Kiedy zacząć leczenie ortodontyczne u dziecka? Kluczowe informacje dla rodziców
- Pierwsza wizyta kontrolna u ortodonty zalecana jest w wieku około 6-7 lat, gdy pojawiają się pierwsze zęby stałe.
- Aparaty ruchome stosuje się najczęściej u dzieci w wieku 6-14 lat, w okresie uzębienia mieszanego.
- Aparaty stałe zakłada się zazwyczaj po wyrżnięciu się większości zębów stałych, co przypada na wiek 11-15 lat.
- NFZ refunduje leczenie aparatami ruchomymi wyłącznie dla dzieci do ukończenia 12. roku życia. Aparaty stałe nie są refundowane.
- Sygnały alarmowe do wizyty u ortodonty to m.in. wady zgryzu, stłoczenia zębów, długotrwałe ssanie kciuka, oddychanie przez usta czy wady wymowy.
- Koszty prywatnego leczenia aparatem ruchomym to ok. 800-1650 zł za jeden łuk, a aparatem stałym metalowym ok. 3000-4000 zł za jeden łuk.
Wczesna interwencja ortodontyczna to inwestycja w przyszłość uśmiechu Państwa dziecka. Nie chodzi tylko o proste zęby, ale o prawidłowy rozwój całej twarzoczaszki, co ma wpływ na oddychanie, mowę, a nawet postawę. Zrozumienie optymalnego czasu na rozpoczęcie leczenia może znacząco ułatwić i skrócić cały proces.
Z mojego doświadczenia wynika, że wiek 6-7 lat jest idealny na pierwszą wizytę kontrolną u ortodonty. To właśnie wtedy w jamie ustnej pojawiają się pierwsze zęby stałe zazwyczaj szóstki i siekacze. Nawet jeśli nie widzimy żadnych niepokojących objawów, warto, aby specjalista ocenił rozwój zgryzu. Wczesna interwencja, czyli leczenie w wieku 5-10 lat, pozwala wykorzystać naturalny wzrost dziecka. Możemy wtedy skorygować drobne nieprawidłowości, pokierować prawidłowym wyrzynaniem się zębów i często zapobiec pogłębianiu się wady, a nawet wyeliminować konieczność noszenia aparatu stałego w przyszłości. To obala często powtarzany mit, że należy czekać, aż dziecku wypadną wszystkie zęby mleczne i pojawią się wszystkie stałe wtedy może być już za późno na najprostsze i najmniej inwazyjne rozwiązania.
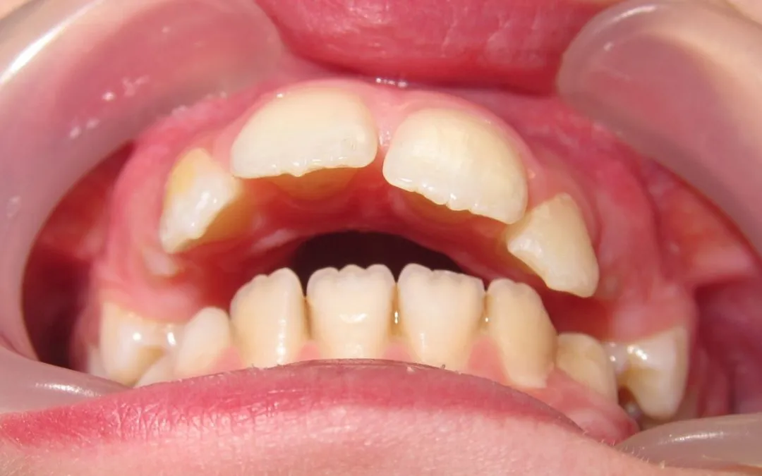
Czy twoje dziecko potrzebuje aparatu? Sygnały, których nie wolno ignorować
Wielu rodziców nie zdaje sobie sprawy, że niektóre nawyki czy subtelne zmiany w wyglądzie twarzy dziecka mogą być pierwszymi sygnałami wskazującymi na potrzebę konsultacji ortodontycznej. Warto być czujnym i obserwować swoje dziecko, aby w porę zareagować.
Oto kompleksowa lista sygnałów alarmowych, które powinny skłonić Państwa do wizyty u ortodonty:
- Widoczne nieprawidłowości w jamie ustnej:
-
Wady zgryzu:
- Przodozgryz: dolne zęby wysunięte przed górne.
- Tyłozgryz: górne zęby znacznie wysunięte przed dolne.
- Zgryz otwarty: brak kontaktu między zębami górnymi a dolnymi w przednim lub bocznym odcinku.
- Zgryz krzyżowy: zęby górne zachodzą na dolne w sposób odwrotny niż prawidłowo.
- Zgryz głęboki: górne zęby zbyt mocno zakrywają dolne.
-
Nieprawidłowości w uzębieniu:
- Stłoczenia zębów: zęby są zbyt ciasno ułożone, brakuje dla nich miejsca w łuku zębowym.
- Szpary między zębami: zbyt dużo miejsca w łuku zębowym, co prowadzi do widocznych przerw.
- Zęby wyrzynające się w nieprawidłowych miejscach: np. poza łukiem zębowym, podniebiennie lub językowo.
-
Wady zgryzu:
- Ukryte wskazania (nawyki i objawy):
-
Nawyki:
- Długotrwałe ssanie kciuka lub smoczka (po 3. roku życia): może prowadzić do wad zgryzu, zwłaszcza zgryzu otwartego i protruzji (wychylenia) zębów przednich.
- Obgryzanie paznokci, ołówków.
- Zgrzytanie zębami (bruksizm).
-
Inne objawy:
- Oddychanie przez usta: szczególnie w nocy, zamiast przez nos, co może wpływać na rozwój twarzoczaszki i zgryzu.
- Wady wymowy.
- Asymetria w rysach twarzy, nadmiernie wysunięta lub cofnięta broda.
- Przedwczesna utrata zębów mlecznych (np. z powodu próchnicy), co może prowadzić do przemieszczania się sąsiednich zębów i braku miejsca dla zębów stałych.
-
Nawyki:
Aparat ruchomy czy stały? Przewodnik po rozwiązaniach dla dzieci i młodzieży
Wybór odpowiedniego aparatu ortodontycznego zależy od wieku dziecka, rodzaju wady zgryzu oraz etapu rozwoju uzębienia. Wyróżniamy dwa główne typy aparatów, które mają różne zastosowania i wymagają innej współpracy ze strony małego pacjenta.
Aparat ruchomy, zwany również zdejmowanym, to rozwiązanie stosowane głównie u dzieci w wieku od 4 do 12 lat, czyli w okresie uzębienia mlecznego lub mieszanego. Składa się z akrylowej płytki dopasowanej do podniebienia lub języka, klamer utrzymujących aparat na zębach oraz metalowych łuków i śrub. Działa on zarówno na zęby, jak i na kości szczęki, stymulując ich wzrost lub hamując go, a także poszerzając łuki zębowe. Kluczem do sukcesu w leczeniu aparatem ruchomym jest dyscyplina i współpraca ze strony dziecka aparat musi być noszony przez kilkanaście godzin na dobę, w tym obowiązkowo w nocy. Regularne noszenie i aktywowanie śrubek zgodnie z zaleceniami ortodonty to podstawa efektywności tej metody.
Aparat stały to rozwiązanie przeznaczone dla dzieci i młodzieży powyżej 12. roku życia, gdy większość zębów stałych jest już wyrżnięta. Składa się z zamków (metalowych, ceramicznych lub kryształowych), które są przyklejane do powierzchni zębów, oraz elastycznych łuków, które wywierają stały nacisk, stopniowo przesuwając zęby do pożądanej pozycji. Aparaty stałe pozwalają na precyzyjną korektę nawet poważniejszych wad zgryzu i są niezdejmowalne przez cały okres leczenia. Proces zakładania aparatu stałego jest bezbolesny, choć przez kilka pierwszych dni dziecko może odczuwać dyskomfort lub lekki ból, który mija po adaptacji. Rodzice i dzieci muszą być przygotowani na restrykcyjne zasady higieny jamy ustnej oraz na regularne wizyty kontrolne u ortodonty.Leczenie ortodontyczne krok po kroku: Od diagnostyki do prostych zębów
Proces leczenia ortodontycznego to podróż, która wymaga cierpliwości i zaangażowania, zarówno ze strony dziecka, jak i rodziców. Oto jak zazwyczaj wygląda ta droga, od pierwszej wizyty po osiągnięcie wymarzonego uśmiechu:
- Konsultacja i diagnostyka: Pierwsza wizyta u ortodonty to kluczowy moment. Lekarz przeprowadza szczegółowy wywiad z rodzicami i dzieckiem, a następnie dokładnie bada jamę ustną i zgryz. Aby postawić precyzyjną diagnozę, konieczne jest wykonanie diagnostyki, która zazwyczaj obejmuje zdjęcia rentgenowskie (pantomograficzne i cefalometryczne) oraz pobranie wycisków zębów, na podstawie których tworzy się gipsowe modele. To pozwala ocenić stan kości, położenie zębów stałych i mlecznych oraz ewentualne wady.
- Plan leczenia: Na podstawie zebranych danych diagnostycznych ortodonta opracowuje indywidualny plan leczenia. Przedstawia rodzicom i dziecku dostępne opcje, omawia rodzaj aparatu, przewidywany czas leczenia oraz oczekiwane rezultaty. To dobry moment, aby zadać wszelkie pytania i rozwiać wątpliwości. Po akceptacji planu, jeśli jest to aparat ruchomy, następuje jego wykonanie w laboratorium. W przypadku aparatu stałego, umawia się termin jego założenia.
- Przebieg leczenia: Czas trwania leczenia ortodontycznego jest kwestią indywidualną, ale zazwyczaj wynosi od 1,5 do 2 lat. W trakcie tego okresu konieczne są regularne wizyty kontrolne u ortodonty zazwyczaj co 4-6 tygodni. Podczas tych wizyt lekarz ocenia postępy, aktywuje aparat (np. wymienia łuki, dokręca śruby) i udziela wskazówek dotyczących higieny oraz noszenia aparatu. Kluczowe dla sukcesu jest ścisłe przestrzeganie zaleceń ortodonty, zarówno w kwestii noszenia aparatu ruchomego, jak i dbania o higienę jamy ustnej przy aparacie stałym.

Koszty leczenia ortodontycznego: Ile kosztuje aparat na zęby dla dziecka?
Kwestia kosztów leczenia ortodontycznego jest dla wielu rodziców bardzo ważna. W Polsce istnieje możliwość częściowej refundacji przez Narodowy Fundusz Zdrowia, jednak ma ona swoje ograniczenia. Leczenie ortodontyczne jest refundowane dla dzieci wyłącznie do ukończenia 12. roku życia i obejmuje tylko aparaty ruchome. Naprawa aparatu jest refundowana do 13. roku życia. Niestety, aparaty stałe nie są objęte refundacją przez NFZ, niezależnie od wieku pacjenta. Należy również pamiętać, że czas oczekiwania na wizytę i rozpoczęcie leczenia w ramach NFZ może być stosunkowo długi.
W przypadku leczenia prywatnego, koszty są znacznie wyższe, ale oferują większą elastyczność w wyborze aparatu i krótszy czas oczekiwania. Poniżej przedstawiam orientacyjne ceny poszczególnych etapów i rodzajów aparatów:
| Rodzaj kosztu | Orientacyjna cena |
|---|---|
| Konsultacja ortodontyczna (pierwsza wizyta) | 100-150 zł |
| Diagnostyka (wyciski, zdjęcia RTG) | 200-400 zł |
| Aparat ruchomy (jeden łuk) | 800-1650 zł |
| Aparat stały metalowy (jeden łuk) | 3000-4000 zł |
| Aparat stały estetyczny (ceramiczny/kryształowy, jeden łuk) | 3800-6000 zł |
| Wizyty kontrolne (miesięcznie) | 100-300 zł |
| Aparat retencyjny (po zakończeniu leczenia) | 1000-2000 zł |
| Całkowity koszt leczenia aparatem stałym (szacunkowo) | od 9 000 zł wzwyż |
