbkowania to ekscytujący, choć czasem bolesny okres dla maluchów i ich rodziców. Zazwyczaj rozpoczyna się on około 6. miesiąca życia, a pełny komplet 20 zębów mlecznych dziecko powinno mieć w wieku około 2,5-3 lat. Oczywiście, jest to jedynie ogólny harmonogram, a każde dziecko rozwija się w swoim własnym tempie.
Ile dokładnie jest zębów mlecznych i jakie pełnią role?
Jak już wspomniałam, dzieci mają 20 zębów mlecznych, w tym 8 siekaczy, 4 kły i 8 zębów trzonowych. Pełnią one kluczowe role w życiu dziecka: umożliwiają gryzienie i żucie pokarmu, co jest niezbędne dla prawidłowego trawienia. Są również fundamentalne dla prawidłowego rozwoju mowy i artykulacji dźwięków. Co więcej, zęby mleczne działają jak naturalne "szablony", utrzymując przestrzeń dla zębów stałych, które dopiero się rozwijają. Warto również zwrócić uwagę na różnice między zębami mlecznymi a stałymi:
- Są mniejsze.
- Mają jaśniejszy kolor (bardziej biało-niebieski).
- Posiadają cieńsze szkliwo i słabszą mineralizację, co czyni je bardziej podatnymi na próchnicę.
- Mają krótsze i cieńsze korzenie.
Dlaczego dbanie o "przejściowe" zęby jest kluczowe dla przyszłego zgryzu?
Mimo że zęby mleczne są tymczasowe i w końcu wypadną, ich zdrowie jest absolutnie kluczowe dla przyszłego zgryzu i ogólnego zdrowia jamy ustnej dziecka. Zaniedbania w higienie zębów mlecznych mogą prowadzić do próchnicy, która nie tylko jest bolesna, ale może również uszkodzić zawiązki zębów stałych. Co więcej, przedwczesna utrata zębów mlecznych może spowodować przesunięcie się pozostałych zębów, co z kolei prowadzi do braku miejsca dla zębów stałych i w konsekwencji do problemów ze zgryzem w przyszłości. Dlatego zawsze podkreślam, jak ważne jest regularne szczotkowanie i wizyty u dentysty już od najmłodszych lat.
Zmiana w jamie ustnej: od mleczaków do zębów stałych
Okres wymiany uzębienia to naturalny i ważny etap w rozwoju każdego człowieka. To czas, kiedy delikatne mleczaki ustępują miejsca mocniejszym zębom stałym, przygotowując jamę ustną na dorosłe życie.
Kiedy zaczyna się wielka wymiana? Przełomowy wiek 6 lat
Wymiana uzębienia z mlecznego na stałe to proces, który rozpoczyna się zazwyczaj około 6. roku życia dziecka. Jest to moment, kiedy wielu rodziców zauważa pierwszy wypadający ząbek. Cały ten proces trwa dość długo, bo aż do około 12-13. roku życia, kiedy to większość zębów mlecznych zostaje zastąpiona przez stałe odpowiedniki.
Jak przebiega proces wypadania mleczaków i wzrostu stałych zębów?
Wypadanie zębów mlecznych to naturalny mechanizm, w którym korzenie mleczaków stopniowo ulegają resorpcji (rozpuszczeniu) pod wpływem rosnących pod nimi zębów stałych. Kiedy korzeń mleczaka jest już wystarczająco krótki, ząb staje się luźny i w końcu wypada, robiąc miejsce dla zęba stałego. Następnie ząb stały wyrzyna się, zajmując swoje docelowe miejsce w łuku zębowym. To fascynujący i precyzyjny proces, który natura doskonale zaplanowała.
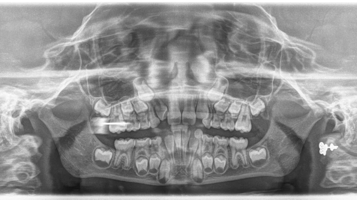
Uzębienie mieszane co to oznacza dla Twojego dziecka?
Okres, w którym w jamie ustnej dziecka obecne są zarówno zęby mleczne, jak i stałe, nazywamy uzębieniem mieszanym. To etap przejściowy, który jest niezwykle ważny dla prawidłowego rozwoju zgryzu. W tym czasie stomatolog lub ortodonta może ocenić, czy zęby stałe wyrzynają się prawidłowo i czy jest wystarczająco miejsca w łuku zębowym. Regularne kontrole są kluczowe, aby w porę wychwycić ewentualne nieprawidłowości i zapewnić dziecku zdrowy i piękny uśmiech w przyszłości.

Kompletne uzębienie dorosłego: poznaj swoich 28 (lub 32) pomocników
Uzębienie stałe to nasz niezawodny zespół, który służy nam przez całe życie. Każdy ząb ma swoje unikalne zadanie, a ich współpraca jest kluczowa dla zdrowia i komfortu.
Podział zadań w jamie ustnej: poznaj cztery typy zębów
Dorosłe uzębienie składa się z czterech głównych typów zębów, z których każdy pełni specyficzną funkcję w procesie trawienia i mówienia. Są to siekacze, kły, przedtrzonowce i trzonowce. Ich zróżnicowanie pozwala nam na efektywne przetwarzanie różnorodnych pokarmów, od odgryzania, przez rozrywanie, aż po dokładne rozcieranie.
Siekacze i kły: specjaliści od odgryzania i rozrywania
Na przodzie naszej jamy ustnej znajdują się siekacze te płaskie, ostre zęby, które służą przede wszystkim do odgryzania kęsów pokarmu. Są jak nożyczki, precyzyjnie dzielące jedzenie na mniejsze części. Tuż obok nich mamy kły zęby o stożkowatym kształcie, idealnie przystosowane do rozrywania i przytrzymywania pokarmu. Ich mocna budowa pozwala nam radzić sobie z twardszymi kawałkami jedzenia.
Przedtrzonowce i trzonowce: potężna siła żucia i rozdrabniania
Przechodząc do tylnej części jamy ustnej, napotykamy przedtrzonowce. Te zęby, z dwoma guzkami na powierzchni żującej, odpowiadają za wstępne miażdżenie i rozdrabnianie pokarmu, przygotowując go do dalszej obróbki. Za nimi znajdują się trzonowce największe i najmocniejsze zęby, posiadające szerokie powierzchnie żujące z licznymi guzkami. Ich głównym zadaniem jest dokładne rozcieranie i mielenie pokarmu, co jest kluczowe dla efektywnego trawienia.
Ósemki, czyli zęby mądrości: czy każdy je ma i czy są potrzebne?
Zęby mądrości, czyli ósemki, to ostatnie zęby trzonowe, które wyrzynają się najczęściej między 17. a 25. rokiem życia, choć zdarza się, że pojawiają się później lub wcale. Są one często źródłem problemów, ponieważ w ewolucji ludzka szczęka stała się mniejsza i często brakuje miejsca w łuku zębowym na ich prawidłowe wyrznięcie. Może to prowadzić do stłoczeń, stanów zapalnych, a nawet uszkodzenia sąsiednich zębów. Wiele osób ich nie ma, a jeszcze więcej decyduje się na ich usunięcie, jeśli sprawiają ból lub komplikacje. Wbrew nazwie, ich obecność nie świadczy o większej mądrości, a ich brak nie wpływa negatywnie na funkcjonalność uzębienia.

Co, jeśli natura postanowiła inaczej? Nietypowa liczba zębów
Chociaż istnieją ogólne zasady dotyczące liczby zębów, natura bywa nieprzewidywalna. Czasami zdarzają się anomalie, które odbiegają od standardowego schematu. Warto wiedzieć, co oznaczają i jak sobie z nimi radzić.
Hipodoncja: gdy w uzębieniu pojawiają się braki
Hipodoncja to anomalia, która polega na wrodzonym braku zawiązków jednego lub więcej zębów. Oznacza to, że ząb po prostu nigdy się nie wykształci. Może dotyczyć zarówno zębów mlecznych, jak i stałych, choć częściej obserwuje się ją w uzębieniu stałym. Najczęściej brakuje siekaczy bocznych, drugich przedtrzonowców lub zębów mądrości. W takich przypadkach konieczne jest leczenie ortodontyczne lub protetyczne, aby uzupełnić braki i przywrócić prawidłową funkcję oraz estetykę uśmiechu.Hiperdoncja: kiedy zębów jest więcej niż powinno
Przeciwieństwem hipodoncji jest hiperdoncja, czyli obecność zębów nadliczbowych. Są to zęby, które wyrzynają się poza standardowym kompletem, na przykład dodatkowe siekacze (tzw. "dziewiątki") czy zęby trzonowe. Zęby nadliczbowe mogą powodować stłoczenia, zaburzenia zgryzu, problemy z higieną, a nawet utrudniać wyrzynanie się prawidłowych zębów. Zazwyczaj wymagają one usunięcia, aby zapobiec dalszym komplikacjom.
Jakie kroki podjąć, gdy podejrzewasz u siebie anomalię zębową?
Jeśli podejrzewasz u siebie lub u swojego dziecka nietypową liczbę zębów czy to braki, czy zęby nadliczbowe koniecznie skonsultuj się ze stomatologiem lub ortodontą. Tylko profesjonalna diagnoza, często wsparta badaniem rentgenowskim, pozwoli na dokładne określenie problemu i opracowanie odpowiedniego planu leczenia. Wczesna interwencja jest kluczowa, aby zapobiec poważniejszym problemom w przyszłości i zapewnić zdrowy, funkcjonalny uśmiech.
Dlaczego pełne uzębienie jest tak ważne dla zdrowia i wyglądu?
Zdrowe i kompletne uzębienie to znacznie więcej niż tylko estetyka. To fundament naszego zdrowia, prawidłowej komunikacji i pewności siebie. Pozwól, że wyjaśnię, dlaczego tak bardzo o nie dbam i dlaczego Ty również powinieneś.
Zęby jako fundament prawidłowego trawienia
Zęby są pierwszym i niezwykle ważnym etapem procesu trawienia. Dzięki nim możemy efektywnie rozdrabniać pokarm na mniejsze kawałki, co ułatwia jego dalsze przetwarzanie w żołądku i jelitach. Niewystarczająco pogryziony pokarm może obciążać układ pokarmowy, prowadząc do problemów z trawieniem, wzdęć czy niedoborów składników odżywczych. Dlatego pełne i zdrowe uzębienie jest fundamentem ogólnego zdrowia układu pokarmowego.
Rola zębów w poprawnej wymowie i artykulacji dźwięków
Prawidłowe uzębienie jest absolutnie niezbędne do poprawnej artykulacji dźwięków i klarownej wymowy. Zęby, język i wargi współpracują ze sobą, tworząc skomplikowane ruchy, które pozwalają nam mówić. Braki w uzębieniu, szczególnie w przedniej części jamy ustnej, mogą prowadzić do seplenienia, niewyraźnej mowy i innych wad wymowy, co może wpływać na komunikację i pewność siebie.
Przeczytaj również: Szybka ulga w bólu zęba: Akupresura krok po kroku
Jak zęby wpływają na kształt twarzy i pewność siebie?
Zęby odgrywają kluczową rolę w podtrzymywaniu struktury kości twarzy, wpływając na jej kształt i estetykę. Braki w uzębieniu, zwłaszcza liczne, mogą prowadzić do zapadania się policzków, zmian w rysach twarzy i przedwczesnego starzenia się. Co więcej, zdrowy, kompletny i estetyczny uśmiech ma ogromny wpływ na naszą pewność siebie, komfort społeczny i sposób, w jaki jesteśmy postrzegani przez innych. To inwestycja w nasze samopoczucie i jakość życia.
