Nowotwory jamy ustnej, choć często niedoceniane, stanowią poważne zagrożenie dla zdrowia, a ich wczesne wykrycie jest absolutnie kluczowe dla skuteczności leczenia. Zrozumienie pierwszych, często subtelnych objawów może dosłownie uratować życie, dając szansę na interwencję, zanim choroba rozwinie się do zaawansowanego stadium.
Wczesne objawy nowotworu jamy ustnej to klucz do skutecznego leczenia i ratowania życia
- Nowotwory jamy ustnej stanowią około 5% wszystkich nowotworów złośliwych w Polsce, a wczesne wykrycie znacząco poprawia rokowania.
- Główne czynniki ryzyka to palenie tytoniu, nadużywanie alkoholu i zakażenie wirusem HPV.
- Wczesne sygnały alarmowe obejmują białe lub czerwone plamy, ranki, które nie goją się przez 2-3 tygodnie, zgrubienia oraz pieczenie w jednym miejscu.
- Zaawansowane objawy to uporczywy ból, problemy z jedzeniem i mówieniem, ograniczona ruchomość języka, szczękościsk oraz widoczne guzy.
- W przypadku zaobserwowania niepokojących zmian należy niezwłocznie skonsultować się ze stomatologiem lub lekarzem rodzinnym.
- Podstawowym badaniem potwierdzającym diagnozę jest biopsja.
Znajomość objawów raka jamy ustnej ratuje życie
Nowotwory jamy ustnej to grupa schorzeń, która w Polsce odpowiada za około 5% wszystkich nowotworów złośliwych. To statystyka, która może zaskoczyć, ale jest niezwykle istotna. Jako Blanka Malinowska, często podkreślam, że wskaźniki przeżywalności w przypadku raka jamy ustnej są silnie uzależnione od stadium zaawansowania choroby w momencie diagnozy. To właśnie dlatego tak ważne jest, abyśmy wszyscy byli świadomi objawów wczesne wykrycie znacząco poprawia rokowania i daje realną szansę na całkowite wyleczenie.
Rak jamy ustnej w Polsce: Co mówią najnowsze statystyki?
Niestety, Polska plasuje się w czołówce krajów europejskich pod względem umieralności na nowotwory jamy ustnej. Rocznie diagnozuje się kilka tysięcy nowych przypadków. Co więcej, aż 60-70% pacjentów zgłasza się do lekarza w zaawansowanym stadium choroby, co drastycznie obniża szanse na sukces terapeutyczny. Wczesna diagnoza, w stadium I lub II, wiąże się z ponad 80% wskaźnikiem pięcioletnich przeżyć, podczas gdy w stadium IV, ten odsetek spada do zaledwie 20-30%. Te liczby dobitnie pokazują, jak wielką rolę odgrywa czujność i szybka reakcja.
Kto jest najbardziej narażony? Poznaj kluczowe czynniki ryzyka
Z mojego doświadczenia wiem, że świadomość czynników ryzyka jest pierwszym krokiem do profilaktyki. Oto najważniejsze z nich, na które powinniśmy zwracać szczególną uwagę:
- Palenie tytoniu: To bezapelacyjnie główny winowajca. Niezależnie od formy papierosy, cygara, fajki, a nawet bezdymne wyroby tytoniowe substancje chemiczne zawarte w tytoniu uszkadzają komórki błony śluzowej, prowadząc do mutacji.
- Nadużywanie alkoholu: Alkohol sam w sobie jest czynnikiem ryzyka, ale w połączeniu z paleniem tytoniu jego szkodliwe działanie wzrasta wielokrotnie. Alkohol działa jak rozpuszczalnik, ułatwiając wnikanie kancerogenów z tytoniu do tkanek.
- Zakażenie wirusem HPV (Human Papillomavirus): Szczególnie typ 16 jest coraz częściej wiązany z nowotworami jamy ustnej i gardła, zwłaszcza u osób młodszych, które nie palą i nie piją alkoholu.
- Przewlekłe drażnienie błony śluzowej: Długotrwałe urazy mechaniczne, takie jak źle dopasowane protezy zębowe, ostre krawędzie zębów, czy nawet nawykowe gryzienie policzka, mogą prowadzić do przewlekłych stanów zapalnych, które zwiększają ryzyko.
- Dieta uboga w warzywa i owoce: Brak odpowiedniej ilości witamin i antyoksydantów osłabia naturalne mechanizmy obronne organizmu przed uszkodzeniami komórek.
- Nadmierna ekspozycja na słońce: W przypadku raka wargi, zwłaszcza dolnej, promieniowanie UV jest istotnym czynnikiem ryzyka.
Warto również pamiętać, że mężczyźni chorują na raka jamy ustnej około 3-4 razy częściej niż kobiety, a typowy wiek zachorowań to 50-70 lat. Jednak, co niepokojące, obserwujemy wzrost liczby przypadków u osób młodszych, co często wiąże się właśnie z zakażeniami HPV.
Wczesne wykrycie to klucz: Jak świadomość symptomów ratuje życie
Podsumowując, znajomość wczesnych sygnałów, które wysyła nam nasze ciało, jest nieoceniona. To właśnie dzięki tej świadomości możemy zareagować szybko, zanim choroba rozwinie się do stadium, w którym leczenie staje się znacznie trudniejsze i mniej skuteczne. Pamiętajmy, że czas to w tym przypadku zdrowie i życie.

Pierwsze sygnały alarmowe: Objawy w jamie ustnej, które powinny zaniepokoić
Wczesne objawy nowotworu jamy ustnej są często podstępne i łatwe do zbagatelizowania. Mogą być mylone z aftami, drobnymi urazami czy innymi, mniej groźnymi dolegliwościami. Dlatego tak ważne jest, abyśmy nauczyli się je rozpoznawać i nie ignorowali żadnych niepokojących zmian. Moje doświadczenie pokazuje, że to właśnie te "drobne" sygnały są pierwszym ostrzeżeniem.
Białe i czerwone plamy (leukoplakia, erytroplakia): Kiedy plamka to coś więcej niż afta?
Zwróć uwagę na białe plamy (leukoplakia) lub czerwone plamy (erytroplakia) na błonie śluzowej jamy ustnej, które nie znikają po kilku dniach. Leukoplakia to białe, szorstkie lub twarde zmiany, których nie da się zetrzeć. Erytroplakia to z kolei czerwone, aksamitne zmiany. Oba te stany są szczególnie niepokojące, ponieważ mogą być stanami przedrakowymi, co oznacza, że mają potencjał do przekształcenia się w nowotwór złośliwy. Jeśli zauważysz takie plamy, które utrzymują się dłużej niż tydzień, koniecznie skonsultuj się z lekarzem.Niepozorna ranka, która nie chce się goić: Jak długo czekać, zanim pójdziesz do lekarza?
Kolejnym sygnałem alarmowym jest owrzodzenie lub ranka w jamie ustnej, która jest niewielka, początkowo niebolesna i co najważniejsze nie goi się przez ponad 2-3 tygodnie. Wiele osób myli takie zmiany z aftami, które zazwyczaj znikają samoistnie po kilku dniach. Jeśli jednak rana utrzymuje się, powiększa się lub zaczyna krwawić, to absolutnie nie wolno tego bagatelizować. To jest moment, w którym należy bezzwłocznie umówić wizytę u stomatologa lub lekarza rodzinnego.
Subtelne zmiany w dotyku: Zgrubienia i chropowatość błony śluzowej
Czasami nowotwór manifestuje się jako subtelna zmiana w teksturze błony śluzowej. Może to być uczucie szorstkości, zgrubienia, stwardnienia lub guzka, który jest wyczuwalny w dotyku, ale niekoniecznie widoczny gołym okiem. Takie zmiany mogą pojawić się na języku, policzkach, podniebieniu czy dnie jamy ustnej. Jeśli wyczuwasz coś nietypowego, co utrzymuje się przez dłuższy czas, warto to sprawdzić.
Pieczenie i dyskomfort: Czy to objaw nowotworu?
Lekki ból, pieczenie lub dyskomfort w jednym, stałym miejscu w jamie ustnej, który nie ustępuje i nie jest związany z żadnym widocznym urazem, również może być wczesnym objawem nowotworu. Początkowo może być to uczucie bardzo subtelne, ale jeśli utrzymuje się i nie ma jasnej przyczyny, powinno wzbudzić Twoją czujność.
Zaawansowane symptomy nowotworu: Wyraźne znaki choroby
Gdy nowotwór jamy ustnej osiąga bardziej zaawansowane stadium, objawy stają się zazwyczaj bardziej oczywiste i uciążliwe. Niestety, w tym momencie choroba jest już często trudniejsza do leczenia. Pojawienie się tych symptomów wymaga natychmiastowej interwencji medycznej.
Ból, który nie ustępuje: Charakterystyka i promieniowanie bólu nowotworowego
W zaawansowanym stadium rak jamy ustnej często objawia się uporczywym, narastającym bólem. Ból ten może być stały, pulsujący i nie ustępować po standardowych środkach przeciwbólowych. Charakterystyczne jest również jego promieniowanie, na przykład do ucha po tej samej stronie, co zmiana. To sygnał, że nowotwór nacieka głębsze struktury.
Problemy z jedzeniem i mówieniem: Jak nowotwór wpływa na codzienne funkcje?
Rozwijający się nowotwór może znacząco utrudniać codzienne czynności. Pacjenci często doświadczają trudności i bólu podczas żucia, połykania (dysfagia) oraz mówienia (dysfonia). Może pojawić się również uczucie "ciała obcego" w gardle, które nie ustępuje, co jest niezwykle niekomfortowe i utrudnia normalne funkcjonowanie.
Ograniczona ruchomość języka i szczękościsk: Co oznaczają te objawy?
Jeśli zauważysz, że Twój język stał się mniej ruchomy, masz problem z jego wysunięciem, uniesieniem lub poruszaniem nim na boki, może to świadczyć o naciekaniu nowotworu na jego mięśnie. Podobnie, szczękościsk, czyli trudności z szerokim otwarciem ust, jest bardzo poważnym objawem, często wskazującym na zaawansowanie choroby i zajęcie okolicznych tkanek lub stawu skroniowo-żuchwowego.
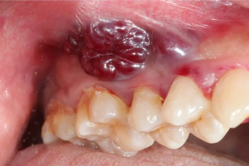
Widoczny guz w ustach lub na szyi: Jak odróżnić go od innych zmian?
Pojawienie się widocznego, twardego guza lub zgrubienia w jamie ustnej (np. na języku, dnie jamy ustnej) lub na szyi (powiększone węzły chłonne) to bardzo poważny sygnał. Guzy nowotworowe są zazwyczaj twarde, nieruchome i często niebolesne w początkowej fazie. Jeśli wyczuwasz taką zmianę, koniecznie i bezzwłocznie udaj się do lekarza. Nie próbuj diagnozować tego samodzielnie.
Zmiana głosu, krwawienie i drętwienie: Inne poważne sygnały ostrzegawcze
Oprócz wymienionych, istnieją inne, równie poważne objawy, które powinny wzbudzić natychmiastowy niepokój:
- Zmiana głosu (chrypka), która utrzymuje się przez dłuższy czas i nie jest związana z infekcją.
- Niewyjaśnione krwawienie z jamy ustnej, bez widocznej przyczyny, takiej jak uraz czy problem z dziąsłami.
- Drętwienie języka lub wargi, które nie ustępuje i nie ma jasnej przyczyny.
- Niezamierzona utrata masy ciała, czyli chudnięcie bez zmiany diety czy aktywności fizycznej, co często towarzyszy zaawansowanym chorobom nowotworowym.

Samobadanie jamy ustnej: Skuteczna kontrola stanu błon śluzowych
Jako Blanka Malinowska, zawsze zachęcam moich pacjentów do regularnego samobadania. To proste, bezpłatne i niezwykle skuteczne narzędzie profilaktyki, które pozwala na wczesne wykrycie niepokojących zmian. Pamiętaj, że nikt nie zna Twojego ciała lepiej niż Ty sam. Poświęć kilka minut raz w miesiącu, a możesz uratować swoje życie.
Krok po kroku: Prosty przewodnik po samokontroli warg, policzków i języka
Oto, jak prawidłowo wykonać samobadanie jamy ustnej:
- Przygotowanie: Stań przed dobrze oświetlonym lustrem. Zdejmij wszelkie protezy zębowe.
- Oglądanie twarzy i szyi: Sprawdź, czy nie ma żadnych obrzęków, asymetrii czy powiększonych węzłów chłonnych na szyi. Delikatnie dotknij szyi i okolic żuchwy.
- Wargi: Dokładnie obejrzyj wargi z zewnątrz i od wewnątrz. Szukaj zmian koloru, pęknięć, owrzodzeń czy zgrubień.
- Błona śluzowa policzków: Włóż palec do ust i odciągnij policzek. Obejrzyj całą powierzchnię błony śluzowej, szukając białych, czerwonych plam, owrzodzeń lub zgrubień. Powtórz po drugiej stronie.
- Dziąsła i zęby: Obejrzyj dziąsła wokół zębów, szukając krwawień, obrzęków czy zmian koloru. Zwróć uwagę na stan zębów.
- Język: Wysuń język i obejrzyj jego górną powierzchnię. Następnie chwyć język gazikiem i delikatnie pociągnij go na boki, oglądając boczne powierzchnie. Sprawdź, czy nie ma guzków, owrzodzeń, zmian koloru czy zgrubień.
- Dno jamy ustnej: Unieś język do góry, dotykając podniebienia. Obejrzyj dno jamy ustnej, czyli obszar pod językiem. To częste miejsce występowania nowotworów.
- Podniebienie: Odchyl głowę do tyłu i otwórz szeroko usta, aby obejrzeć podniebienie twarde i miękkie.
Czego dokładnie szukać podczas samobadania?
Podczas samobadania skup się na następujących zmianach:
- Nieznikające plamy: Białe (leukoplakia), czerwone (erytroplakia) lub mieszane plamy, których nie da się zetrzeć i które utrzymują się dłużej niż tydzień.
- Ranki i owrzodzenia: Niewielkie, początkowo niebolesne owrzodzenia, które nie goją się przez 2-3 tygodnie.
- Zgrubienia i guzki: Twarde, wyczuwalne w dotyku zgrubienia, guzki lub chropowatości na błonie śluzowej.
- Obszary pieczenia lub dyskomfortu: Miejsca, gdzie odczuwasz stały ból, pieczenie lub drętwienie bez wyraźnej przyczyny.
- Asymetria: Niespodziewana asymetria twarzy, obrzęki lub powiększone węzły chłonne na szyi.
Jak często wykonywać kontrolę, aby miała ona sens?
Rekomenduję wykonywanie samobadania raz w miesiącu. Wybierz stały dzień, np. pierwszy dzień miesiąca, aby wyrobić sobie nawyk. Regularność jest kluczowa, ponieważ pozwala szybko zauważyć wszelkie nowe lub zmieniające się objawy.
Moje objawy pasują do opisu co robić dalej?
Jeśli po przeczytaniu tego artykułu lub po wykonaniu samobadania zauważysz u siebie jakiekolwiek niepokojące objawy, które utrzymują się przez dłuższy czas, proszę, nie zwlekaj i nie bagatelizuj ich. To jest ten moment, w którym szybka reakcja ma największe znaczenie. Pamiętaj, że większość zmian w jamie ustnej jest łagodna, ale tylko specjalista może to ocenić.
Stomatolog, laryngolog czy lekarz rodzinny? Do kogo udać się w pierwszej kolejności?
W pierwszej kolejności powinieneś udać się do swojego stomatologa lub lekarza rodzinnego. To oni są często pierwszymi specjalistami, którzy mogą ocenić zmiany w jamie ustnej. Jeśli stomatolog lub lekarz rodzinny uzna, że zmiana jest podejrzana, skieruje Cię do odpowiedniego specjalisty najczęściej do laryngologa (otolaryngologa) lub chirurga szczękowo-twarzowego, którzy mają większe doświadczenie w diagnostyce i leczeniu nowotworów jamy ustnej.Jak wygląda wizyta diagnostyczna u specjalisty?
Wizyta diagnostyczna u specjalisty rozpocznie się od szczegółowego wywiadu medycznego, podczas którego zostaniesz zapytany o swoje objawy, historię chorób, czynniki ryzyka (np. palenie, alkohol) oraz ogólny stan zdrowia. Następnie lekarz przeprowadzi dokładne badanie jamy ustnej, często z użyciem specjalnego oświetlenia i lusterka. Może również palpacyjnie (dotykowo) zbadać szyję i dno jamy ustnej. W zależności od wstępnej oceny, lekarz może zlecić dodatkowe badania, takie jak USG węzłów chłonnych szyi, tomografię komputerową (TK) lub rezonans magnetyczny (MRI).
Przeczytaj również: Zapalenie jamy ustnej u dziecka: Ulga, leczenie, kiedy do lekarza?
Biopsja: Czym jest i dlaczego to kluczowe badanie w diagnostyce raka?
Jeśli lekarz uzna, że zmiana jest podejrzana, kluczowym krokiem w diagnostyce jest wykonanie biopsji. Biopsja polega na pobraniu niewielkiego wycinka zmienionej tkanki z jamy ustnej. Ten wycinek jest następnie przesyłany do badania histopatologicznego, gdzie patolog pod mikroskopem ocenia komórki. To właśnie badanie histopatologiczne jest jedynym, które może jednoznacznie potwierdzić lub wykluczyć obecność komórek nowotworowych i określić typ nowotworu. Bez biopsji nie ma ostatecznej diagnozy raka.
