Ciąża to wyjątkowy czas w życiu kobiety, pełen radości, ale i wielu zmian w organizmie. Niestety, często towarzyszą jej również dolegliwości, o których niewiele się mówi, a które potrafią skutecznie uprzykrzyć codzienne funkcjonowanie. Jednym z takich problemów jest ciążowe zapalenie dziąseł. Jako Blanka Malinowska, ekspertka w dziedzinie zdrowia jamy ustnej, wiem, jak stresujące może być poszukiwanie bezpiecznych i skutecznych rozwiązań w tym szczególnym okresie. Ten artykuł jest kompleksowym przewodnikiem, który pomoże Ci zrozumieć, dlaczego ten problem jest tak powszechny w ciąży, jak go rozpoznać, a przede wszystkim jakie są bezpieczne i skuteczne metody leczenia, zarówno domowe, jak i apteczne, aby zadbać o zdrowie swoje i swojego dziecka.
Ciążowe zapalenie dziąseł: Skuteczne i bezpieczne sposoby leczenia dla Ciebie i dziecka
- Ciążowe zapalenie dziąseł dotyka 60-75% przyszłych mam, głównie z powodu zmian hormonalnych (wzrost progesteronu).
- Typowe objawy to zaczerwienienie, obrzęk, bolesność oraz krwawienie dziąseł podczas szczotkowania.
- Bezpieczne domowe metody obejmują płukanki ziołowe (szałwia, rumianek, kora dębu), roztwór soli kuchennej lub wody utlenionej.
- W aptece dostępne są bezpieczne żele łagodzące oraz płukanki z chlorheksydyną (stosowane krótkoterminowo i po konsultacji).
- Nieleczone zapalenie dziąseł może zwiększać ryzyko przedwczesnego porodu i niskiej masy urodzeniowej dziecka.
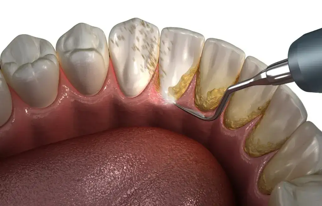
- Kluczowe są regularne wizyty u stomatologa (min. jedna w ciąży, najlepiej w II trymestrze) oraz zabiegi takie jak skaling i piaskowanie, które są bezpieczne.
Dlaczego dziąsła krwawią w ciąży? Poznaj przyczyny
Zapalenie dziąseł w ciąży, często nazywane "ciążowym zapaleniem dziąseł", to problem, z którym boryka się zaskakująco wiele przyszłych mam szacuje się, że dotyka on od 60% do nawet 75% kobiet w ciąży. To naprawdę wysoki odsetek, prawda? Z mojego doświadczenia wynika, że wiele pacjentek jest tym zaskoczonych i zaniepokojonych. Warto jednak wiedzieć, że za ten stan odpowiada przede wszystkim prawdziwa burza hormonalna, która zachodzi w Twoim organizmie, a także inne czynniki, które omówię poniżej.Hormonalna burza: Jak progesteron wpływa na stan jamy ustnej?
Głównym winowajcą jest tutaj wzrost poziomu progesteronu. Ten hormon, kluczowy dla utrzymania ciąży, niestety ma również swoje "skutki uboczne" w jamie ustnej. Powoduje on zwiększony przepływ krwi do dziąseł, co sprawia, że stają się one bardziej ukrwione, a przez to wrażliwsze, obrzęknięte i skłonne do krwawień. Wyobraź sobie, że Twoje dziąsła są jak gąbka, która wchłonęła więcej wody stają się bardziej miękkie i podatne na uszkodzenia. Ta zmiana w tkankach dziąseł sprawia, że są one również bardziej podatne na działanie bakterii, nawet tych, które wcześniej nie wywoływały tak silnej reakcji.
Płytka nazębna wróg numer jeden Twoich dziąseł
Choć hormony odgrywają kluczową rolę, nie są jedynym czynnikiem. W połączeniu ze zmienioną gospodarką hormonalną, płytka nazębna staje się głównym czynnikiem wywołującym stan zapalny dziąseł. Bakterie bytujące w płytce nazębnej produkują toksyny, które normalnie wywołują pewną reakcję zapalną. Jednak w ciąży, z powodu zwiększonej wrażliwości dziąseł, ta reakcja jest znacznie silniejsza. Nawet niewielka ilość płytki, która wcześniej nie stanowiła problemu, teraz może prowadzić do zaczerwienienia, obrzęku i krwawienia.Czy poranne mdłości i wymioty mogą pogarszać sytuację?
Niestety, tak. Częste poranne mdłości i wymioty, które dotykają wiele przyszłych mam, mogą również wpływać na stan dziąseł i ogólną higienę jamy ustnej. Kwaśna treść żołądkowa, która dostaje się do ust, może podrażniać dziąsła i szkliwo zębów, zwiększając ryzyko stanów zapalnych i erozji. Dodatkowo, po wymiotach często pojawia się niechęć do szczotkowania zębów, co sprzyja gromadzeniu się płytki nazębnej i pogarsza sytuację dziąseł. Wiem, że to trudne, ale staraj się przepłukać usta wodą lub delikatnym płynem po każdym epizodzie mdłości.
Rozpoznaj ciążowe zapalenie dziąseł: Sygnały, których nie możesz ignorować
Rozpoznanie ciążowego zapalenia dziąseł na wczesnym etapie jest kluczowe dla skutecznego leczenia i zapobiegania poważniejszym problemom. Wiele kobiet uważa, że krwawiące dziąsła w ciąży to "norma", jednak jako specjalistka muszę podkreślić, że żaden stan zapalny nie jest normą i wymaga uwagi. Zwracaj uwagę na sygnały, które wysyła Ci Twój organizm to pierwszy krok do zdrowia.Czerwone, spuchnięte, wrażliwe typowe objawy alarmowe
Typowe objawy ciążowego zapalenia dziąseł, na które powinnaś zwrócić uwagę, to:
- Zaczerwienienie dziąseł: Zamiast zdrowego, bladoróżowego koloru, dziąsła mogą stać się intensywnie czerwone lub nawet purpurowe.
- Obrzęk i opuchlizna: Dziąsła mogą wydawać się powiększone, nabrzmiałe, a ich kontur może być mniej wyraźny.
- Bolesność i wrażliwość: Możesz odczuwać dyskomfort lub ból podczas jedzenia, szczotkowania zębów, a nawet dotykania dziąseł.
- Krwawienie: To jeden z najbardziej charakterystycznych objawów, który często pojawia się podczas szczotkowania zębów, nitkowania, a czasem nawet samoistnie.
- Nieświeży oddech: Nagromadzenie bakterii może prowadzić do halitozy, czyli nieprzyjemnego zapachu z ust.
Krwawienie podczas szczotkowania: Norma czy powód do niepokoju?
Jak wspomniałam, krwawienie dziąseł podczas szczotkowania, choć bardzo częste w ciąży, nie jest normą. To wyraźny sygnał, że rozwija się stan zapalny i Twoje dziąsła potrzebują pomocy. Wiele moich pacjentek, widząc krew, zaczyna szczotkować zęby jeszcze delikatniej lub wręcz unika szczotkowania w obawie przed bólem. To błąd! Delikatne, ale dokładne usuwanie płytki nazębnej jest kluczowe, aby przerwać błędne koło zapalenia. Pamiętaj, że zdrowe dziąsła nie krwawią.
Kiedy ból dziąseł powinien skłonić Cię do pilnej wizyty u specjalisty?
Chociaż większość przypadków ciążowego zapalenia dziąseł można leczyć w domu i podczas rutynowych wizyt, istnieją sytuacje, kiedy ból dziąseł lub inne objawy powinny skłonić Cię do natychmiastowej wizyty u stomatologa. Nie zwlekaj, jeśli doświadczasz:
- Silnego, uporczywego bólu, który nie ustępuje po domowych metodach.
- Pojawienia się ropnia (guzka wypełnionego ropą) na dziąśle.
- Gorączki towarzyszącej bólowi dziąseł lub obrzękowi.
- Trudności w jedzeniu lub połykaniu z powodu bólu.
- Szybkiego rozprzestrzeniania się obrzęku na inne części twarzy.
W takich przypadkach konieczna jest szybka interwencja lekarza, aby zapobiec poważniejszym powikłaniom.

Domowe sposoby na bolesne dziąsła: Bezpieczne i sprawdzone metody
Wiem, że w ciąży każda przyszła mama szczególnie dba o to, co stosuje i co jest bezpieczne dla niej i dla dziecka. Na szczęście, istnieje wiele skutecznych i bezpiecznych domowych sposobów, które mogą przynieść ulgę w bólu i obrzęku dziąseł. Pamiętaj jednak, że domowe metody są wsparciem, a nie zastępstwem dla profesjonalnej opieki stomatologicznej.
Płukanki ziołowe: Które zioła są bezpieczne i jak je stosować?
Zioła to prawdziwy skarb natury, a niektóre z nich doskonale sprawdzają się w łagodzeniu stanów zapalnych dziąseł. Oto te, które uważam za bezpieczne i skuteczne w ciąży, pod warunkiem stosowania z umiarem:
- Szałwia: Znana ze swoich właściwości ściągających i przeciwzapalnych. Pomaga zmniejszyć krwawienie i obrzęk.
- Rumianek: Działa łagodząco, przeciwzapalnie i antyseptycznie. Idealny dla wrażliwych dziąseł.
- Kora dębu: Posiada silne właściwości ściągające, które pomagają obkurczyć naczynia krwionośne i zmniejszyć krwawienie.
Jak przygotować i stosować płukanki:
- Wsyp jedną łyżeczkę suszonych ziół (lub mieszanki) do szklanki.
- Zalej zioła wrzątkiem i przykryj.
- Pozostaw do zaparzenia na około 10-15 minut, a następnie odcedź.
- Poczekaj, aż napar ostygnie do temperatury pokojowej.
- Płucz jamę ustną ciepłym naparem przez około 30-60 sekund, 2-3 razy dziennie, po umyciu zębów.
Zawsze upewnij się, że nie masz alergii na żadne z ziół i stosuj je z umiarem. W razie wątpliwości skonsultuj się z lekarzem.
Sól i woda utleniona: Prosty roztwór o dużej skuteczności
Dwa proste składniki, które znajdziesz w każdej kuchni i apteczce, mogą zdziałać cuda dla Twoich dziąseł:
Płukanka z soli kuchennej: Sól ma właściwości antyseptyczne i pomaga zmniejszyć obrzęk. Aby przygotować roztwór, rozpuść pół łyżeczki soli kuchennej w szklance ciepłej wody. Płucz jamę ustną tym roztworem przez około 30 sekund, 2-3 razy dziennie. To pomoże zdezynfekować jamę ustną i złagodzić stan zapalny.
Płukanka z wody utlenionej: Woda utleniona (nadtlenek wodoru) jest łagodnym antyseptykiem, który pomaga zwalczać bakterie beztlenowe odpowiedzialne za stany zapalne dziąseł. Aby przygotować płukankę, rozcieńcz jedną łyżkę 3% wody utlenionej w pół szklanki wody. Płucz jamę ustną przez około 30 sekund, nie połykaj! Stosuj raz dziennie, nie dłużej niż kilka dni, ponieważ zbyt częste użycie może podrażnić błonę śluzową.
Zmiana codziennych nawyków klucz do zdrowych dziąseł
Nawet najlepsze płukanki nie zastąpią prawidłowej higieny. W ciąży, kiedy dziąsła są szczególnie wrażliwe, zmiana niektórych codziennych nawyków higienicznych jest absolutnie kluczowa. To podstawa, na której budujemy zdrowie całej jamy ustnej.
Jak wybrać idealną szczoteczkę i pastę do zębów w ciąży?
Wybór odpowiednich narzędzi to podstawa. Zdecydowanie polecam miękką szczoteczkę do zębów (soft/ultrasoft). Twarde włosie może dodatkowo podrażniać i tak już wrażliwe dziąsła, a nawet powodować ich recesję. Jeśli chodzi o pastę, szukaj tych przeznaczonych dla osób z problemami dziąseł lub wrażliwymi zębami. Składniki takie jak alantoina, pantenol, witamina E czy wyciągi ziołowe (np. z rumianku, szałwii) mogą przynieść ulgę i wspomóc regenerację. Unikaj past z bardzo silnymi substancjami ściernymi lub intensywnymi aromatami, które mogą podrażniać.
Nitkowanie bez bólu i podrażnień poznaj właściwą technikę
Nitkowanie zębów jest absolutnie niezbędne, aby usunąć płytkę bakteryjną i resztki jedzenia z przestrzeni międzyzębowych, gdzie szczoteczka nie dociera. Wiem, że krwawiące dziąsła mogą zniechęcać, ale delikatne i regularne nitkowanie jest kluczowe. Używaj około 45 cm nici dentystycznej, owiń ją wokół palców wskazujących i delikatnie, ale stanowczo, przesuwaj nić w dół, aż do linii dziąseł. Następnie uformuj nić w kształt litery "C" wokół każdego zęba i delikatnie przesuwaj ją w górę i w dół, usuwając płytkę. Nie "strzelaj" nicią w dziąsła to może je podrażnić. Jeśli masz problem z tradycyjną nicią, spróbuj irygatora dentystycznego lub specjalnych szczoteczek międzyzębowych.
Bezpieczne preparaty z apteki na zapalenie dziąseł w ciąży
Kiedy domowe sposoby nie wystarczają lub potrzebujesz silniejszego wsparcia, apteka oferuje szereg preparatów, które są bezpieczne do stosowania w ciąży. Zawsze jednak upewnij się, że informujesz farmaceutę o ciąży, a w przypadku wątpliwości skonsultuj się z lekarzem lub stomatologiem.
Żele stomatologiczne: Jakie składniki aktywne przyniosą ulgę?
Żele stomatologiczne to świetne rozwiązanie do miejscowego łagodzenia bólu i wspomagania regeneracji dziąseł. Szukaj tych, które zawierają składniki o działaniu przeciwzapalnym, łagodzącym i regenerującym. Często znajdziesz w nich takie substancje jak: wyciągi ziołowe (np. z rumianku, szałwii, aloesu), kwas hialuronowy (wspomagający gojenie), chlorowodorek lidokainy (miejscowo znieczulający, ale w ciąży stosowany z ostrożnością i po konsultacji) czy pantenol. Aplikuje się je bezpośrednio na dziąsła, co pozwala na skoncentrowane działanie w miejscu problemu.
Płyny do płukania z chlorheksydyną: Kiedy i jak długo można je stosować?
Płyny do płukania z chlorheksydyną są bardzo skuteczne w zwalczaniu bakterii odpowiedzialnych za zapalenie dziąseł. W ciąży są one generalnie uważane za bezpieczne, ale należy stosować je z rozwagą. Wybieraj płyny o niskim stężeniu chlorheksydyny (np. 0,12% lub 0,2%). Kluczowe jest, aby stosować je krótkoterminowo, maksymalnie do 2 tygodni, i najlepiej po wcześniejszej konsultacji z lekarzem lub stomatologiem. Długotrwałe użycie może prowadzić do przebarwień zębów i zaburzeń smaku. Pamiętaj, aby nie połykać płynu.
Czego unikać? Lista substancji niewskazanych dla przyszłych mam
W ciąży należy zachować szczególną ostrożność. Oto lista substancji i typów preparatów, których przyszłe mamy powinny unikać lub stosować z dużą ostrożnością i po konsultacji z lekarzem:
- Preparaty z wysokim stężeniem alkoholu: Mogą podrażniać błonę śluzową i nie są zalecane.
- Niektóre silne olejki eteryczne: Szczególnie te, które nie są przeznaczone do stosowania doustnego lub w wysokich stężeniach, mogą być niewskazane. Zawsze sprawdzaj etykietę.
- Antybiotyki bez wyraźnych wskazań: Doustne antybiotyki powinny być stosowane tylko w przypadku poważnych infekcji i zawsze pod ścisłą kontrolą lekarza, który oceni stosunek korzyści do ryzyka.
- Niektóre leki przeciwbólowe: Wiele ogólnoustrojowych leków przeciwbólowych jest przeciwwskazanych w ciąży (np. ibuprofen w III trymestrze). Zawsze konsultuj przyjmowanie leków z lekarzem.
- Preparaty z retinoidami: Chociaż rzadko stosowane w stomatologii, retinoidy są bezwzględnie przeciwwskazane w ciąży ze względu na działanie teratogenne.
Zapalenie dziąseł a zdrowie dziecka: Co musisz wiedzieć?
Wiem, że jako przyszła mama, zdrowie Twojego dziecka jest dla Ciebie priorytetem. To naturalne, że zastanawiasz się, czy problemy z dziąsłami mogą mieć wpływ na maluszka. Chcę Cię uspokoić, ale jednocześnie uświadomić, że nieleczone zapalenie dziąseł nie jest jedynie lokalnym problemem może mieć szersze konsekwencje dla przebiegu ciąży i zdrowia Twojego dziecka. Dlatego tak ważne jest, aby nie bagatelizować tych objawów.
Czy problemy z dziąsłami mogą wpłynąć na przebieg ciąży?
Tak, niestety mogą. Nieleczone, przewlekłe zapalenie dziąseł może prowadzić do poważniejszej choroby, jaką jest zapalenie przyzębia (paradontoza). To już nie tylko problem dziąseł, ale całej tkanki utrzymującej ząb. Bakterie z jamy ustnej mogą przedostawać się do krwiobiegu, wywołując ogólnoustrojową reakcję zapalną. Ta reakcja zapalna może mieć wpływ na cały organizm, w tym na przebieg ciąży, zwiększając ryzyko pewnych powikłań.
Ryzyko przedwczesnego porodu i niska masa urodzeniowa fakty i mity
Istnieją badania, które wskazują na możliwy związek między zaawansowanymi chorobami przyzębia a ryzykiem przedwczesnego porodu, niskiej masy urodzeniowej dziecka czy stanem przedrzucawkowym. Podkreślam słowo "możliwy", ponieważ mechanizmy te są złożone i nadal badane, a nie jest to związek przyczynowo-skutkowy w 100% udowodniony dla każdego przypadku. Niemniej jednak, obecność przewlekłego stanu zapalnego w organizmie matki nie jest obojętna dla rozwijającego się płodu. Bakterie i mediatory zapalne mogą wpływać na procesy zachodzące w łożysku, co potencjalnie może prowadzić do komplikacji. Dlatego właśnie dbanie o zdrowie jamy ustnej jest częścią kompleksowej opieki prenatalnej.
Dlaczego leczenie stomatologiczne w ciąży jest inwestycją w zdrowie Was obojga?
Podsumowując, dbanie o zdrowie jamy ustnej i leczenie stomatologiczne w ciąży to nie tylko kwestia Twojego komfortu, ale przede wszystkim inwestycja w zdrowie zarówno Twoje, jak i rozwijającego się dziecka. Eliminując źródła infekcji i stanów zapalnych, zmniejszasz obciążenie dla swojego organizmu i potencjalne ryzyka związane z ciążą. Zdrowa mama to zdrowe dziecko, a zdrowy uśmiech to jeden z elementów tej układanki. Nie bój się wizyt u dentysty w ciąży to dla Waszego dobra.

Profesjonalna pomoc dentystyczna w ciąży: Kiedy iść i czego się spodziewać?
Wiem, że wiele kobiet obawia się wizyty u dentysty w ciąży. Panuje przekonanie, że to niebezpieczne lub niewskazane. Nic bardziej mylnego! Profesjonalna opieka stomatologiczna jest w ciąży nie tylko bezpieczna, ale wręcz zalecana. Jako stomatolog, zawsze podkreślam moim pacjentkom, że zdrowie jamy ustnej ma ogromne znaczenie dla przebiegu ciąży i zdrowia dziecka.
Dlaczego wizyta u stomatologa w ciąży jest tak ważna?
Regularne wizyty kontrolne u stomatologa są kluczowe dla profilaktyki i wczesnego wykrywania problemów. Zaleca się, aby każda przyszła mama odbyła przynajmniej jedną wizytę kontrolną w trakcie ciąży, najlepiej w drugim trymestrze. Dlaczego właśnie wtedy? Drugi trymestr jest uważany za najbezpieczniejszy okres na większość zabiegów stomatologicznych, ponieważ minął już czas największego rozwoju organów u płodu, a dolegliwości pierwszego trymestru (mdłości) zazwyczaj ustępują. Stomatolog oceni stan Twoich zębów i dziąseł, usunie kamień nazębny i płytkę, a także udzieli cennych wskazówek dotyczących higieny. To doskonała okazja, aby rozwiać wszelkie wątpliwości i upewnić się, że Twoja jama ustna jest w najlepszej kondycji.
Skaling i piaskowanie czy te zabiegi są bezpieczne dla płodu?
Absolutnie tak! Zabiegi takie jak skaling (usuwanie kamienia nazębnego) i piaskowanie (usuwanie osadów i przebarwień) są uważane za bezpieczne i zalecane w ciąży. Są to procedury mechaniczne, które nie wymagają użycia szkodliwych substancji ani promieniowania. Skaling, wykonywany za pomocą ultradźwięków, skutecznie usuwa twardy kamień nazębny, który jest główną przyczyną zapalenia dziąseł. Piaskowanie natomiast, za pomocą drobnego proszku i strumienia wody, doczyszcza powierzchnię zębów. Oba zabiegi są kluczowe dla utrzymania zdrowych dziąseł i zapobiegania rozwojowi paradontozy.
Jak przygotować się do wizyty w gabinecie stomatologicznym?
Aby wizyta u dentysty przebiegła komfortowo i bezpiecznie, warto się do niej odpowiednio przygotować:
- Poinformuj o ciąży: Zawsze na początku wizyty poinformuj stomatologa i personel o tym, że jesteś w ciąży, oraz w którym jesteś trymestrze. To kluczowa informacja, która pozwoli dostosować leczenie.
- Poinformuj o przyjmowanych lekach: Podaj listę wszystkich leków, suplementów i ziół, które aktualnie przyjmujesz.
- Zgłoś wszelkie obawy: Nie krępuj się mówić o swoich lękach, dyskomforcie czy dolegliwościach (np. mdłościach, zgadze). Stomatolog może dostosować pozycję na fotelu lub zaplanować krótsze sesje.
- Zabierz ze sobą kartę ciąży: Może zawierać ważne informacje medyczne, które będą przydatne dla dentysty.
- Zapytaj o znieczulenie: Wiele znieczuleń miejscowych jest bezpiecznych w ciąży, ale zawsze upewnij się, że stomatolog wie o Twoim stanie i wybierze odpowiedni preparat.
Profilaktyka to podstawa: Zadbaj o dziąsła przez całe 9 miesięcy
Jak w wielu aspektach zdrowia, tak i w przypadku dziąseł, profilaktyka jest znacznie lepsza niż leczenie. Dbanie o jamę ustną przez całe 9 miesięcy ciąży to najlepsze, co możesz zrobić dla swoich dziąseł i ogólnego samopoczucia. To nie tylko codzienne rytuały, ale także świadome wybory żywieniowe i regularne kontrole.
Dieta dla zdrowych dziąseł: Jakie produkty włączyć do jadłospisu?
Twoja dieta ma ogromny wpływ na zdrowie całego organizmu, w tym dziąseł. Aby wzmocnić odporność jamy ustnej i wspomóc kondycję dziąseł, włącz do jadłospisu produkty bogate w:
- Witamina C: Niezbędna dla produkcji kolagenu, który buduje dziąsła. Znajdziesz ją w cytrusach, papryce, brokułach, kiwi.
- Witamina K: Wspiera prawidłowe krzepnięcie krwi, co może zmniejszyć krwawienie dziąseł. Bogate w nią są zielone warzywa liściaste (szpinak, jarmuż).
- Wapń i witamina D: Kluczowe dla mocnych zębów i kości, ale także wspierają zdrowie dziąseł. Źródła to nabiał, ryby, jaja, wzbogacane produkty roślinne.
- Antyoksydanty: Pomagają zwalczać stany zapalne. Obficie występują w owocach jagodowych, zielonej herbacie, warzywach.
Staraj się również ograniczyć spożycie cukru i przetworzonych produktów, które sprzyjają rozwojowi bakterii i powstawaniu płytki nazębnej.
Kluczowe zasady higieny jamy ustnej, o których nie możesz zapomnieć
Podsumowując, oto fundamentalne zasady codziennej higieny, które są Twoją tarczą ochronną przed zapaleniem dziąseł:
- Regularne i prawidłowe szczotkowanie: Myj zęby co najmniej dwa razy dziennie (a najlepiej po każdym posiłku), przez minimum 2 minuty, używając miękkiej szczoteczki i pasty z fluorem. Pamiętaj o delikatnych, okrężnych ruchach.
- Nitkowanie zębów: Codziennie, najlepiej wieczorem, nitkuj przestrzenie międzyzębowe, aby usunąć płytkę bakteryjną i resztki jedzenia.
- Płukanki: Stosuj bezpieczne płukanki ziołowe lub te z apteki (zgodnie z zaleceniami), aby wspomóc redukcję bakterii i stanów zapalnych.
- Czyszczenie języka: Używaj skrobaczki do języka, aby usunąć nalot bakteryjny, który również przyczynia się do nieświeżego oddechu i namnażania bakterii.
- Regularne wizyty u stomatologa: Nie zapominaj o kontrolach i profesjonalnym czyszczeniu zębów, nawet jeśli nie odczuwasz żadnych dolegliwości.
Przeczytaj również: Ból po wyrwaniu zęba: Kiedy mija i co powinno niepokoić?
Plan działania na każdy trymestr zadbaj o swój uśmiech kompleksowo
Dbanie o dziąsła w ciąży to proces, który warto zaplanować. Oto krótkie wskazówki na każdy trymestr:
- I Trymestr: Skup się na łagodzeniu ewentualnych mdłości i wymiotów, które mogą podrażniać jamę ustną. Po wymiotach zawsze płucz usta wodą lub delikatnym płynem. Zintensyfikuj delikatne szczotkowanie i nitkowanie. Zaplanuj pierwszą wizytę kontrolną u stomatologa.
- II Trymestr: To najbezpieczniejszy czas na większość zabiegów stomatologicznych. Odbyj wizytę kontrolną, wykonaj skaling i piaskowanie. Kontynuuj wzmożoną higienę jamy ustnej i stosuj płukanki, jeśli zajdzie taka potrzeba.
- III Trymestr: Utrzymuj rygorystyczną higienę. Jeśli pojawią się nowe dolegliwości, skonsultuj się ze stomatologiem. Unikaj długich wizyt na fotelu dentystycznym ze względu na komfort i ucisk na żyłę główną. Skup się na profilaktyce i utrzymaniu osiągniętych rezultatów.
