Rak płaskonabłonkowy jamy ustnej to podstępny przeciwnik, który, niestety, często jest diagnozowany zbyt późno. Moim celem w tym artykule jest wyposażenie Państwa w niezbędną wiedzę, która pozwoli rozpoznać potencjalne sygnały alarmowe zarówno te wczesne, często mylące, jak i te bardziej zaawansowane. Zrozumienie, czym jest ten nowotwór, jakie są czynniki ryzyka i jak wygląda ścieżka diagnostyczna, może okazać się kluczowe dla szybkiego podjęcia działań. Pamiętajmy, że nasza czujność i świadomość to najlepsza profilaktyka, która może uratować życie.
Wczesne objawy raka płaskonabłonkowego jamy ustnej klucz do skutecznego leczenia
- Rak płaskonabłonkowy to ponad 90% nowotworów jamy ustnej, często diagnozowany późno (60-70% przypadków w stadiach III i IV).
- Wczesne wykrycie (stadium I i II) zwiększa 5-letnie przeżycie do 80-90%.
- Niepokojące sygnały to białe lub czerwone plamy (leukoplakia, erytroplakia), niegojące się owrzodzenia trwające dłużej niż 2-3 tygodnie.
- Guzki, zgrubienia, drętwienie języka/wargi oraz problemy z dopasowaniem protezy to również wczesne objawy.
- Główne czynniki ryzyka to palenie tytoniu, nadużywanie alkoholu (szczególnie w połączeniu) oraz zakażenie wirusem HPV.
- W przypadku podejrzenia objawów, kluczowa jest szybka konsultacja z lekarzem (stomatolog, laryngolog, lekarz rodzinny) i wykonanie biopsji.
Definicja: Podstępny nowotwór błony śluzowej
Rak płaskonabłonkowy jamy ustnej to złośliwy nowotwór, który rozwija się z komórek nabłonka płaskiego, czyli warstwy komórek wyściełających jamę ustną. Stanowi on ponad 90% wszystkich nowotworów złośliwych w tej lokalizacji, co czyni go dominującym typem. Jego podstępność polega na tym, że we wczesnych stadiach często nie daje wyraźnych objawów bólowych, co sprawia, że pacjenci zgłaszają się do lekarza, gdy choroba jest już zaawansowana.
Niepokojące statystyki w Polsce: Dlaczego ten rak jest diagnozowany tak późno?
Statystyki dotyczące raka jamy ustnej w Polsce są niestety alarmujące i jasno pokazują, jak ważna jest wczesna diagnostyka. Nowotwory głowy i szyi, do których zalicza się rak jamy ustnej, stanowią około 5% wszystkich nowotworów złośliwych. Obserwujemy, że zachorowalność jest 2-4 razy wyższa u mężczyzn niż u kobiet, choć z niepokojem odnotowuję wzrost liczby zachorowań wśród kobiet. Szczyt zachorowań przypada na wiek 55-65 lat u mężczyzn i 50-75 lat u kobiet. Najbardziej martwiącym faktem jest to, że około 60-70% przypadków w Polsce diagnozowanych jest w wysokim stopniu zaawansowania klinicznego (stadium III i IV). To znacząco pogarsza rokowania. Dla porównania, 5-letnie przeżycie w przypadku wczesnego wykrycia (stadium I i II) wynosi nawet 80-90%, podczas gdy ogólny wskaźnik 5-letnich przeżyć dla wszystkich stadiów zaawansowania oscyluje w granicach 50-60%. Ta różnica jest ogromna i podkreśla, jak kluczowe jest zwracanie uwagi na pierwsze, często subtelne sygnały wysyłane przez nasz organizm.Gdzie najczęściej się lokalizuje? Język, dno jamy ustnej i inne newralgiczne miejsca
- Boczna powierzchnia języka
- Dno jamy ustnej
- Warga dolna (szczególnie u osób narażonych na słońce)
- Błona śluzowa policzków
- Podniebienie miękkie i łuki podniebienno-gardłowe
- Dziąsła

Pierwsze, często mylące objawy raka jamy ustnej na co zwrócić uwagę?
Wczesne objawy raka jamy ustnej są często bagatelizowane lub mylone z innymi, mniej groźnymi dolegliwościami, takimi jak afty czy podrażnienia. Moje doświadczenie pokazuje, że to właśnie czujność i świadomość tych subtelnych sygnałów są kluczem do wczesnego wykrycia i skutecznego leczenia. Dlatego tak ważne jest, aby regularnie oglądać swoją jamę ustną i reagować na wszelkie niepokojące zmiany.
Zmiany koloru błony śluzowej: Białe i czerwone plamy, których nie wolno ignorować
Jednymi z najbardziej charakterystycznych wczesnych objawów są zmiany koloru błony śluzowej, których nie da się zetrzeć. Mówimy tu o białych lub szarych plamach, nazywanych leukoplakią, oraz o czerwonych plamach, czyli erytroplakii. Leukoplakia to zgrubienie błony śluzowej, które może być płaskie lub lekko wypukłe. Erytroplakia natomiast to wyraźnie czerwona, często aksamitna w dotyku zmiana. Chociaż obie te zmiany są stanami przedrakowymi, to właśnie erytroplakia ma znacznie wyższy potencjał zezłośliwienia i zawsze powinna być traktowana z najwyższą ostrożnością. Jeśli zauważą Państwo takie plamy, które utrzymują się dłużej niż kilka dni, konieczna jest pilna konsultacja ze specjalistą.
Niegojąca się ranka lub owrzodzenie: Kiedy afta powinna wzbudzić Twój niepokój?
Każdy z nas doświadczył kiedyś afty czy drobnego skaleczenia w jamie ustnej. Zazwyczaj takie zmiany goją się w ciągu kilku dni. Jednak, jeśli zauważą Państwo niegojące się owrzodzenie, nadżerkę lub rankę, która nie znika w ciągu 2-3 tygodni, to jest to bardzo silny sygnał alarmowy. Szczególnie niepokojące są zmiany, które nie bolą, ponieważ brak bólu często usypia naszą czujność. Takie uporczywe owrzodzenia mogą być pierwszym objawem rozwijającego się nowotworu i wymagają natychmiastowej oceny lekarskiej.
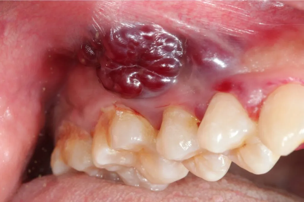
Guzki, zgrubienia i chropowate plamy: Co możesz wyczuć językiem lub palcem?
Warto regularnie badać jamę ustną nie tylko wzrokiem, ale i dotykiem. Wczesne stadium raka może objawiać się jako niewielkie zgrubienie, guzek lub stwardnienie, które można wyczuć językiem lub palcem. Takie zmiany mogą pojawić się w obrębie wargi, dziąsła, policzka lub języka. Czasem są to po prostu chropowate plamy, które różnią się w dotyku od otaczającej je gładkiej błony śluzowej. Jeśli wyczują Państwo jakąkolwiek nietypową masę lub zmianę w teksturze, która nie ustępuje, proszę nie zwlekać z wizytą u lekarza.
Inne wczesne sygnały alarmowe: Drętwienie, problemy z protezą i nietypowy posmak
- Drętwienie lub mrowienie języka, wargi lub brody, które nie ma wyraźnej przyczyny i utrzymuje się przez dłuższy czas.
- Problemy z dopasowaniem protezy zębowej, która wcześniej pasowała idealnie. Może to świadczyć o zmianach w kształcie dziąseł lub kości.
- Niewielkie, bezbolesne krwawienie z nieznanej przyczyny, np. podczas szczotkowania zębów, które nie jest związane z urazem.
- Uporczywy, nieprzyjemny posmak w ustach, który nie ustępuje po higienie jamy ustnej.
Zaawansowane objawy kiedy nowotwór staje się bardziej agresywny?
Niestety, w wielu przypadkach pacjenci zgłaszają się do lekarza dopiero wtedy, gdy nowotwór jest już w bardziej zaawansowanym stadium. Wówczas objawy stają się bardziej dokuczliwe i wyraźne, co z jednej strony ułatwia ich rozpoznanie, z drugiej jednak oznacza trudniejsze leczenie i gorsze rokowania. Moim zdaniem, świadomość tych zaawansowanych symptomów jest równie ważna, aby móc szybko zareagować, jeśli wczesne sygnały zostały przegapione.
Ból, który nie ustępuje: Kiedy dolegliwości promieniują do ucha i gardła?
W zaawansowanym stadium raka jamy ustnej ból staje się znacznie bardziej intensywny i uporczywy. Jest to ból, który nie ustępuje, nawet po zażyciu standardowych środków przeciwbólowych. Często promieniuje do innych obszarów możemy odczuwać ból gardła, a nawet ból promieniujący do ucha. Ten rodzaj bólu świadczy o tym, że nowotwór nacieka głębsze struktury lub nerwy. Jeśli doświadczają Państwo takiego przewlekłego bólu, który nie ma jasnej przyczyny i nie ustępuje, to jest to bardzo poważny sygnał.
Widoczne zmiany na szyi: Co oznacza twardy, niebolesny guzek pod żuchwą?
Jednym z najbardziej niepokojących objawów zaawansowanego raka jamy ustnej jest pojawienie się wyraźnie wyczuwalnego, twardego i często nieprzesuwalnego guza na szyi, najczęściej pod żuchwą. Taki guzek jest zazwyczaj powiększonym węzłem chłonnym, do którego doszło do przerzutów komórek nowotworowych. Fakt, że często jest on niebolesny, może niestety opóźniać zgłoszenie się do lekarza. Regularne samobadanie szyi i okolic żuchwy jest niezwykle ważne, aby szybko wykryć takie zmiany.
Problemy z codziennymi czynnościami: Trudności w mówieniu, połykaniu i otwieraniu ust
- Trudności i ból podczas połykania (dysfagia) lub żucia. Nowotwór może utrudniać swobodne przesuwanie pokarmu.
- Ograniczenie ruchomości języka lub żuchwy (szczękościsk). Może to prowadzić do problemów z mówieniem i jedzeniem.
- Zmiana barwy głosu lub niewyraźna mowa (bełkotanie). Zmiany w jamie ustnej mogą wpływać na artykulację.
- Trudności w otwieraniu ust, co utrudnia jedzenie i higienę.
Rozchwiane zęby i krwawienie: Symptomy, które często mylone są z paradontozą
W zaawansowanym stadium raka jamy ustnej, szczególnie gdy nowotwór nacieka kość, może dojść do rozchwiania zębów, które wcześniej były stabilne. Pacjenci często mylą ten objaw z zaawansowaną paradontozą, co niestety opóźnia właściwą diagnozę. Dodatkowo, może pojawić się nieprzyjemny zapach z ust (halitoza), spowodowany rozpadem tkanek nowotworowych. Krwawienie z jamy ustnej, które staje się częstsze i obfitsze, również jest sygnałem, którego nie wolno ignorować.
Utrata wagi i osłabienie: Ogólnoustrojowe objawy, które świadczą o rozwoju choroby
Gdy nowotwór jest już w zaawansowanym stadium, może dawać objawy ogólnoustrojowe. Należą do nich niezamierzona utrata masy ciała, czyli chudnięcie bez wyraźnej zmiany diety czy aktywności fizycznej, oraz ogólne osłabienie organizmu, zmęczenie i brak energii. Te symptomy świadczą o tym, że choroba obciąża cały organizm i wymaga natychmiastowej interwencji medycznej. Jeśli zauważą Państwo takie objawy, zwłaszcza w połączeniu z innymi niepokojącymi sygnałami z jamy ustnej, proszę jak najszybciej skonsultować się z lekarzem.
Kto jest w grupie podwyższonego ryzyka? Poznaj główne przyczyny
Zrozumienie czynników ryzyka jest kluczowe dla profilaktyki raka płaskonabłonkowego jamy ustnej. Wiele z nich jest modyfikowalnych, co oznacza, że mamy wpływ na ich eliminację lub ograniczenie. Moim zdaniem, świadomość tych zagrożeń to pierwszy krok do ochrony własnego zdrowia.
Zabójczy duet: Jak tytoń i alkohol wielokrotnie zwiększają ryzyko zachorowania?
Nie ma wątpliwości, że palenie tytoniu (we wszystkich formach papierosy, cygara, fajka, tytoń bezdymny) oraz nadużywanie alkoholu, zwłaszcza wysokoprocentowego, to najsilniejsze czynniki ryzyka raka jamy ustnej. Ich działanie jest synergistyczne, co oznacza, że połączenie palenia i picia alkoholu może zwiększyć ryzyko zachorowania nawet 30-krotnie! Substancje chemiczne zawarte w dymie tytoniowym i alkohol uszkadzają komórki błony śluzowej, prowadząc do mutacji i transformacji nowotworowej. To jeden z tych przypadków, gdzie rezygnacja z nałogów ma ogromny wpływ na zmniejszenie ryzyka.
Rola wirusa HPV: Cichy wróg, szczególnie groźny dla młodszych osób
W ostatnich latach obserwujemy wzrost zachorowań na raka jamy ustnej u osób poniżej 50. roku życia, a główną przyczyną tego trendu jest zakażenie onkogennymi typami wirusa brodawczaka ludzkiego (HPV), przede wszystkim HPV-16. Wirus ten przenoszony jest drogą płciową i może prowadzić do rozwoju nowotworów w obrębie jamy ustnej i gardła. Szczepienia przeciwko HPV, dostępne dla młodych osób, stanowią skuteczną metodę profilaktyki i są niezwykle ważne w walce z tym cichym wrogiem.
Higiena i przewlekłe podrażnienia: Dlaczego ostre krawędzie zębów i źle dopasowane protezy są tak niebezpieczne?
- Zła higiena jamy ustnej sprzyja przewlekłym stanom zapalnym, które mogą być czynnikiem ryzyka.
- Przewlekłe mechaniczne drażnienie błony śluzowej przez ostre krawędzie zębów, niedopasowane protezy zębowe lub wypełnienia może prowadzić do powstania zmian, które z czasem mogą zezłośliwieć.
- Niedobory witamin i minerałów, szczególnie witamin A, C, E oraz żelaza i cynku, mogą osłabiać odporność błony śluzowej.
- Dieta uboga w warzywa i owoce, a bogata w przetworzone produkty, również jest uznawana za czynnik ryzyka.
Stany przedrakowe: Zmiany, które wymagają natychmiastowej kontroli
Istnieją pewne zmiany w jamie ustnej, które same w sobie nie są jeszcze rakiem, ale mają znacznie zwiększone ryzyko transformacji nowotworowej. Nazywamy je stanami przedrakowymi. Do najważniejszych należą wspomniane już leukoplakia i erytroplakia, a także liszaj płaski. Każda z tych zmian wymaga natychmiastowej kontroli lekarskiej i regularnego monitorowania. Moim zdaniem, traktowanie tych stanów z należytą powagą to jeden z najważniejszych elementów wczesnej profilaktyki raka jamy ustnej.
Podejrzewasz objawy? Ścieżka diagnostyczna krok po kroku
Jeśli zauważą Państwo u siebie jakiekolwiek niepokojące objawy, które opisałam, kluczowe jest szybkie działanie. Nie należy panikować, ale też nie wolno bagatelizować sygnałów wysyłanych przez organizm. Poniżej przedstawiam, jak wygląda typowa ścieżka diagnostyczna, która ma na celu potwierdzenie lub wykluczenie obecności nowotworu.
Pierwszy i najważniejszy krok: Do kogo się zgłosić stomatologa, laryngologa czy lekarza rodzinnego?
W przypadku podejrzenia objawów raka jamy ustnej, pierwszym i najważniejszym krokiem jest wizyta u specjalisty. Mogą Państwo zgłosić się do stomatologa, który podczas rutynowego badania może zauważyć niepokojące zmiany. Równie dobrze można udać się do lekarza rodzinnego, który po wstępnej ocenie skieruje Państwa do odpowiedniego specjalisty najczęściej laryngologa (otolaryngologa) lub chirurga szczękowo-twarzowego. Ci specjaliści mają największe doświadczenie w diagnostyce i leczeniu nowotworów głowy i szyi. Nie ma znaczenia, do kogo Państwo trafią najpierw, ważne, by zrobić to szybko.
Kluczowe badanie: Na czym polega biopsja i dlaczego jest niezbędna do postawienia diagnozy?
Absolutnie kluczowym badaniem do postawienia ostatecznej diagnozy raka płaskonabłonkowego jamy ustnej jest biopsja. Polega ona na pobraniu niewielkiego fragmentu zmienionej tkanki z podejrzanego miejsca. Materiał ten jest następnie wysyłany do badania histopatologicznego, gdzie patolog pod mikroskopem ocenia komórki pod kątem ich złośliwości. Tylko wynik biopsji może jednoznacznie potwierdzić lub wykluczyć obecność nowotworu. Bez tego badania żadna inna metoda nie jest w stanie postawić ostatecznej diagnozy.
Ocena zaawansowania: Jak badania obrazowe (TK, MRI) pomagają zaplanować skuteczne leczenie?
Po potwierdzeniu diagnozy raka, kolejnym etapem jest ocena zaawansowania choroby. W tym celu wykorzystuje się badania obrazowe, takie jak tomografia komputerowa (TK) i rezonans magnetyczny (MRI). Badania te pozwalają lekarzom dokładnie zobaczyć rozmiar guza, jego lokalizację, to, czy nacieka sąsiednie tkanki, a także czy doszło do przerzutów do węzłów chłonnych lub odległych narządów. Dzięki tym informacjom zespół medyczny może precyzyjnie zaplanować najbardziej skuteczne leczenie, które może obejmować chirurgię, radioterapię, chemioterapię lub terapie celowane.
Nie ignoruj objawów Twoja czujność to najlepsza profilaktyka
Podsumowując, chciałabym podkreślić, że w walce z rakiem płaskonabłonkowym jamy ustnej nasza własna czujność i regularna profilaktyka są absolutnie bezcenne. Wczesne wykrycie to szansa na pełne wyleczenie, dlatego tak ważne jest, aby nie ignorować żadnych niepokojących sygnałów. Pamiętajmy, że zdrowie jamy ustnej to integralna część ogólnego stanu zdrowia.
Jak przeprowadzić samobadanie jamy ustnej? Prosta instrukcja na każdy miesiąc
Regularne samobadanie jamy ustnej to prosta, ale niezwykle skuteczna metoda wczesnego wykrywania zmian. Proponuję wykonywać je raz w miesiącu, najlepiej w dobrze oświetlonym pomieszczeniu, przed lustrem. Oto prosta instrukcja:
- Dokładne umycie rąk.
- Oglądanie warg: Obejrzyj wargi z zewnątrz i od wewnątrz. Szukaj zmian koloru, owrzodzeń, guzków czy pęknięć.
- Badanie policzków: Wsuń palec wskazujący do ust i naciągnij policzek. Obejrzyj błonę śluzową, szukając białych, czerwonych plam, guzków lub zgrubień. Powtórz po drugiej stronie.
- Badanie języka: Wysuń język i obejrzyj jego górną i dolną powierzchnię oraz boki. Zwróć uwagę na kolor, kształt, obecność owrzodzeń, guzków czy zmian w teksturze. Użyj gazika, aby delikatnie przytrzymać język i obejrzeć jego boki.
- Oglądanie podniebienia i dna jamy ustnej: Odchyl głowę do tyłu i obejrzyj podniebienie. Następnie unieś język do góry, aby dokładnie obejrzeć dno jamy ustnej to jedno z częstszych miejsc występowania raka. Szukaj wszelkich zmian.
- Badanie dziąseł: Obejrzyj dziąsła wokół zębów, szukając obrzęków, zaczerwienień, krwawień czy innych nieprawidłowości.
- Badanie szyi: Delikatnie obmacaj szyję i okolice pod żuchwą, szukając powiększonych, twardych węzłów chłonnych lub guzków.
Jeśli podczas samobadania zauważą Państwo jakąkolwiek niepokojącą zmianę, która utrzymuje się dłużej niż 2-3 tygodnie, proszę niezwłocznie skonsultować się z lekarzem.
Przeczytaj również: Czy dentysta wystawi L4? Kiedy dostaniesz zwolnienie od stomatologa?
Rola regularnych wizyt u stomatologa we wczesnym wykrywaniu zmian nowotworowych
Nie mogę wystarczająco podkreślić, jak ważna jest rola regularnych wizyt u stomatologa, nie tylko w kontekście zdrowia zębów, ale przede wszystkim we wczesnym wykrywaniu zmian nowotworowych i stanów przedrakowych. Stomatolog, podczas rutynowego przeglądu, jest w stanie zauważyć subtelne zmiany w jamie ustnej, które mogą umknąć naszej uwadze. Ma on odpowiednie narzędzia i wiedzę, aby ocenić stan błony śluzowej, dziąseł i języka. Dlatego zachęcam wszystkich do przestrzegania zaleceń dotyczących regularnych kontroli stomatologicznych to inwestycja w Państwa zdrowie i spokój ducha.
