Zastanawiasz się, kto zakłada aparaty na zęby i jak wygląda cała droga do prostego, pięknego uśmiechu? W tym artykule szczegółowo odpowiem na te pytania, przedstawiając rolę ortodonty, jego kwalifikacje oraz każdy etap leczenia ortodontycznego. Przeczytaj dalej, aby zrozumieć, dlaczego właściwy specjalista i kompleksowe podejście są kluczowe dla zdrowia i estetyki Twojego zgryzu.
Ortodonta specjalista, który dba o prawidłowy zgryz i piękny uśmiech
- Ortodonta to lekarz dentysta ze specjalizacją, zajmujący się diagnozowaniem i leczeniem wad zgryzu oraz zakładaniem aparatów.
- Różni się od stomatologa ogólnego, który skupia się na leczeniu próchnicy i chorób dziąseł.
- Proces leczenia obejmuje konsultację, diagnostykę, indywidualny plan, założenie aparatu, regularne kontrole i etap retencji.
- Pierwszą wizytę z dzieckiem u ortodonty zaleca się około 7. roku życia.
- Leczenie ortodontyczne w ramach NFZ jest mocno ograniczone refundowane są tylko aparaty ruchome dla dzieci do 12. roku życia.
- Do ortodonty nie jest wymagane skierowanie.

Kim jest ortodonta i dlaczego to do niego należy się udać?
Ortodonta to lekarz dentysta, który po ukończeniu studiów stomatologicznych odbył dodatkową, specjalistyczną ścieżkę kształcenia w dziedzinie ortodoncji. To właśnie ten specjalista jest odpowiedzialny za diagnozowanie, zapobieganie i leczenie wad zgryzu oraz wszelkich nieprawidłowości w ustawieniu zębów. Jego wiedza i doświadczenie są absolutnie kluczowe dla skutecznego i bezpiecznego leczenia, ponieważ korekcja zgryzu to proces skomplikowany, wymagający precyzyjnego planowania i stałego monitorowania. To właśnie ortodonta decyduje o rodzaju aparatu, sposobie jego działania i prowadzi pacjenta przez całą drogę do osiągnięcia wymarzonego uśmiechu.
Czym zajmuje się ortodonta na co dzień? Zakres obowiązków
Codzienna praca ortodonty jest niezwykle zróżnicowana i wymaga dużej precyzji. Zaczyna się od dokładnej analizy zgryzu pacjenta, często z wykorzystaniem zaawansowanych narzędzi diagnostycznych, takich jak zdjęcia RTG czy skany 3D. Następnie, na podstawie zebranych danych, ortodonta tworzy indywidualny plan leczenia, dobierając najbardziej odpowiedni rodzaj aparatu czy to stałego, ruchomego, czy nakładek. Po założeniu aparatu, jego zadaniem jest regularne monitorowanie postępów, aktywowanie aparatu podczas wizyt kontrolnych i wprowadzanie niezbędnych korekt. Ważnym elementem pracy jest również etap retencji, czyli utrwalanie wyników leczenia, aby uśmiech pozostał prosty na długie lata. Jak widać, to nie tylko zakładanie aparatu, ale kompleksowa opieka na każdym etapie.
Droga do zawodu: jakie kwalifikacje musi posiadać specjalista od aparatów?
Droga do zostania ortodontą jest długa i wymagająca, co świadczy o wysokich kwalifikacjach tych specjalistów. Oto jej główne etapy:
- Ukończenie 5-letnich studiów stomatologicznych, które kończą się uzyskaniem tytułu lekarza dentysty.
- Zdanie Lekarsko-Dentystycznego Egzaminu Końcowego (LDEK), co jest niezbędne do uzyskania prawa wykonywania zawodu.
- Odbycie dodatkowej, 3-letniej specjalizacji z ortodoncji, która obejmuje intensywną praktykę kliniczną i teoretyczną pod okiem doświadczonych specjalistów.
Warto jednak wiedzieć, że polskie prawo dopuszcza, aby prostsze przypadki leczenia ortodontycznego prowadzili również lekarze dentyści bez formalnej specjalizacji, pod warunkiem ukończenia odpowiednich kursów i szkoleń. Niemniej jednak, w przypadku bardziej skomplikowanych wad zgryzu, zawsze rekomenduję wybór specjalisty ortodonty, który posiada pełne, formalne kwalifikacje.

Ortodonta a stomatolog kluczowe różnice, które musisz znać
Wielu pacjentów myli te dwie specjalizacje, a to błąd, który może prowadzić do nieporozumień w procesie leczenia. Choć ortodonta jest lekarzem dentystą, jego zakres pracy znacząco różni się od stomatologa ogólnego. Zrozumienie tych różnic jest kluczowe dla właściwego adresowania problemów zdrowotnych jamy ustnej.
Kiedy zapukać do gabinetu stomatologa ogólnego?
Stomatolog ogólny, czyli lekarz dentysta, to pierwszy kontakt w przypadku większości problemów z zębami i jamą ustną. To on dba o ogólny stan zdrowia Twoich zębów i dziąseł. Do stomatologa ogólnego należy się udać w przypadku:
- Leczenia zachowawczego (próchnica, plomby, odbudowa zębów).
- Leczenia kanałowego (endodoncja), gdy próchnica dotrze do miazgi zęba.
- Leczenia chorób dziąseł i przyzębia (np. paradontozy).
- Protetyki (korony, mosty, licówki, protezy).
- Chirurgii stomatologicznej (np. ekstrakcje zębów, w tym często ósemek).
- Regularnych kontroli i profesjonalnej higienizacji.
A kiedy problem wymaga interwencji ortodonty?
Ortodonta wkracza do akcji, gdy problemem jest nieprawidłowe ustawienie zębów lub wada zgryzu. To jego specjalność i w tych przypadkach jest niezastąpiony. Do ortodonty powinieneś się udać, jeśli masz:
- Wady zgryzu, takie jak tyłozgryz, przodozgryz, zgryz otwarty, zgryz głęboki, zgryz krzyżowy.
- Nieprawidłowości w ustawieniu zębów, czyli stłoczenia, szpary między zębami (diastemy), zęby obrócone lub wychylone.
- Problemy z żuciem i wymową, które wynikają z wad zgryzu.
- Asymetrię twarzy spowodowaną nieprawidłowym ułożeniem szczęk.
Czy ortodonta może leczyć próchnicę? Rozwiewamy wątpliwości
To bardzo ważne pytanie, które często pojawia się w gabinecie. Odpowiedź jest prosta: ortodonta skupia się wyłącznie na korygowaniu wad zgryzu i nieprawidłowości w ustawieniu zębów. Nie leczy próchnicy, nie wykonuje plomb ani leczenia kanałowego. Leczenie próchnicy czy innych chorób zębów i dziąseł należy do kompetencji stomatologa ogólnego. Z tego powodu, zanim rozpocznie się leczenie ortodontyczne, wszystkie zęby muszą być wyleczone i wolne od ubytków. To absolutna podstawa, o której zawsze przypominam moim pacjentom.
Współpraca, która gwarantuje sukces: dlaczego obaj specjaliści są ważni w procesie leczenia?
Sukces leczenia ortodontycznego często zależy od harmonijnej współpracy między stomatologiem ogólnym a ortodontą. Stomatolog ogólny jest Twoim pierwszym opiekunem, który przygotowuje jamę ustną do leczenia ortodontycznego wyleczy wszystkie zęby, usunie kamień nazębny i osady, a także oceni ogólny stan zdrowia jamy ustnej. Dopiero na tak przygotowanym gruncie ortodonta może bezpiecznie założyć aparat i rozpocząć korekcję zgryzu. Po zdjęciu aparatu, stomatolog ponownie przejmuje wiodącą rolę w dbaniu o higienę i zdrowie zębów, które teraz są już proste i prawidłowo ułożone. To połączenie sił gwarantuje kompleksową opiekę i najlepsze, długotrwałe efekty.
Twoja droga do prostych zębów jak wygląda leczenie ortodontyczne krok po kroku?
Leczenie ortodontyczne to proces, który wymaga cierpliwości i zaangażowania, ale efekty są tego warte. Chcę Cię przeprowadzić przez każdy jego etap, abyś wiedział, czego możesz się spodziewać na swojej drodze do idealnego uśmiechu.
Krok 1: Pierwsza wizyta czego się spodziewać podczas konsultacji?
Pierwsza wizyta to moment, w którym poznajemy się z pacjentem i jego oczekiwaniami. Rozpoczyna się od szczegółowego wywiadu, podczas którego pytam o Twoje dolegliwości, historię zdrowotną oraz to, co chciałbyś zmienić w swoim uśmiechu. Następnie przeprowadzam dokładne badanie jamy ustnej i zgryzu, oceniając ustawienie zębów, stan dziąseł i ogólną kondycję. To wstępna ocena, która pozwoli mi zorientować się w Twojej sytuacji.
Krok 2: Diagnostyka dlaczego zdjęcia RTG i wyciski są tak ważne?
Po wstępnej konsultacji przechodzimy do diagnostyki, która jest fundamentem każdego skutecznego planu leczenia. Wykonujemy zdjęcia RTG zazwyczaj pantomograficzne (przeglądowe) oraz cefalometryczne (boczne), które pozwalają mi ocenić budowę kości, położenie zębów stałych i zawiązków, a także relacje między szczęką a żuchwą. Niezbędne jest również pobranie wycisków zębów lub wykonanie skanów 3D, co pozwala stworzyć precyzyjny model Twojego zgryzu. Te wszystkie elementy są absolutnie niezbędne do postawienia precyzyjnej diagnozy i zaplanowania leczenia, które będzie dopasowane idealnie do Twoich potrzeb.
Krok 3: Indywidualny plan leczenia klucz do przewidywalnych efektów
Gdy mam już wszystkie dane diagnostyczne, mogę przygotować indywidualny plan leczenia. Na kolejnej wizycie szczegółowo omawiam z Tobą diagnozę, wyjaśniam, na czym polega problem i jakie są proponowane metody leczenia. Przedstawiam dostępne rodzaje aparatów, ich zalety i wady w Twoim konkretnym przypadku. Omawiamy również oszacowany czas trwania leczenia oraz jego koszty. To moment, w którym wspólnie podejmujemy decyzję o najlepszej drodze do Twojego nowego uśmiechu.
Krok 4: Przygotowanie jamy ustnej co trzeba zrobić przed założeniem aparatu?
Zanim aparat zostanie założony, jama ustna musi być odpowiednio przygotowana. To bardzo ważny etap, którego nie można pominąć:
- Wyleczenie wszystkich zębów: Każda próchnica musi zostać usunięta, a ubytki wypełnione. Aparat ortodontyczny utrudnia higienę, a leczenie zębów z założonym aparatem jest znacznie trudniejsze.
- Profesjonalna higienizacja: Skaling (usunięcie kamienia nazębnego) i piaskowanie (usunięcie osadów) są obowiązkowe. Zęby muszą być czyste i zdrowe.
- W niektórych przypadkach usunięcie wybranych zębów (np. ósemek lub zębów przedtrzonowych), jeśli jest to konieczne dla prawidłowego przebiegu leczenia i uzyskania miejsca na przesunięcia zębów. Decyzję o ekstrakcji zawsze podejmuje ortodonta po dokładnej analizie.
Krok 5: Dzień "zero" czyli jak przebiega zakładanie aparatu na zęby
To dzień, na który wielu pacjentów czeka z niecierpliwością! W przypadku aparatu stałego, proces polega na przyklejeniu zamków do powierzchni zębów, a następnie przeciągnięciu przez nie specjalnego łuku, który będzie wywierał nacisk i przesuwał zęby. Całość jest mocowana za pomocą ligatur (gumek lub drucików). Jeśli decydujesz się na aparat ruchomy lub nakładki, otrzymasz szczegółowe instrukcje dotyczące ich zakładania, zdejmowania i codziennego użytkowania. Zawsze upewniam się, że pacjent rozumie, jak dbać o aparat i higienę jamy ustnej po jego założeniu.
Krok 6: Regularne wizyty kontrolne serce całego procesu
Założenie aparatu to dopiero początek. Regularne wizyty kontrolne, zazwyczaj co 4-8 tygodni, są sercem całego procesu leczenia. Podczas tych wizyt oceniam postępy, aktywuję aparat (np. zmieniam łuki, ligatury, dodaję sprężynki czy wyciągi), a także monitoruję stan higieny jamy ustnej. To kluczowy moment na wprowadzanie ewentualnych korekt i upewnienie się, że leczenie przebiega zgodnie z planem. Twoja obecność na tych wizytach jest absolutnie niezbędna dla osiągnięcia zamierzonych efektów.
Krok 7: Wielki finał i co dalej? O etapie retencji słów kilka
Po miesiącach, a czasem latach leczenia, nadchodzi ten upragniony moment zdjęcie aparatu! To chwila radości i podziwiania nowego uśmiechu. Jednak to nie koniec. Niezwykle ważnym, a często niedocenianym etapem jest retencja, czyli utrwalanie wyników leczenia. Zęby mają tendencję do powracania na swoje pierwotne pozycje, dlatego konieczne jest noszenie aparatu retencyjnego stałego (niewidoczny drucik przyklejony od wewnętrznej strony zębów) lub ruchomego (przezroczysta nakładka lub płytka). Etap retencji jest kluczowy, aby Twój piękny uśmiech pozostał z Tobą na zawsze.
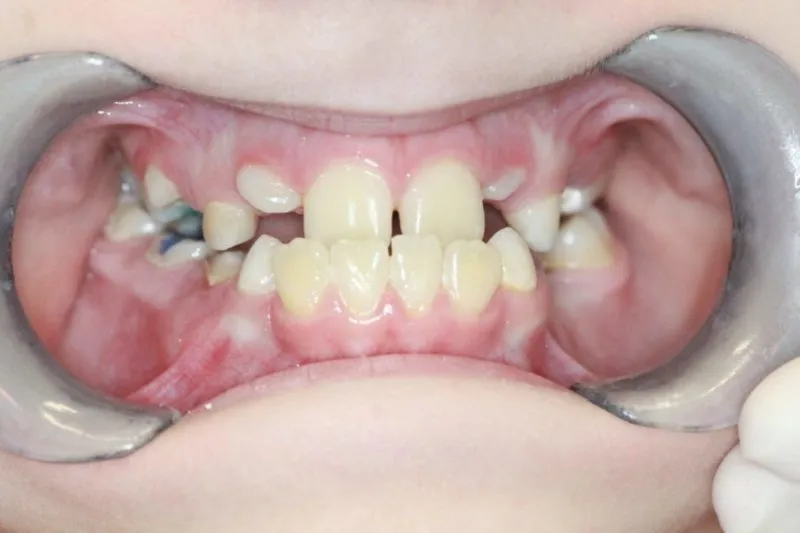
Aparat na zęby dla dziecka kiedy jest najlepszy moment na pierwszą wizytę?
Jako ortodonta, często słyszę pytanie o najlepszy moment na pierwszą wizytę dziecka. Wczesna interwencja może znacząco ułatwić i skrócić leczenie w przyszłości, a nawet zapobiec rozwojowi poważniejszych wad.
7 lat to wiek graniczny: dlaczego wczesna kontrola jest tak istotna?
Zgodnie z zaleceniami, pierwszą wizytę kontrolną u ortodonty z dzieckiem zaleca się w wieku około 7 lat. To moment, kiedy pojawiają się pierwsze zęby stałe, a szczęka i żuchwa intensywnie się rozwijają. Wczesna konsultacja pozwala mi ocenić rozwój zgryzu, wykryć ewentualne nieprawidłowości na wczesnym etapie i wdrożyć leczenie interceptywne, które może zapobiec rozwojowi poważniejszych wad w przyszłości. Czasami wystarczy prosta interwencja, aby skorygować problem, który później wymagałby znacznie bardziej złożonego leczenia. W przypadku widocznych nieprawidłowości lub szkodliwych nawyków (np. ssanie kciuka), warto zgłosić się nawet wcześniej, w wieku 4-5 lat.
Niepokojące sygnały: jakie objawy u dziecka powinny skłonić do wizyty?
Rodzice są pierwszymi obserwatorami i ich czujność jest nieoceniona. Poniżej przedstawiam sygnały, które powinny skłonić do wizyty u ortodonty z dzieckiem:
- Widoczne nieprawidłowości w ustawieniu zębów lub zgryzie (np. zęby nachodzące na siebie, duże szpary, zęby wystające).
- Szkodliwe nawyki, takie jak ssanie kciuka, obgryzanie paznokci, nagryzanie wargi.
- Trudności w żuciu lub gryzieniu pokarmów.
- Wady wymowy, które mogą być związane z nieprawidłowym ułożeniem języka lub zębów.
- Oddychanie przez usta zamiast przez nos.
- Przedwczesna utrata zębów mlecznych lub ich zbyt długie utrzymywanie się.
Leczenie na NFZ co warto wiedzieć o refundacji aparatów w Polsce?
W Polsce leczenie ortodontyczne w ramach Narodowego Funduszu Zdrowia (NFZ) jest niestety bardzo ograniczone. Refundacją objęte jest wyłącznie leczenie aparatem ruchomym (wyjmowanym) i to tylko dla dzieci do ukończenia 12. roku życia. Oznacza to, że po 12. urodzinach dziecka, nawet leczenie aparatem ruchomym nie jest już refundowane. Co więcej, aparaty stałe, które są najczęściej stosowane w leczeniu wad zgryzu, nie są refundowane dla żadnej grupy wiekowej ani dla dzieci, ani dla dorosłych. W praktyce oznacza to, że większość pacjentów decydujących się na leczenie ortodontyczne musi pokryć jego koszty z własnej kieszeni, wybierając gabinet prywatny.
Przygotowanie do leczenia praktyczne wskazówki dla pacjenta
Zanim rozpoczniesz swoją przygodę z aparatem, warto zadbać o kilka kwestii, które ułatwią cały proces i zapewnią jego skuteczność.
Czy do ortodonty potrzebne jest skierowanie?
To często zadawane pytanie. Odpowiadam jasno: do ortodonty, zarówno w gabinecie prywatnym, jak i w ramach NFZ, nie jest wymagane skierowanie. Możesz umówić się na pierwszą wizytę bezpośrednio, bez konieczności wcześniejszej wizyty u stomatologa ogólnego w celu uzyskania skierowania. Oczywiście, jeśli masz już swojego zaufanego stomatologa, warto poinformować go o planowanym leczeniu ortodontycznym.
Jakie pytania zadać ortodoncie podczas pierwszej wizyty?
Pierwsza wizyta to idealny moment, aby rozwiać wszelkie wątpliwości. Przygotuj sobie listę pytań, aby w pełni zrozumieć proces leczenia. Oto kilka propozycji:
- Jakie są opcje leczenia w moim przypadku? Czy są alternatywne metody?
- Jaki rodzaj aparatu będzie najlepszy dla mnie i dlaczego?
- Jak długo potrwa leczenie? Czy mogę spodziewać się jakichś niespodzianek?
- Jaki jest całkowity koszt leczenia i czy są dostępne opcje płatności ratalnych?
- Jakie są potencjalne ryzyka lub ograniczenia leczenia w moim przypadku?
- Jak często będą odbywać się wizyty kontrolne i ile czasu zajmują?
- Jakie są zasady higieny jamy ustnej z aparatem?
Przeczytaj również: Sztuczny aparat na zęby: Jak zrobić bezpieczny rekwizyt? STOP ryzyku!
Zdrowie zębów to podstawa: dlaczego leczenie zachowawcze jest priorytetem?
Zawsze podkreślam, że zdrowe zęby i dziąsła są fundamentem dla bezpiecznego i efektywnego leczenia ortodontycznego. Przed założeniem aparatu absolutnie konieczne jest wyleczenie wszystkich zębów usunięcie próchnicy, wymiana nieszczelnych wypełnień. Należy również zadbać o profesjonalną higienizację, czyli usunięcie kamienia i osadów. Leczenie ortodontyczne w jamie ustnej z próchnicą lub stanem zapalnym dziąseł jest nie tylko utrudnione, ale może prowadzić do poważnych komplikacji, takich jak demineralizacja szkliwa czy rozwój zaawansowanej próchnicy. Dbaj o swoje zęby, zanim zaczniesz je prostować!
